本文为科普文,专余咸用。

正文开始(全文约870字,四幅图)
首先,来看一个病例。
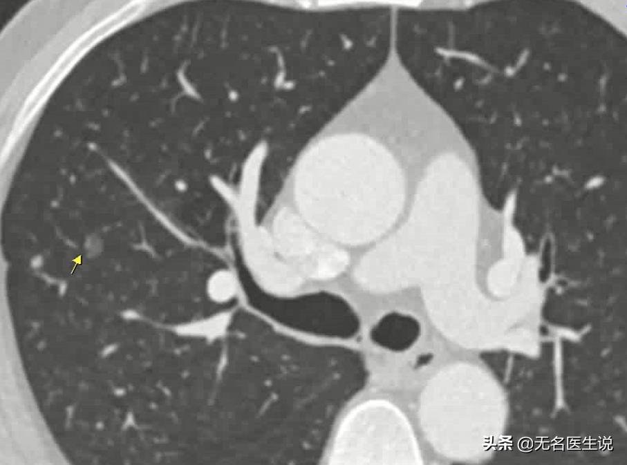
男,50岁,胸部CT发现右肺上叶前段磨玻璃结节,约0.7×0.8cm,内见扩张小血管穿过。手术治疗后病检结果为肺原位癌。

箭头所指既往磨玻璃结节,病理检查为原位癌
肺原位癌是个什么癌?
癌细胞的生长过程经历了正常细胞→不典型增生→重度不典型增生(原位癌)→早期癌(微浸润癌)→浸润癌→转移癌。这个过程就好像一粒种子的生长过程,从无到有,从生根发芽到开花结果。原位癌虽然有“癌”字,但现在专业上已经不把原位癌划在了肺癌的范围内,它没有穿透肺泡上皮的基底膜侵犯到周围组织,更没有发生浸润和远处转移,它就像一颗没有发芽的种子,没有长根长叶,也不会飘散到其他地方,它就静静地躺在那里。

癌细胞的生长过程类比模式图
在肺原位癌中,我找到了一幅模式图,在这幅模式图中,图A是正常的肺泡细胞,图B是原位癌,肺泡结构还是正常的,对周围组织没有侵犯;图C是微浸润腺癌,中心部分的肺泡细胞结构已经不正常了,对周围组织有侵犯,但范围小于5mm;图D示浸润性腺癌,侵犯范围扩大,大于5mm。

图片来源于上海新华医院蒋连勇医生
原位癌是否需要手术
这是一个非常纠结的问题:因为原位癌的诊断往往是回顾性的,当CT发现一个纯磨玻璃结节时,纵然是有经验的医生也不敢判断一定是原位癌,因为原位癌的诊断需要靠病理检查,而病理标本的获取,可靠的方法是手术。浸润性的癌症在CT上被误判为了原位癌,导致失去手术最佳时机,这是大家都追悔莫及的事情。专业策略上来讲,CT上发现可能为原位癌的磨玻璃结节,是否手术有以下策略:如果患者年轻或身体条件好,建议手术治疗,毕竟原位癌是癌症的“种子”,随着时间的推移,“种子”可能生根发芽,开花结果,变成的浸润性癌症甚至转移。如果患者年龄大或身体条件不好,是可以不手术的,毕竟原位癌生长缓慢,有报道说10年都不会有明显变化,短时间之内不会对身体造成较大的影响,同时在切除原位癌时会切除一部分肺组织,对于身体条件不好的人来说有点得不偿失。但是,就算不选择手术,CT的复查随访是必不可少的。
肺原位癌的手术治疗效果是非常好的,切除后跟没患该肿瘤一样,五年生存率几乎为100%,也就是达到了临床治愈;同时术后也不用放化疗,不影响寿命。
(此处已添加医疗卡片,请到*今条头日**客户端查看)