深 知养殖从业不易,共谋水产行业繁荣。不误导不夸大不炒作不标题*党**。用养殖人的语境,让你在短时间内享用一份精品!

鳃霉病是由鳃霉菌(真菌)寄生在鱼鳃上引起的鱼病。此病在每年的 5-10月 为病发高峰期,体质较弱,体表有创伤的养殖鱼类往往容易被感染,此病发病快,周期短,往往造成心理恐慌和很大损失,危害相当严重。

一、鳃霉病病原
病原:鳃霉菌,为牙枝霉目,牙枝霉科(Blastocladiaceae),鳃霉属(Branchiomycessp.)。一般的说法是在水质恶化,水质极度富营养化时,易引起这种鳃霉病。 镜检 可见鳃霉菌丝。多发生于 高温季节 的池塘。

草鱼寄生的鳃霉菌 ,其菌丝体比较粗直而少弯曲,通常是单极延长生长,分枝很少,不进入血管和软骨,仅在鳃小片的组织生长。菌丝体直径为20-25微米,孢子的直径为8微米。

另一种寄生于 青鱼、鳙鱼、鲮鱼 鳃里,它的菌丝常弯曲成网状,较细而壁厚,分枝别多,分枝沿着鳃丝血管或传入软骨生长,从横交错充满鳃丝和鳃小片,菌丝体直径为6.6-1.56微米,孢子直径平均为6.6微米。

二、鳃霉病流行情况
鳃霉病主要危害鲫鱼、草鱼、鳊鱼、鲤鱼、鳙鱼、鲮鱼、乌鳢、青鱼、鲢鱼、鲈鱼、黄颡鱼、叉尾鮰等养殖鱼类,其中鲮鱼最敏感,发病率70~80%,死亡率90%以上。5~10月为流行期,但冬春低温时节也有发病。

(发生鳃霉病时,呈现鳃根部严重淤血)
寄生鳃霉的鱼普遍鳃丝末端发白,肿胀,有呈 块状烂鳃 现象,但因为鱼的体表还有多种其它病症表现症状,比如烂鳃,腐皮,烂嘴,点状充血等,所以鳃霉 很容易被忽略而导致误诊 。鳃霉感染后初期没有多大死亡,但通常到了一个星期至半个月左右后鱼的死亡量会急剧上升。
很多资料上多见说 :鳃霉多发生在有机质含量较多的水体环境中,在投喂季节,随着投喂量的增加,过多的残饵粪便积累在池塘底部,残饵粪便发酵,产生过多的有机质,水质恶化,在温度适宜的条件下,滋生鳃霉。这些说法只是 理论上套用了固定的发病原因"公式", 只能说 水质恶化 可能是发生水霉病的原因之一, 不是必须原因。 因为苗期大多经过清塘、加水等 崭新过程 ,不大可能水质不良。

三、鳃霉病症状
鱼鳃霉病,发病鱼的体表 没有明显异常 ,肉眼很难观察和判定, 需要镜检 到有鳃霉菌存在,方可确诊。 肉眼查看仅能见 鳃丝肿胀,粘液增多,局部充血,鳃丝发深红色或贫血发白色,呈“花鳃”症状,这时就可以假定为 疑似 鳃霉病。
鱼鳃霉病发生后,鱼类失去 食欲 ,呼吸困难,游动缓慢,鳃上 粘液 增多,有 出血、淤血或缺血 的斑点(花鳃),有时 点状 出血或充血。严重时高度贫血,鳃部或 呈苍白色,或呈青灰色 ,有些病鱼的鳃瓣末端呈 浮肿 现象。该病会影响鱼鳃丝的正常功能,随着病情的发展,呼吸机能大受阻碍,多 器官衰竭 死亡。当水质恶化、天气突变引起水中氧气降低时,鱼易浮头。

当感染鳃霉后,整个 鳃丝、软骨和鳃丝血管 里面长满了树枝状的黑丝,一般显微镜都可以检查到,也可以在小规格的鱼苗鳃丝里面,用镊子把它夹出来, 对着阳光 就可以看到整个鳃丝的血管里面充满着发黑的鳃霉菌。
鳃霉病的出现往往是急性发作, 急性型鳃霉病 从发现病原体时起,如果环境条件适宜,1-2天内即可大量繁殖,表现为鳃出血,部分鳃丝颜色苍白,鱼不摄食,鱼类发生爆发性急剧死亡。 慢性型鳃霉病 表现的症状不明显,有时表现为鳃的小部分坏死,坏死的鳃丝部分腐烂脱落,个别部分因贫血失血而鳃丝呈苍白色。

四、关于苗期"偷死"现象和"鼓眼"病与鳃霉病关系的分析
近几年以来,苗期经常会出现 "偷死"现象 和 "鼓眼"病 ,大多发生于鲤鱼、锦鲤和裸鲤等品种。对于水花苗"偷死"现象和鱼苗"鼓眼"病,有人分析是 鲤春病毒病 ,也有人认为是 鳃霉病 。
1.水花苗"偷死": 在水花育苗时,特别是 鲤鱼或者裸鲤 种类,头几天都见有"正常"的水花苗,但往往五天左右或一周以后就踪影全无,存活率特别低下甚至为零。但有一个 不易被察觉的情况 是:下塘的水花苗不上食,无论水生浮游生物还是熟蛋黄水或者生豆浆,都拒食不开口。到后来的全部"偷死",应该是小苗体内仅有的一点营养被内耗完尽而死。

(水花苗)
小鱼苗感染鳃霉,因为 个体小 加上该病具有 隐蔽性 ,因此被诊断率不高。临床诊断时有 两个特征 :①背鳍后、尾鳍前、鱼背部有 白点 ,较大的苗种肉眼可见,白点可能是血液阻塞、血管畸形等原因引起。②鱼苗嘴巴常张开,喜欢靠近增氧气头、感觉鱼缺氧,但水体溶氧检测充足,疑似鳃丝病变影响 呼吸不够 ;大一点的鱼苗,可以看到在凌晨1点~5点死亡多,早晨看到较多死鱼;鱼死亡前独游,多在水表面,跳跃或翻转几次急性死亡。 尤其是第①个"白点"特征 出现时,严重怀疑是鱼苗期鳃霉病。通过显微观察的方法确诊,因鱼苗期苗种比较小,鳃部发育不全,观察鳃霉需要耐心。

2.鱼苗"鼓眼": 近些年发生的鱼苗"鼓眼"病(特别是鲤鱼)在有些地区大行其道,往往发生在 寸片苗子及以下阶段 ,造成的损失也不小。 最明显特征 是病鱼眼球外凸(鼓眼),几乎是无药可治。

以上两种异常状况,从鲤春病毒病和鳃霉病的综合情形来分析, 水花苗"偷死" 属鳃霉病的可能性大一些。因为小苗患发鳃霉病,它主要表现在大小不均匀,鳃丝发黑,不采食,引起鱼苗培育成活率大大下降。 鱼苗"鼓眼" 属鲤春病毒病的几率大得多,虽然 鳃霉病有时也有"鼓眼"现象 但不常见,而"鼓眼"是鲤春病毒病的 显象 之一。但也不绝对, "鼓眼"两者有之, 需要镜检以示区分判定。

(患鲤春病毒病的腹部膨大,体表充血、出血)

(患鲤春病毒病的双侧眼球突出)
五、鳃霉病镜检
用显微镜镜检要看到鳃霉菌丝才是 诊断鳃霉病的“标准” ,否则,可能会误诊误判。因为肉眼可见的鳃丝病变不是鳃霉病的特有症状。细菌性烂鳃、寄生虫引起的烂鳃、病毒引起的烂鳃(如锦鲤疱疹病毒引起的鳃丝局部坏死)以及药物引起的鳃丝损伤, 都可能出现鳃丝肿胀、粘液增多、淤血或贫血引起的“花鳃”等症状。

用显微镜查看时,取病鱼鳃丝组织作 水浸片 ,在显微镜下发现鳃丝血管内或鳃丝组织间有大量鳃霉菌丝寄生,且菌丝内有较多孢子,才能确诊为鱼鳃霉病。 需要注意的是 ,鳃霉菌丝生长在鳃丝间,特别是穿移鳃霉分枝沿着鳃丝血管或穿入软骨生长,需要用镊子将鳃丝弯曲和适当“破坏”鳃丝后,在显微镜下才能清晰看见鳃霉菌丝和孢子。

镜检时,可见鳃小片 肿大粘连 或鳃丝 坏死崩解 ,鳃丝中有大量鳃霉菌丝 贯穿缠绕 ,鳃丝内有黑色丝状,严重时鳃丝内有枯树状物质。当附于鳃的鳃霉孢子发育成菌丝,菌丝向内不断伸展,一再分支后,沿着鳃丝血管分枝或传入软骨、破坏组织,堵塞微血管、鳃瓣失去正常的鲜红色而呈粉红色或苍白色,鳃小片肿大,充血,出血。

六、鳃霉病流行特点
鳃霉病的一些流行特点有助于我们诊断和认识鳃霉病。
(1)鳃霉病只对 淡水鱼 产生危害,可能海水不适合鳃霉菌的生长,故:海水鱼不感染、发病。
(2)鳃霉对 苗种 阶段的鱼敏感,一般水花苗、苗种养殖容易发生,而成鱼不发病或很少发病。
(3)通过外用药物和氧化剂改底分解有机质、改善环境,鳃霉病可以得到控制,但当以后水体环境适合鳃霉菌繁殖后,池塘也 可能再次 发病。

七、鳃霉病诊断时可能存在的误区:黑色素细胞与鳃霉菌丝
目前,多数鳃霉病的诊断错误是把显微镜下见到的 黑色素细胞都当做鳃霉菌 而误诊,鳃霉菌丝与黑色素细胞是有 显著区别 的。
当鱼类在患病状态、亚健康状态或者在各种应激状态下,都能在显微镜下见到鳃丝上有大量的 黑色素细胞 ,但这种情况下它是主要分布在鳃丝基部,有时肉眼可见鳃丝基部发黑,当鱼类恢复健康以后或者应激因素消失以后,在显微镜下也见不到色素细胞。

(鳃上的黑色素是鱼类鳃上发生炎症)
很多人肉眼见到养殖鱼类鳃丝溃烂或其它异常时,显微镜镜检鳃丝看到黑色素细胞时,可能会误认为是鳃霉菌丝而错误地诊断为鳃霉病。实际上黑色素细胞与鳃霉菌丝在 形状上和大小上都有很大的区别 。
1.鳃丝上的黑色素细胞在显微镜下一般呈类似 雪花一样的星芒 状,树突状分支很多(见下图):

(低倍镜下鳃丝上的黑色素细胞)

(高倍镜下鳃丝上的黑色素细胞)

(鳃丝上的黑色素细胞组织切片观察)

(鳃丝上的黑色素细胞中色素颗粒)
黑色素细胞分枝“ 纤细 ”,鳃组织切片观察分枝宽度一般不超过7μm,细胞中的色素颗粒不足1μm,色素颗粒必须在高倍镜下才能见到。
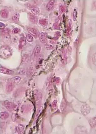
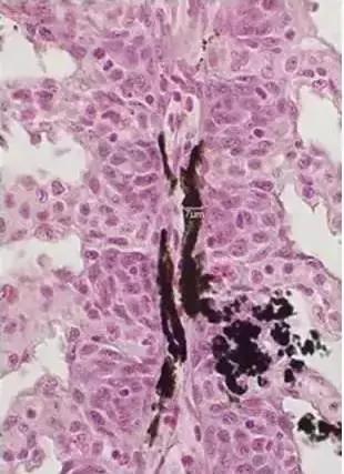
2.真正的鳃霉菌丝在显微镜下粗细较 均匀 ,分支较少(见下两图):

(鳃霉菌分枝菌丝和孢子)

(鳃霉菌分枝菌丝和菌丝内的孢子)
鳃霉菌丝“ 粗壮 ”,目前国内发现的2种类型的鳃霉,即血鳃霉和穿移鳃霉的菌丝直径分别为8~36μm和7.4~9.6μm,菌丝内的孢子也很大,直径分别为6.6~21.6μm和4.8~9.0μm,菌丝内的孢子在低倍显微镜下即可看到。
黑色素细胞在显微镜下一直呈 黑色 ,而鳃霉菌丝呈 半透明 ,特别是把视野调亮时更明显。通过镜检比较很容易区分鳃丝上的黑色素细胞和鳃霉菌丝。

(显微镜下鳃霉菌)
八、鳃霉病防控措施
鳃霉病,目前在防治效果上还有一定的难度。鳃霉菌和水霉菌都属于 真菌 。水霉菌多发生于低温时节,鳃霉菌往往是在高温时节发生。但都是真菌类,防治方法可以 相互参照 。

(鳃霉病,在显微镜下可以清晰的看见鳃霉的孢子和孢囊)
1,因鳃霉菌和水霉菌均属真菌类,治疗时可参照水霉病方法施治,可用治疗水霉病药物,比如水霉净、硫醚沙星全池泼洒,用量按使用说明,提前预防用药均可。
2,先使用硫醚沙星,隔天用聚维酮碘全池泼洒,用量按使用说明,连续使用两个疗程,提前预防用药均可。
3,在治疗的真菌的过程中,可抑制真菌的产品有水杨酸,聚维酮碘,蛋氨酸碘等外用消毒剂,最好是同时使用中草药等免疫增强剂内服,用量按使用说明,修复机体的体质及抵抗力,更有利于鳃霉的治愈,提前预防用药均可。
4,在鱼苗下塘前1-2天,全池泼洒过氧乙酸0.5-1亳升/立方米进行水体消毒灭菌,然后投放鱼苗, 对预防鱼苗鳃霉病有一定效果。发病后仍可以泼洒过氧乙酸0.5-1亳升/立方米,适用于水源条件差的地区,由于使用过氧乙酸治疗后,不必进行换水这一环节,从而解决了换水难问题。
5,使用苯扎溴铵+戊二醛合剂,杀灭真菌,用量按使用说明。
6,漂*粉白**1-1.5克/立方米全池遍洒。
7,对发病鱼池迅速加注新水,或将鱼转到水质较瘦的或流动的池水中,病可能会停止。还可以发病池塘抽掉一半老水,迅速加注新水到原水位,以降低水体肥度。
8,市售其它对真菌和鳃霉病具有杀灭作用的药物。

(备注:本文仅供参考和交流!内容和图片大多来源于网络资料,如有异见请告知,欢迎指正和留言讨论)

水产实践人士,共谋渔业繁荣!敬请关注本号@渔人刘文俊,更多精彩内容请登录西南渔业网和养鱼第一线公众号,本文原创如需转载请注明出处,如有不同见解或者内容补充请私信或留言或评论分享!#鱼病##鱼苗##鱼类##养鱼##淡水鱼#