优例共赏丨一例伴陈旧性肺结核的广泛期小细胞肺癌患者使用斯鲁利单抗的病例分享
▌ 病例作者:邓彭博 中南大学湘雅医院
▌ 点评作者:胡成平 中南大学湘雅医院
摘要
● 肺癌是肿瘤相关死亡率最高的恶性肿瘤1。小细胞肺癌源自于伴有神经内分泌分化的上皮细胞,约占肺癌总数的15%-20%2。小细胞肺癌是肺癌之中侵袭性最强的一种亚型,此类肿瘤恶性程度高、倍增时间短、易发生远处转移,与吸烟关系密切。根据美国退伍军人管理局分期系统,SCLC可分为局限期和广泛期3。患者初次就诊时即有约 2/3 患者被诊为广泛期。广泛期小细胞肺癌(extensive-stage SCLC,ES-SCLC)的有效治疗方案有限。采用手术,放疗及化疗的综合治疗,ES-SCLC患者中位生存期可达8-13个月,2年生存率约5%4。
近几十年来,全身化疗(依托泊苷/伊利替康联合铂类)是ES-SCLC的标准治疗。一线化疗近期有效率高,但极易复发,复发后中位生存期仅4-5个月5。近几年来,随着PD-1和PD-L1等多种免疫检查点*制剂抑**(Immune checkpoint inhibitors,ICIs)相继应用于临床,ES-SCLC的治疗模式发生了改变,免疫联合化疗成为ES-SCLC患者新的治疗选择。斯鲁利单抗作为上海复宏汉霖首款自主研发的创新生物药PD-1*制剂抑**,其疗效在多个瘤种中得到验证。本文通过分享一例一线使用斯鲁利单抗联合化疗药物治疗伴有脑转移、陈旧性肺结核的ES-SCLC患者病例,探讨免疫治疗在ES-SCLC中的应用。
病例作者

邓彭博 副主任医师
中南大学湘雅医院呼吸与危重症医学科
中南大学湘雅医院呼吸与危重症科副主任医师、医学博士
中国医师协会呼吸医师分会研究工作委员会委员
中国肺癌防治联盟青年委员会委员
湖南省医师协会肿瘤医师分会青年会员会委员
湖南省抗癌协会肿瘤精准医学专业委员会第一届青年委员会委员
湖南省国际医学交流促进会肺癌专业委员会常务委员
湖南省肺癌早诊联盟委员
主持国家自然科学基金课题1项、发表SCI文章10余篇
在多届肺癌国际会议(WCLC)、世界支气管镜大会、美国临床肿瘤学会年会(ASCO)上做壁报交流
参与国际多中心、国内多中心临床药物研究项目30余项,担任 PI 4项
主要研究领域:介入呼吸病学、肺癌
病史简介
基本情况: 男性,67岁,已婚,体重55kg。
主诉: 声嘶、咳嗽40天。
既往史: 24年前曾患“肺结核”,规律抗结核治疗1年余,无其他疾病及特殊病史。
个人史: 有吸烟史30余年,20支/天,已戒烟7年。
家族史: 无肿瘤家族史。
查体: PS评分1分。生命体征正常,右锁骨上窝可扪及数个小淋巴结,最大约10mm,质韧,活动度可,无压痛。双肺呼吸音清,未闻及干湿啰音,心、腹(-),无杵状指(趾)。
肿瘤标志物: NSE 61.14ng/ml,CEA 13.56ng/ml。
▌影像学检查
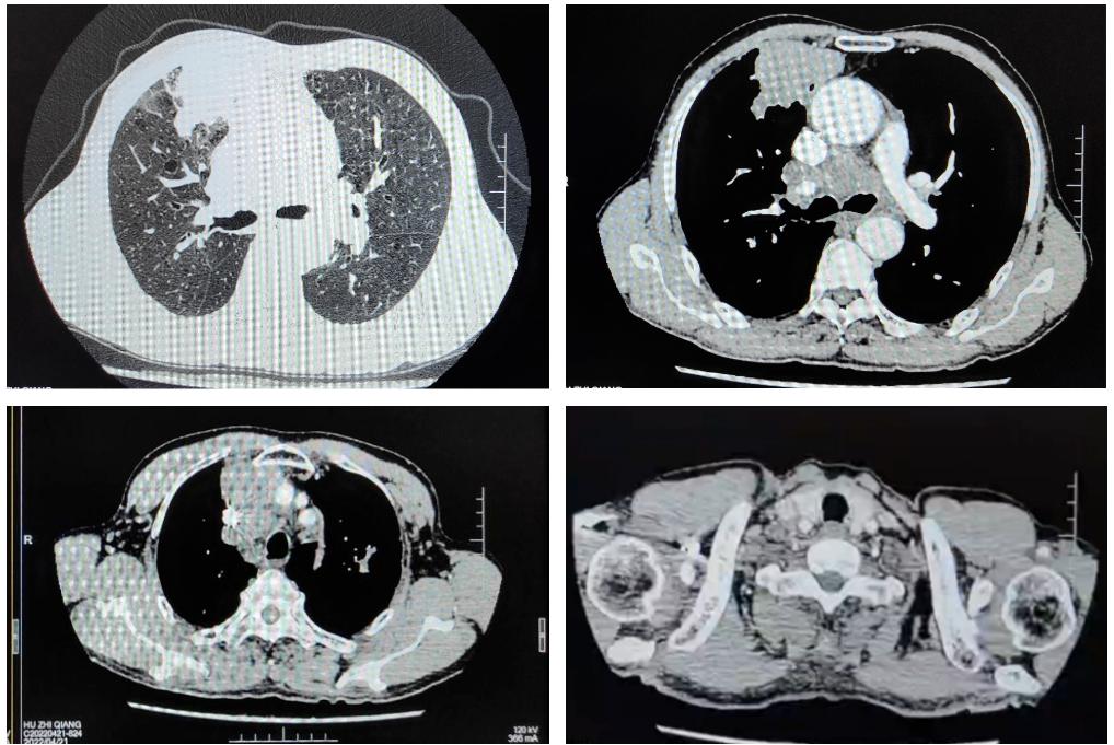
2022年4月21日CT:1.右肺上叶前段周围型肺癌(71mm×36mm)伴纵隔多发淋巴结肿大。2.双上肺、左下肺结核可能性大,CT表现为稳定性征象。3.慢性支气管疾患:肺气肿;肺大泡。4.肝多发小囊肿;肝内钙化灶。

2022年4月22日B超提示:右侧锁骨上窝多发淋巴结肿大,于右侧锁骨上窝处探及多个大小不等的结节,有包膜,内部呈低回声,形态变圆,光点粗,分布欠均匀,较大者16mm×10mm。
2022年4月22日支气管镜检查:1.左上叶病变:Ca?其他 2.纵隔肺门淋巴结增大(EBUS探及)。病检:涂片、5/4R、7组淋巴结EBUS-TBNA;6/左上叶。

2022年5月9日MRI结果:左侧颞叶强化灶,考虑转移瘤。

2022年5月9日骨扫描结果:上、下颌骨、双肩关节、右侧锁骨胸骨端、第3-5腰椎骨质代谢增高:多考虑良性改变。
▌病理学
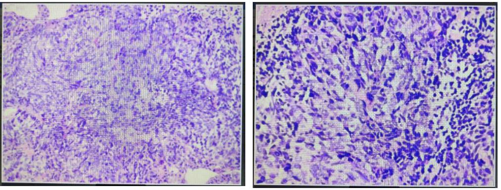
2022年4月23日支气管镜下活检病理结果:左上叶慢性炎,鳞状上皮增生,上皮下纤维组织增生,4R/7组淋巴结穿刺活检不排除淋巴造血系统来源肿瘤。
2022年5月10日行超声引导下右肺肿块穿刺活检,病理诊断:(右肺)小细胞癌。

免疫组化结果:CD56(+),Ki67(60%+),CgA(+),TTF-1(+),Syn(+),P40(-),Napsin-A(-),CD5/6(-),CK(Pan)(+),LCA(-)。
▌诊断
原发性支气管肺癌 右上肺小细胞肺癌 T4N3M1b 脑转移 IVa期(广泛期)。
▌治疗经过
2022年5月11日-2022年7月30日:PD-1*制剂抑**+EC方案化疗共4周期,具体方案为:斯鲁利单抗(250mg,4.5mg/kg)+依托泊苷(0.16g d1-3)+卡铂(0.53g AUC5)。
▌治疗后评价
咳嗽、声嘶较前明显好转。
肿瘤标志物变化如下图所示。

2022年7月4日复查CT:与PACS20220421老片对比,现片示:1.右肺上叶前段不规则肿块灶(40mm×37mm)并纵隔多发肿大淋巴结明显缩小,上腔静脉受压变扁较前减轻:考虑周围型肺CA并纵隔淋巴结转移。2.双上肺、左下肺肺结核可能性大,CT表现为稳定性征象。3.慢性支气管疾患:肺气肿;肺大泡。
2022年7月5日复查脑部MRI提示:与PACS20220529老片对比,现片示:左侧颞叶强化灶较前稍缩小。
总体疗效评价为PR。
2022年8月23日复查CT:1.右肺上叶前段不规则肿块灶(40mm×36mm)并纵隔多发肿大淋巴结基本同前,上腔静脉受压变扁同前。2.双上肺、左下肺肺结核可能性大,CT表现为稳定性征象。3.慢性支气管疾患:肺气肿;肺大泡,基本同前。4.升主动脉扩张。
MRI:与PACS20220529老片对比,现片示:左侧颞叶强化灶较前稍缩小。
疗效维持PR。





▌不良反应
2022年7月30日甲状腺功能减退,FT3 1.2 pmol/L,FT4 2.93 pmol/L,TSH 75.28 uIU/ml, A-TG 73.07 IU/ml, A-TPO >600 IU/ml, TRAB <0.8 IU/L。
CINV:恶心厌食,2级,持续2-3天。
肺结核病情:陈旧性肺结核,CT表现为稳定性征象。
▌后续治疗方案
2022年8月28日-2022年10月13日行斯鲁利单抗单药维持治疗3周期,具体方案为:斯鲁利单抗(250mg,4.5mg/kg)。
未行脑放疗。
▌病例小结
该例患者为广泛期小细胞肺癌患者,合并陈旧性肺结核,初诊伴有脑转移。2022年ASCO大会口头报道的ASTRUM-005研究中斯鲁利单抗有很好的疗效和安全性数据6,依据《2022年CSCO小细胞肺癌诊疗指南》,该患者一线使用斯鲁利单抗联合EC化疗方案进行治疗,治疗后咳嗽、声嘶较前明显好转,体力状况明显改善,生活质量明显提升。肿瘤标志物出现明显下降,且影像学检查提示肿瘤病灶出现明显退缩,疗效显著,且在治疗过程中未出现结核复燃。治疗期间患者未出现不可控的免疫不良反应,安全性良好。
根据《2022年CSCO免疫检查点*制剂抑**特殊人群应用专家共识》,对于已发生活动性肺结核患者,需要停止免疫治疗,同时严格按照指南/共识进行抗结核治疗直至临床痊愈。而陈旧性肺结核患者,不是免疫治疗的禁忌人群。此病例为陈旧性肺结核患者,目前在斯鲁利单抗维持阶段,使用免疫治疗并未引起结核的复燃,整体安全性良好。关于免疫治疗的特殊人群应用,需要在临床实践中进行更多的探索,以获得更多的循证医学证据。
点评专家

胡成平 教授
中南大学湘雅医院首席专家
一级主任医师、首届湘雅名医、博士/后导师
中南大学湘雅医院呼吸内科教授
中南大学湘雅医院肺癌诊疗中心主任
国务院特殊津贴(GWYTSJT)专家
中国抗癌协会肺癌专业委员会常委
中华医学会呼吸病学分会常委
中国医师协会呼吸医师分会常委
湖南省预防医学呼吸预防与控制专业委员会主委
湖南省抗癌协会肺癌专业委员会前任主委
湖南省医师协会呼吸医师分会前任会长
湖南省医学会呼吸分会前任主委
病例点评
在临床实践中,小细胞肺癌是我们非常关注的一个疾病,尤其是广泛期小细胞肺癌。患者对化疗敏感,但获益有限。2022年ASCO大会口头报告的ASTRUM-005研究大放异彩,该研究于2022年9月27日荣登国际医学顶级期刊JAMA发表6,斯鲁利单抗联合EC方案治疗ES-SCLC患者的中位OS达到15.4个月,较对照组显著提升4.5个月,在PFS(5.7 vs 4.3个月)及ORR(80.2% vs 70.4%)方面也有显著获益,且安全性良好。斯鲁利单抗已经进入了《2022年CSCO小细胞肺癌诊疗指南》的推荐目录,并成为全球首个在ES-SCLC一线治疗取得阳性结果的PD-1*制剂抑**。
该患者是一个基线伴有脑转移的广泛期小细胞肺癌患者,《2022年CSCO小细胞肺癌诊疗指南》推荐,对于无症状的脑转移小细胞肺癌患者,一线治疗推荐免疫联合化疗后,再行全脑放疗。此患者在进行4个周期斯鲁利单抗联合卡铂依托泊苷治疗后,影像学提示病灶明显退缩,脑转移病灶也明显缩小,疗效达到PR,充分证明斯鲁利单抗在广泛期小细胞肺癌患者中的良好疗效。
同时该患者有陈旧性肺结核病史。综合国内外相关病例报道和回顾性研究7,8,免疫治疗期间结核的发生率不超过2%。根据《2022年CSCO免疫检查点*制剂抑**特殊人群应用专家共识》,免疫治疗前结核的筛查并非临床常规,治疗期间发生结核多数被记录为临床研究的相应不良事件,并造成严重后果,因此临床医师应警惕在免疫治疗期间出现结核新发感染和复燃的可能。对于本例有陈旧性肺结核的小细胞肺癌患者,在进行斯鲁利单抗治疗的过程中,并未发生结核的复燃,充分证明斯鲁利单抗良好的安全性,同时在治疗的过程中,我们也会更加密切地监测结核的病情变化。
▌参考文献
[1] Siegel R L, Miller K D, Jemal A. Cancer statistics, 2020[J]. CA Cancer J Clin, 2020, 70(1): 7-30.
[2]Eskandar A, Ahmed A, Daughtey M, et al. Racial and sex differences in presentation and outcomes of small cell lung cancer in the United States: 1973 to 2010[J].Chest,2015,147(4): e164-e165.
[3] Klautke G , Sauer R , Fietkau R .Combined Treatment Modality in Small Cell Lung Cancer[J].Strahlentherapie Und Onkologie, 2008, 184(2):61-66.
[4] Kurup A, Hanna NH.Treatment of small cell lung cancer[J].Crit Rev Oncol Hematol,2004, 52: 117-126.
[5]Puglisi M , Dolly S , Faria A , et al. Treatment options for small cell lung cancer – do we have more choice?[J].Br J Cancer, 2010, 102(4):629-638.
[6]Cheng Ying,Han Liang,Wu Lin et al. Effect of First-Line Serplulimab vs Placebo Added to Chemotherapy on Survival in Patients With Extensive-Stage Small Cell Lung Cancer: The ASTRUM-005 Randomized Clinical Trial.[J] .JAMA, 2022, 328: 1223-1232.
[7]Fujita K,Yamamoto Y,Kanai O,et al. Incidence of active tuberculosis in lung cancer patients receiving immune checkpoint inhibitors[J /OL]. Open Forum Infect Dis, 2022-02-15.
[8]Im Y,Lee J,Kim SJ,et al. Development of tuberculosis in cancer patients receiving immune checkpoint inhibitors [J /OL]. Respir Med,2022-02-15.