有小孩的父母大都会发现一个问题
宝宝经常逮住什么都要摸一摸、舔一舔
甚至还要塞进嘴里尝一尝……
这是他们独特的认识世界的方式
但作为家长,却时刻担心孩子误吞东西
这种担心也绝不多余
就在前几天,深圳1岁小孩误吞的东西
让医生和家长都倒吸一口冷气!
他到底吞了什么呢?
1岁小孩误吞玻璃片
家长吓出一身冷汗
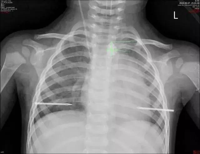
9月7日上午11时,深圳市儿童医院医生收到紧急通知,急诊收入一名1岁2个月的男孩,因“误吞碎玻璃渣3小时”入院,外院胸片检查示“食管上段异物,位于主动脉弓之上约0.7cm,大小约1.2x1.2cm”,入院诊断食管异物。

到底怎么回事呢?
原来,小桐家人不小心摔碎了一瓶“双飞人”药水,打扫之后一片碎玻璃成了“漏网之鱼”。恰好,它被刚刚学步的小桐发现,并放进了嘴巴里。
小桐爸爸看到后,急忙跑上前,想抠出来。不料,孩子一挣扎,头一仰,碎玻璃竟然吞下肚了。吓出一身汗的父母,赶紧抱着孩子往医院跑。
办理入院后,医生紧急安排小桐做了CT,很快CT检查结果就出来了,结果让人捏了把冷汗——
食管中上段约平第2、3胸椎水平可见一不规则长条状高密度影,大小约13x16mm(左右径x上下径),相应水平食管周围间隙尚清晰。
医生分析后认为,小桐无明显咳嗽、咯血、血压下降等症状,结合CT检查结果,考虑目前食管异物暂未引起主动脉弓损伤,但随着异物存留时间延长,极有可能引起食管穿孔、食管周围间隙感染,最终导致主动脉弓损伤。
既然如此严重,那到底要怎么办呢?经诊断,医生选择了手术取出碎片
联手“拆弹”
玻璃片被完好取出
随后,医生根据小桐的实际情况做了具体分析,选定了手术方案,经过紧张的手术,玻璃碎片被完整取出。

其实
儿童误吞东西导致的危险情况并不少
▼
1
深圳1岁男娃“抢”饭板栗
半夜进重症病房
深圳一岁小孩抢食板栗,之后就出现哭闹不安,却无明显呛咳表现,凌晨时家长就发现孩子呼吸困难,赶紧上医院。
随即,医生通过电子支气管镜发现有不规则黑色异物卡在气管分叉处右主支气管开口,随即进行钳夹: 分别取出1.0x0.8cm和0.5x0.3cm板栗壳2枚。
之后,医生再次仔细查看左右气道,发现右下叶支气管开口处也有同类黑色异物存留,果然是另外1枚0.5x0.4cm板栗壳。
板栗壳取出后,孩子的气道恢复通畅,转危为安。
2
孩子误吞绣花针
造成肠管穿孔
深圳市儿童医院还曾接诊了一位误吞了两条绣花针的小孩彬彬。
彬彬妈妈说,他原本是吃了三根针,有一根因为呛咳当时吐了出来,剩下的两条针就全部吃了进去。

当时,看到X光片,在场所有的人都倒吸一口凉气。而且这两条已在彬彬肠胃穿游数日的绣花针,已穿透了他的肠管造成穿孔,他的腹腔内已造成了感染。情况十分不妙。
好在手术及时,没有造成大量粪便外渗,孩子转危为安。
3
家长给1岁娃吃了两颗枣
宝宝病重上了手术台
深圳市儿童医院还曾接受过一个小病人,入院时,宝宝的腹胀非常明显,精神状态差,已经有感染性休克的表现。这种消化道穿孔,如果引发感染,将危及生命。医生得赶紧为他动手术。
手术前,医生反复询问家长,是否有给孩子喂过特殊的食物,家长都否认了。
然而,在手术中,医生在宝宝小肠内有一尖锐的枣核,导致肠子两处穿孔,大量的粪便已流入腹腔,感染十分严重。
手术之后,医生将枣核拿给家长过目,家长才想起了发病前确实给孩子吃过两颗枣,但万万没想到孩子把核给吞了。

术后经过长时间的抗感染治疗,孩子终于度过了危险期。
看完这些案例
相信很多人都会倒吸一口凉气!
这些事情给家长的启示就是
千万不要让孩子碰一些
易卡喉的小东西
这些异物要小心
气道异物
1、植物性异物(占80%以上):坚果(瓜子、花生、莲子、豆子等)、小水果(桂圆、葡萄、荔枝等)、果冻、饭粒或者水果粒。
2、动物性异物:肉粒;
3、其他小异物:纽扣等。

消化道异物
1、食物:骨头(鱼刺)、果核(枣核)、饭团;
2、小物品:小玩具、硬币、纽扣、纽扣电池、磁铁、别针,笔套、*珠钢**、戒指等。

既然知道了常见的容易误吞的异物
那预防宝宝误吞东西
家长应怎么做?
① 家长应提高防范意识,使孩子远离异物。选用安全玩具,如避免给小婴儿玩耍零件过小的玩具。杜绝将硬币、纽扣、*珠钢**等小东西含在口中玩耍。不要玩吹破的气球碎片。
② 养成专心吃饭的好习惯。孩子进食时避免逗孩子笑或者哭闹,不要跑动。细嚼慢咽,咀嚼完全再吞咽。
③ 在给孩子喂养煲的粥前一定要将骨头、鱼刺等清除干净或者将煲汤内容物捣碎后再给孩子喂养。3-5岁以下的孩子尽量避免吃瓜子、花生等食物。
孩子误吞东西
家长要如何第一时间急救呢?
孩子吸入异物后的剧烈反
应经常会让家长惊慌失措
但是光着急是于事无补的
只会浪费最佳的抢救时机
应该尽量保持冷静
采取正确的措施让孩子摆脱危险
海姆立克急救法学起来


切记,如果孩子已经出现意识不清、呼吸困难、面色苍白、痉挛、剧烈呕吐等症状,说明情况相当危险!
不要犹豫!
马上打120急救电话,
并向120说明情况。
在等待救护车的时候,
可在120的指导下进行必要的急救。
误吞异物,严重可致命!
请各位家长一定要注意防范!
来源:深圳大件事
部分素材来源:深圳卫健委