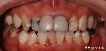
也许大多数人对“氟斑牙”这个词很陌生,但是生活当中大家绝对遇到过这样的人,不笑的时候各方面都很正常,笑起来却是意外的让人犯了尴尬症,因为牙!齿!太!难!看!了!

图片来源网络
这就是常见的“氟斑牙”,怎么样,是不是勾起了你很多不太美好的回忆?
今天呢,我们就来了解了解“氟斑牙”
◆◆什么是氟斑牙?◆◆

图片来源网络
氟斑牙又叫“斑釉牙”或“氟牙症”,具有地区性特点,常见原因为牙齿发育矿化时期,机体摄入过量的氟,使牙釉质矿化或发育异常所致,是慢性氟中毒的表现之一(氟本身对牙齿具有双重作用,氟含量过低则易形成龋齿)。
◆◆导致“氟斑牙”的因素有哪些?◆◆

图片来源网络
1、 使用含氟牙膏虽能有效防治龋齿,但如果使用不当,则会引发副作用,导致氟斑牙。
2、 氟的防龋作用与产生毒性之间的界限很小,摄入过量的氟会使牙齿产生一些斑点,这就是氟斑牙。严重时可使牙齿变黄,表面粗糙,容易缺损。
3、对于吞咽控制能力还不完善的儿童,误吞含氟牙膏就会增加氟的摄入量,而过量的氟则容易导致氟斑牙。
◆◆氟斑牙的好发地区◆◆

图片来源网络
氟斑牙在全世界各国均有报告,我国氟斑牙流行区也很多,东北、内蒙、宁夏、陕西、山西、甘肃、河北、山东、贵州、福建等都有慢性氟中毒区;氟牙症好发于恒牙,长期生活在高氟地区的人。
◆◆氟斑牙怎么分型?◆◆
氟斑牙在口腔医学上常分为轻度、中度和重度。
轻度(白垩型)

图片来源网络
表现为釉质表面像白色粉笔样、不透明斑块即白垩状斑块,但整个面积不超过牙面的1/2。
中度(着色型)

图片来源网络
牙齿形态无变化,但牙齿存在广泛着色,出现黄褐色或暗棕色斑块,上前牙最为明显。
重度(缺损型)

图片来源网络
多数牙甚至全口牙出现黄褐色斑块,同时有线状、点状或窝沟状缺损,凹陷内有较深的染色,牙面失去光泽。
◆◆氟斑牙有哪些危害?◆◆
严重易造成全身性骨病

图片来源网络
很多氟斑牙患者的牙齿对摩擦的耐受性比正常牙齿的耐受性差,牙齿的脆性比较大,重度氟斑牙会导致牙齿实质缺损,更严重甚至会引起氟骨症,即全身性骨病。
影响个人形象

图片来源网络
氟斑牙患者的牙齿不像正常人那样光泽洁白,甚至有变形染色,从而对个人的整体美观造成一定的影响,甚至影响工作生活。
影响心理健康

图片来源网络
很多氟斑牙患者因牙齿不美观,造成生活交际困难,大大降低了个人自信心,甚至产生自卑心理。
◆◆氟斑牙能否通过刷牙刷白?◆◆

图片来源网络
不能。氟斑牙患者的乳牙长出来后,和正常人一样洁白透亮,但是从童年时换掉乳牙后的第一课新牙开始,牙齿的颜色由白变灰,然后变黄,甚至变黑,所以刷牙这种简单的措施是不能解决氟斑牙的。
◆◆洗牙能够洗掉氟斑牙吗?◆◆

图片来源网络
不能。洗牙针对的是牙结石,氟斑牙已经深入到牙齿深层,而洗牙清洁的是牙齿表面和牙龈下方,对氟斑牙不起作用。
◆◆氟斑牙一般怎么治疗?◆◆
传统治疗

图片来源网络
1. 漂白法:单纯的药物漂白容易再着色,但部分人可能存在颜色不均;
2. 瓷贴面修复:超薄、美观,但对牙釉质发育不好的有一定损伤。
3. 烤瓷牙:坚固、安全,适合部分严重氟斑牙患者,但是少数存在过度治疗,易造成牙齿永久的不可逆损伤。
现代树脂贴面微创修复法

图片来源网络
这种方法尽可能的保存牙体组织,能有效去除氟斑牙表面着色,还能改善釉质表面的湿润性,促进美白和矿化修复,一般根据患者的要求、氟斑牙着色深浅、病情程度、部位、邻牙颜色等综合选择。
◆◆生活中应该怎么预防氟斑牙?◆◆
1. 最理想的预防方式是选择含氟量适宜的水源,我国现行水质标准氟浓度为0.5~1ppm应是适宜的,但是这点可能常人无法检测,可以通过长时间观察牙齿颜色得知。

图片来源网络
2. 3岁以前的儿童应禁止使用含氟牙膏,学龄前儿童应该慎用含氟牙膏,4-6岁的儿童应在家长或老师的指导下谨慎使用。7岁以上的儿童可以使用含氟牙膏,但要注意不能将牙膏吞进腹中。

图片来源网络
3. 正确选用牙膏。成人应选含氟牙膏,但在含氟牙膏中加钙的产品不宜选用。因为使牙齿坚固起主要作用的是氟,而不是钙。而且钙容易和氟发生反应形成氟化钙,不能再发挥作用。既不能补钙,又降低了氟化物的抗龋作用。

图片来源网络
4. 早发现早治疗。氟斑牙对牙齿的伤害是不可逆的,所以当出现氟斑牙的症状应该及时到正规口腔医疗机构进行治疗,防止氟斑牙的加重。
牙齿的好坏直接影响着我们的生活,希望大家平时都多多关注牙齿的健康~