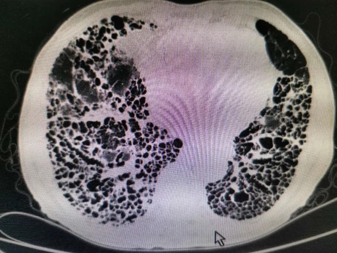
特发性肺间质纤维化是一种慢性、进行性、纤维化性间质性肺炎,被认为是一种不可能治愈的疾病,中位生存期只有2-3年,有人说这个病比肺癌好不到哪去。


而在市三院呼吸科有这样一位78岁的刘大爷,确诊特发性肺间质纤维化已有10年,在我院呼吸科侯凤茹主任长期严密指导治疗下,10年至今,刘大爷如今肺功能依然可维持日常生活。
刘大爷近2年病情逐渐加重,几乎每1-2个月都需要住院治疗。今年6月下旬再次因气短加重伴发热到三院呼吸科治疗,此次病情比以往更加严重,持续高热、剧烈的咳嗽、严重呼吸困难;出现呼吸衰竭、心力衰竭、肝功能不全、低蛋白血症等多器官功能衰竭,且合并冠心病、类风湿性关节炎等多种基础疾病,病情极其危重。

刘大爷入院后,侯凤茹主任高度重视,带领整个呼吸科医疗团队立即投入紧张的抢救治疗中,通过准确地判断病情,明确诊断为特发性肺间质纤维化急性加重合并严重的肺部感染。侯主任积极组织科内研究讨论病情,充分认识到该患的肺感染存在耐药的铜绿假单胞菌和真菌的多重感染,同时存在因严重的缺氧导致的多脏器衰竭。刘大爷病情重危,命悬一线﹍﹍。
根据患者病情的特殊性,侯主任果断决定应用无创正压通气、积极控制感染,同时给糖皮质激素冲击治疗,保护脏器功能及营养支持对症治疗;经治医生赵启明密切关注病情变化,耐心细致的管理,全科医生的精心照顾与积极配合;李欣护士长带领史媛责任护士等护理团队每日监测尿量,定时给予刘大爷翻身、预防压疮等精心细微护理。经过半个多月的全力救治,刘大爷体温逐渐正常,呼吸困难明显改善,精神愈发好转,逐渐地能间断脱离呼吸机。经过呼吸科全体的努力,终于将这一位罹患了堪比“癌症”的老大爷从死亡线上拉了回来,刘大爷转危为安,现已平安出院。

目前市三院呼吸科在侯凤茹主任带领下全面开展先进的无创通气技术,医疗团队中的医生护士已熟悉掌握无创通气技术的理论知识及临床的操作细节,极大程度的挽救了病人的生命,明显地增加了急危重症抢救成功的概率,提高了患者的生活质量,让慢性肺疾病患者也能再次呼吸新鲜的空气,拥有明朗的晴空。
来源:辽阳市第三人民医院