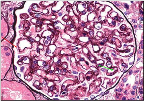
#肾脏病##膜性肾病#

肾炎是肾内科一种常见疾病,一般表现为蛋白尿、血尿、高血压、浮肿等,一般来说,如果对于一个成人的肾炎病人, 如果蛋白尿时间超过2个月或蛋白尿定量大于1g,一般都有肾穿刺指征 ,因为如果不做穿刺,就不能明确是哪一种肾脏病理类型,治疗上只能经验性用药治疗,有可能会走弯路,耽搁患者的治疗。但是话又说回来,肾穿刺是一种有创的检查,有出血、感染等风险,而且有些患者因为特殊原因做不了穿刺或存在肾穿刺禁忌,这种情况下又该怎么办呢?
随着医学的进步,越来越多的无创检查应用于肾病的诊断, 磷脂酶A2受体抗体(PLA2R抗体) 就是特发性膜性肾病的一种标志性抗体,如果抗体阳性,往往提示患者为膜性肾病,在这种情况下,如果患者不愿意穿刺或穿刺风险较高时,可以先按照特发性膜性肾病进行治疗,治疗过程中动态监测PLA2R抗体滴度也可以判断患者的治疗效果,如果PLA2R抗体滴度逐渐下降,提示患者对于药物的治疗效果可,疾病在缓解中。
虽然PLA2R抗体在膜性肾病的诊断中有重要意义,但是PLA2R抗体阴性并不能排除膜性肾病可能,也不能区分患者目前处于膜性肾病的几期(膜性肾病在病理下可分为四期),所以PLA2R抗体存在着一些限制,如果患者无明显肾穿刺禁忌,还是建议能进行肾穿刺最好,因为肾穿刺是肾炎患者的诊断金标准,不仅可以明确病理类型及分期,还能判断出患者的预后情况。