大众网记者 孔婷婷 潍坊报道
近日,潍坊市中医院介入医学科团队成功为一例晚期结肠癌合并重度狭窄患者放置了结肠金属支架,让多日不能排便的患者再次自主排便。
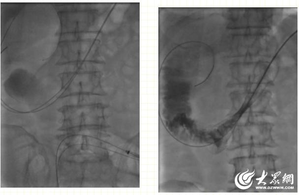
结肠支架打通“方便”之门
介入医学科主任尹春辉介绍,肠道支架没有什么明显创伤,对于患者来说就像做了一次肠镜检查。医生在DSA(数字减影血管造影机)辅助下,通过一根引导导丝将支架放到梗阻部位,在堵塞的肠腔中撑开一条通道,形成真正意义上的“疏导”。
术后患者顺利排出大便,连说:“终于痛快了,肚子胀、痛也缓解了”,患者梗阻已解除。

肠道支架

肠道支架即在肠道狭窄的部位放置一个网状支架将肠道撑开,使狭窄或阻塞部位重新恢复通畅,可作为结直肠癌恶性梗阻的永久或暂时性治疗,并为择期术创造条件。
肠道支架适用于因腹部晚期恶性肿瘤侵犯、压迫或其他恶性病变导致十二指肠、小肠、结肠、直肠狭窄梗阻和吻合口狭窄的病人。
肠道支架过渡性放置,可替代结肠造瘘术,进行充分肠道减压,缓解梗阻症状,使梗阻性左侧大肠癌患者的肠道局部和全身病理生理状态,恢复或接近无梗阻性状态,再选择单纯性大肠癌的Ⅰ期腹腔镜手术方式处理,降低手术并发症及死亡率,避免二次手术创伤,提高生存率,改善患者的生存质量。
对于不能进行外科手术及不愿手术治疗的患者,肠道支架也是一种姑息性治疗选择,通过DSA透视下或者内镜下支架治疗肠道恶性狭窄,操作简单、创伤小、并发症少,易被患者接受,可解除梗阻,延长患者生存期,免去患者造瘘后携带“粪袋”的困扰与不便,让患者更舒适地生活。
肠道支架置入的优势
1.采用DSA透视下微创的方式解除肠道梗阻,患者痛苦小、并发症少。
2.通过置入结肠金属支架进行桥接,在术前解除肠梗阻,使急诊手术转变为择期手术。
3.患者可以在术前更好的清洁肠道、进行肿瘤评估,为腹腔镜下切除、一期吻合、联合肝转移切除等创造条件,从而减少患者损伤、降低造瘘率和并发症发生率、减少二次手术。
4.对于无法手术切除的患者,内镜下结肠金属支架置入可以替代姑息手术,达到解除肠道梗阻的目的。
5.置入金属支架的患者比手术患者能更早的接受化疗,有利于缩短住院日、改善患者预后。