膝关节内侧疼痛多见于内侧半月板损伤或者内侧关节软骨磨损,尤其是在屈伸膝关节或者是下蹲的时候,会导致明显的疼痛,为什么天气变化就会导致疼痛加重或者是诱发疼痛呢?多数是因为关节软骨的损伤关节腔内继发了滑膜的炎症。

我们的膝关节内的滑膜对气压和温度的变化是比较敏感的,尤其是有炎性反应的滑膜组织。当天气变化,尤其是变得比较寒冷,气压变化比较大,而患者的关节保护不是特别好的时候就会诱发患者出现明显的关节疼痛。
而为什么膝关节内的滑膜会产生炎症呢?多数都是由于关节内的结构出现了异常,刺激到了关节腔原本正常的滑膜,使滑膜发生了炎症的反应,出现增厚和血管异常的增生(下图就是有炎症的滑膜的真面目)。

而膝关节内侧的结构导致患者出现滑膜明显炎症的常见病因多数是膝关节内侧的半月板损伤和膝关节内侧的软骨损伤。
在我们的膝关节内侧有一个重要的软骨结构,我们称之为内侧半月板,它在关节内起着非常重要的承受重力、匹配膝关节、帮助稳定膝关节的作用。
膝关节的内侧半月板是比较容易受到伤害的,因为内侧半月板承受的重力相对来讲比较多,而且内侧半月板与周边的关节囊连接的非常紧密,活动性比较差,所以内侧半月板容易受到损害。而外侧半月板由于其先天的结构特点,活动性比较大,所以相对来讲不易受损。
导致内侧半月板损伤的主要原因是由于膝关节的过度使用以及外伤。尤其是那些需要长时间蹲着或者是长时间负重行走的人群,是比较容易出现内侧半月板损伤的,比如电焊工就是这样的一个工种。

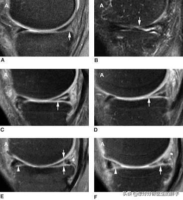
半月板损伤一般根据根据核磁的影像学表现我们将之分为三度。
一度损伤呢,是半月板最轻微的损伤,半月板的内部结构会有一些损伤信号在核磁当中表现出来,但是患者一般不会有特殊的症状。
二度损伤,半月板的内部就会有明显的软骨损伤,而且范围会相对来讲比较大,但是损伤部位的软骨并没有达到半月板的表面,也就是说半月板整体的形态是非常好的,但是内部的结构会有异常。
一度与二度损伤就相当于是一个糠心的萝卜,外表的皮儿是好的,但是里面的瓤有了明显的损害。

三度损伤,就是比较重的半月板撕裂了,也就是说半月板的整体结构有了改变,当这种情况而已发生以后,就会刺激到关节腔周边的滑膜,导致滑膜出现炎症。(以下是半月板的三度损伤的核磁影像图,和半月板撕裂继发滑膜炎的术中所见,大家一看就会明白)


而当半月板撕裂以后,也会在关节屈伸的活动当中,磨损到关节腔的软骨,尤其是在一些对关节压力比较大的动作中更是会加大关节软骨的磨损,比如下蹲长时间的盘腿爬山,或者是剧烈的跑跳。(下图就是半月板破裂之后磨损股骨騍软骨的镜下所见)

相信看到这里大家应该对于天气变化下的膝关节内侧疼痛有了一定的了解,接下来我们聊一聊应该怎么办?
因为普通的x线并不能显示关节腔的软骨情况,只有核磁检查才能清晰的显示患者关节腔内的半月板或者是关节软骨,是否存在了明显的损伤,关节腔是否因为继发了滑膜炎导致了关节积液。这样会更好地帮助医生判断病情。如果确定了关节腔的软骨和半月板存在了问题,那么如果是三度撕裂,建议患者要进行手术治疗。如果是二度损伤加关节软骨损伤,那个完全可以采取保守的治疗,具体建议如下:
第一,保暖。既然天气变化是诱发关节疼痛的原因,那么在天气变化的时候做好关节的保暖就显得特别的重要,可以根据天气预报适当的增减自己的衣物。但是有一点请大家一定要记住,就是无论如何没有特殊情况下,不要长时间的佩戴护膝,来作为保暖的措施。因为长时间的佩戴护膝会导致膝关节周边肌肉的萎缩,反而会加重关节的病情。
第二,外用药物。如果疼痛比较明显的时候,可以尝试外用一些非甾体镇痛药膏药。可以很好地帮助患者缓解疼痛,减轻症状。

第三,肌内效贴。肌内效贴是一种非常好的物理治疗的方式,这是一种非常薄的小贴布,它没有任何的药物,仅仅是通过物理治疗的办法来帮助膝关节促进淋巴的回流、提拉紧张的筋膜帮助患者减轻症状。而且这一层薄薄的小贴布也会起到保暖的作用。这种技术现在在各大医院的康复理疗科都可以找得到,是一种非常简单的技术,而且在医生的指导下,1~2次就会自我学会使用这种贴布的办法。谢医生的一些老患者都会使用这种贴布。

第四,关节内注射玻璃酸钠。这也是谢医生比较推荐的,在临床上比较有效的治疗办法之一,总体来讲有70~75%的患者,因为这种治疗明显的缓解了症状。玻璃酸钠是本身就存在于我们关节内软骨的结构。当半月板损伤以及软骨损伤以后,软骨就会变得薄弱,此时给予进行关节内补充玻璃酸钠可以增加软骨的弹性、润滑关节、帮助减轻患者的症状,谢医生的4个老人,每年都要定期关节内注射玻璃酸钠。

有的时候,很多这种容易因为天气变化导致膝关节疼痛的患者会长时间的佩戴护膝,而今天我给大家介绍一种真正能起到作用的护膝……通过康复锻炼强化股四头肌
现在市面上所能买到的护膝,起到的作用几乎只有两种,轻微的支撑和保暖,到现在也没有一项研究能够证明护膝会起到治疗关节的作用,所以请大家还是不要长时间的佩戴护膝,除非是那些关节不是特别稳定的患者。
而真正能起到保护我们的膝关节、加强我们关节的稳定性、真正对我们的关节有好处的护膝其实是我们关节的肌肉,而其中最重要的一块肌肉就是股四头肌。以下就是一些锻炼我们股4头肌的康复动作,非常的简单易学,需要的就是耐心和毅力通过时间去慢慢强化这块肌肉。
建议每个动作做15~20次为一组,每天坚持2~3组。






总结
建议有同样问题的朋友,最好要到医院进行膝关节核磁检查,明确关节腔的半月板以及软骨,其他的结构是否存在问题?如果半月板确定存在的三度损伤,那么可能需要进行手术治疗如果是一度二度损伤同时伴有软骨的损伤,可以按照文章中的一些建议进行治疗,观察疗效。
在日常的生活中也建议要做好关节的保暖同时做好关节肌肉的强化锻炼,这样才能慢慢的将症状控制住,不使其进一步的进展。如果您还有其他的疑惑,可以在下方留言,大家共同探讨。
我是坚持用简单语言解释复杂疾病知识的谢新辉,码字不易,如果您赞同我的观点,请帮忙点个关注或点个赞吧,如果您或者是您的家人朋友也有这方面的困扰,请把这篇文章转发给需要的他们吧,谢谢了!

#清风计划# #真相来了# #健康真探社# @岐黄道 @杏花岛 @头条养生 @健康真相官 @清风计划 @青云计划 @头条健康 @头条辟谣