出现膝关节疼痛,拍了X光片说骨头没事,真的没有事吗? #真相来了#
这个问题主要分成四个部分来说明:1、什么是膝关节;2、出现膝关节疼痛的原因?3、拍了X光片没事就真的没事吗? 4、 拍片解决不了,那做什么检查才能查到真正疼痛的原因?
放射科医生张浩将为您作以下解答,希望可以采纳!
1、什么是膝关节?

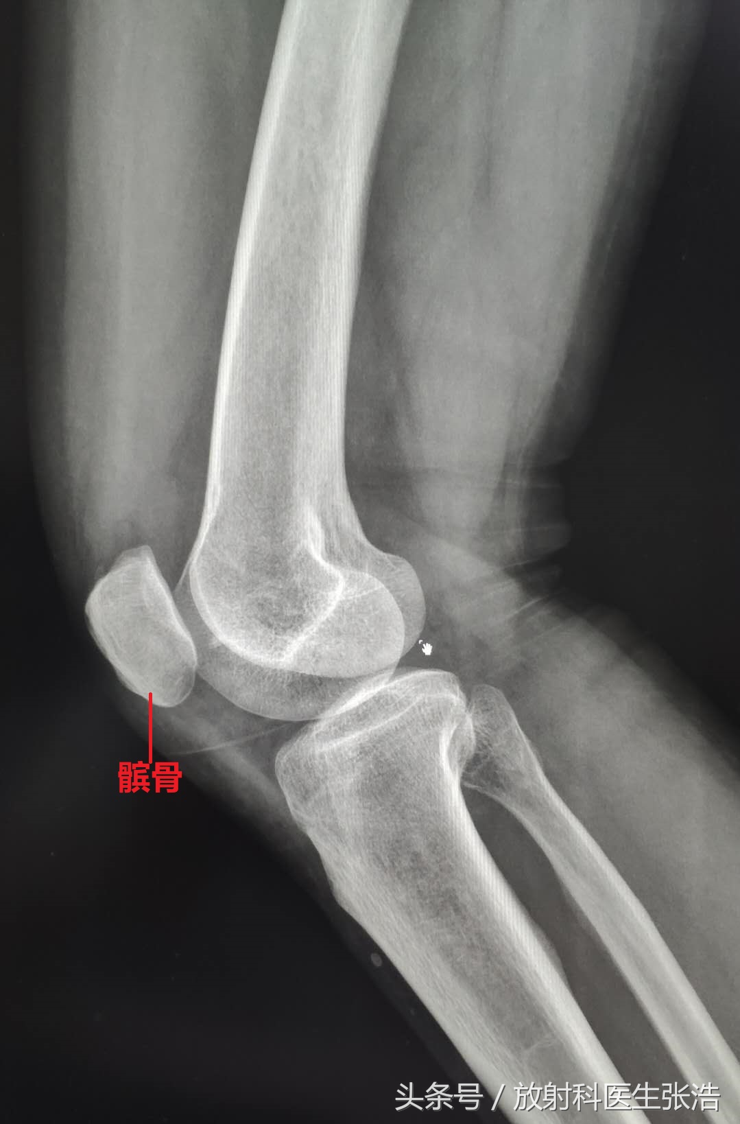
我们通常认为膝关节就是由几块骨头构成的(如上图所示),包括大腿的股骨,小腿的胫腓骨,还有前缘的髌骨,但是实际上膝关节的结构不仅仅有有这些结构,这些我们所熟知的只是膝关节的骨性结构,

构成膝关节的其实还有别的软组织结构(如上图所示),软组织结构主要包括韧带和半月板结构,很多时候我们出现关节损伤疼痛的时候,骨头没有出现问题,痛痛的原因就来源于韧带和半月板的损伤。
2、出现膝关节疼痛的原因?
1、膝关节出现疼痛最常见的因素就是外伤,摔倒,骑车碰伤都会造成膝关节损伤,往往肿胀明显,疼痛剧烈。
2、其次就是热爱运动的人,特别是喜欢跑马拉松,负重训练,爬山的运动员,往往时间久了以后就会觉得自己的膝关节特别疼痛,有时还会有积液的感觉。
3、还有就是老年人,岁数大了以后就感觉自己的腿脚不利索,特别是膝关节会出现疼痛,蹲下去之后必须要有人搀扶,不然自己用力站起来很困难,而且关节疼痛明显伴随着咔咔的声音等。

3、拍了X光片没事就真的没事吗?
出现以上疼痛的原因以后,大家大医院就诊,往往会第一时间去拍x光片检查,很多时候拍完片子后看到自己的膝关节骨头都是好好的,就觉得没有事了,然后也就慢慢恢复了,但是有的时候拍x光片的时候片子上骨头确实没有什么事,但是膝关节任然很疼,休息也没有得到很好的缓解,那时什么原因呢?因为拍x光片我们只能看到膝关节的骨质结构,就是第一点中提到的,股骨、胫腓骨、髌骨,x光片说没有事只能说明骨头没有事,如果拍了片子没问题,膝关节还是疼得厉害,那问题是在软组织!韧带、半月板的问题,X光片是看不到的!


4、 拍片解决不了,那做什么检查才能查到真正疼痛的原因?
拍了x光片骨头没有问题,但是膝关节任然疼难忍!问题就在软组织结构了!这个时候我们就需要做膝关节的核磁共振检查,这不做不知道,做了结果很多时候真的能吓自己一大跳!我们一起来看看几个膝关节疼痛的患者做完核磁共振的图像结果!
1、第一张可以看到其胫骨上段大片混杂长T2信号,说明胫骨虽然没有骨折,但是里面骨小梁已经出现了细微的损伤水肿;再看胫骨前面的软组织内,肌肉间隙也是很多水样的信号,那是外伤造成皮下血肿信号!x光片上是看不到的。

2、第二张我们可以看到在膝关节的关节腔内有很多水样的长T2信号,这就是关节积液了,有些患者关节积液非常多,感觉膝关节特别肿胀,但是拍片又没事,问题就在关节积液,这样一下就找到原因了。

3、第三张这个问题就很严重了,往往是外伤,车祸等造成的,膝关节主要两个大韧带:前交叉韧带,后交叉韧带,一旦损伤断裂,人就没法正常行走下蹲了!可以看到后交叉韧带还是很均匀的黑色短T2信号,但是前交叉韧带信号非常不均匀,出现了局部损伤,严重的是需要及时手术治疗的!

4、最后一张就是之前提到的半月板损伤了,半月板是膝关节连接股骨和胫骨重要的纤维软骨结构(就是平时说到的脆骨),一旦出现损伤或者磨损将直接影响膝关节的活动,并且磨损疼痛的厉害。西面就可以看到半月板前角因为外伤出现了撕裂伤,需要技师手术治疗的。

所以说,出现膝关节疼痛,拍了X光片说骨头没事,真的没有事吗?不是的,如果拍了片子没有事,膝关节还是疼得厉害一定要及时做核磁共振检查,问题就可能出在x光片所看不到的软组织上了!