危在旦夕!瓣膜置换术后患者,短期内2次发生急性心梗,如何综合救治?
一、病史资料
患者男,57岁,体重指数(BMI) 23.8kg/m2,职员,2019年2月24日入院。
◆主诉:间断胸痛3年,加重4小时。
◆病史简介:患者3年前开始间断无明显诱因感胸痛,位于胸骨中段后,范围巴掌大小,为胀痛不适,持续约10分钟症状可自行缓解,未就诊治疗。2019年2月24 日7: 00左右无明显诱因再发胸痛,程度加重,伴出汗、持续不缓解,遂来我院急诊。
◆既往史:2004 年因风湿性心脏瓣膜病、阵发性心房扑动于我院行主动脉瓣置换+二尖瓣置换术+三尖瓣修复术(瓣膜为Sorin Bicarbon机械瓣),术后长期服用华法林抗凝治疗(剂量:“2.5mg/d"及“3.125mg /d"交替服用),未规律监测INR;发现高血压病6个月,最高血压210/110mmHg,未规律服药及监测血压。
◆个人史:否认药物、毒物及放射接触史。吸烟40年,每日20支,未戒烟。
◆婚育史:已婚已育。
◆家族史:否认家族遗传性及传染性疾病。
◆体格检查:体温36.6℃,脉搏87次/分,呼吸20次/分,血压128/65mmHg,神志清楚,颈软,颈静脉未见充盈,甲状腺未触及肿大。胸骨正中可见陈旧性手术瘢痕,双肺听诊呼吸音清晰,未闻及干湿啰音。心界不大,心率87次/分,律齐,二尖瓣及主动脉瓣听诊区可闻及人工瓣心音,各瓣膜听诊区未闻及杂音。腹平软,无压痛及反跳痛,肝脾肋缘下未触及,肠鸣音正常。双下肢无水肿。
◆入院心电图:2019 年2月24日心电图提示窦性心律,频发室性期前收缩,ST-T 改变。
◆急诊超声心动图:2019年2月24日(入院当天)左心室大小正常(左心室舒张末内径LVEDD 5.1cm),二尖瓣置换+主动脉瓣置换+三尖瓣成形术后改变;人工瓣功能正常,左心室下后壁运动幅度减低,左心室收缩功能稍减低(左心室射血分数LVEF 45%)。
◆初步诊断:
①冠状动脉粥样硬化性心脏病,急性下壁、右心室心肌梗死,Killip I级;②心脏瓣膜病,主动脉瓣+二尖瓣机械瓣置换术后状态,三尖瓣成形术后;③高血压病3级(很高危)。
二、诊断思路
病史小结:①中年男性,慢性发作性胸痛,与劳力关系不明确;急性加重4小时,伴出汗,持续时间长;②既往高血压病史、双瓣膜置换术及三尖瓣成形术病史,长期吸烟;③查体可闻及金属瓣膜音,无其他阳性体征;④心电图示下后壁ST段抬高,心超提示下后壁节段性室壁运动异常。
三、诊治经过
本例患者为临床最常见的心血管急症,患者有高血压、吸烟等冠心病危险因素,急性起病,有典型的胸痛病史,心电图见明显下壁、右心室ST段抬高,超声心动图见节段性室壁运动异常。故患者诊断明确:急性下后壁心肌梗死,患者发病时间在再灌注治疗时间窗内,行急诊冠脉造影并行介入治疗。
◆急诊冠状动脉造影及直接PCI治疗
急诊冠状动脉造影提示左前降支(LAD)、左回旋支(LCX)未见明显狭窄,右冠状动脉(RCA)近中段未见斑块浸润,远段完全闭塞。行急诊冠状动脉介入治疗(PCI 术),术中导丝顺利通过病变到达左心室后支(PL)远端,行血栓抽吸,抽吸后血栓负荷依然很重,后用球囊(2.5 mmx20 mm)进行扩张。扩张后血流能够到达PL远端,而且可见后降支(PD)开口,但后三叉血栓负荷依然较重,再次进行血栓抽吸。操控第二根导丝通过PD,送入球囊(1.5 mmx15 mm)进行扩张成形。后送入支架(Resolute Integrity 3.0 mmx26 mm)至右冠状动脉远端,PD球囊保护,右冠状动脉支架扩张成形,同时与PD球囊进行对吻。随后用非顺应性球囊(3.2 5mmx12 mm)扩张成形支架,术后右冠状动脉远端血流可,PD血流差,TIMI血流I~Ⅱ级。术后收治心脏重症监护室。(图1)

图1. 入院急诊冠状动脉造影PCI
肝位示LCX未见狭窄病变;正位+头示LAD未见狭窄病变;左前斜位示RCA近中段血管正常,远段血栓性闭塞
◆第一次入院诊疗经过
入院实验室检查:入院第1天(2019年2月24日)血常规、粪常规、隐血、红细胞沉降率、CRP、肝肾功能、甲状腺功能、糖化血红蛋白等未见明显异常;尿常规:尿隐血(++);血脂:低密度脂蛋白胆固醇酯4.92 mmol/L,三酰甘油1.87 mmol/L;肌钙蛋白I(cTNI)187.321 ng/ml,肌酸激酶同工酶(CK-MB)297.6 ng/ml;国际标准化比值(INR)1.42。
入院抗栓治疗:因患者急性心肌梗死急性期,合并既往瓣膜置换术史,且血栓负荷较重,入院初给予双联抗血小板药物加静脉肝素泵入治疗,大部分时间段活化部分凝血活酶时间(APTT)比值维持在1.5~2.5。在患者病情相对稳定后,加用华法林,给予肝素重叠治疗,拟INR升高后停用肝素,患者因个人、家庭原因在INR未达标情况下强烈要求出院。
患者住院期间无再发胸痛,无心力衰竭及其他心肌梗死并发症,心电图ST段回落至等位线水平,肌钙蛋白I进行性下降。出院带药为心肌梗死二级预防用药,因患者合并瓣膜置换病史,故给予阿司匹林+氯吡格雷+华法林抗栓,给予他汀(阿托伐他汀)降脂,β受体阻滞剂(美托洛尔)预防心源性猝死,血管紧张素转化酶*制剂抑**(培哚普利)抗心室重构。
患者2019年3月4日出院,离院4小时后洗澡时再发胸骨中段后巴掌大小范围胀痛,伴出汗、持续不缓解,再次来我院急诊就诊。
◆第二次入院诊疗经过
第二次入院急诊心电图:2019 年3月4日第二次入院心电图提示窦性心律,下壁异常Q波,STT改变(Ⅲ、aVF呈Qr型,Ⅱ、Ⅲ、aVF、 V4~V6导联ST段抬高0.05~0.1 mV,Ⅱ、Ⅲ、aVF、V4~V6导联T波倒置或双向)。
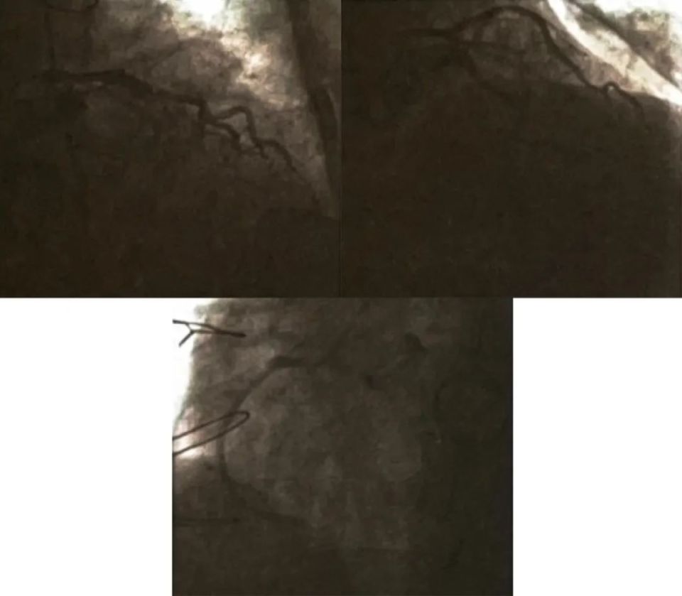
患者诊断考虑再发急性心肌梗死,行急诊冠状动脉造影(图2),示左冠状动脉正常,右冠状动脉支架的中远段血栓形成,完全闭塞,行血栓抽吸,抽出少量血栓。后用2.0mmx15mm的球囊进行扩张,扩张后右冠状动脉远端显影,血栓负荷仍然很重。再次行血栓抽吸,后血栓负荷仍较重,换用3.5mmx12mm的球囊进行扩张,远端血流改善,但支架内仍可见明显血栓影。PD血流TIMI I级。反复进行球囊扩张后,PL和PD血流改善,结束手术。考虑亚急性支架内血栓形成,血栓负荷重,给予阿司匹林、氯吡格雷、欣维宁三联强化抗血小板+华法林抗凝治疗,逐渐调整华法林剂量,INR值大部分时候维持在2~3,肌钙蛋白I呈进行性下降。

图2. 第二次冠状动脉造影及PCI
回旋支正常;前降支正常;右冠中远段(原支架近端)血栓性闭塞;血栓负荷仍重,但远段血流恢复TIMI Ⅲ级
术后患者无不适发作,无心肌梗死并发症,调整华法林剂量,使INR控制在2~3,病情稳定后出院。患者出院带药:阿司匹林+氯吡格雷+华法林抗栓,他汀降脂,β受体阻滞剂预防心源性猝死,沙库巴曲缬沙坦抗心室重构。
随访:患者术后多次门诊复查,活动耐量可,偶有轻度胸痛发作,与活动无关,程度不重。定期监测INR,术后40余天复查门诊心电图示(图3):窦性心律,下壁异常Q波,T波改变。超声心动图示:左心室大小正常,左心室下壁运动稍减低,EF 52%。行冠状动脉造影复查(图4),见LAD、LCX正常,RCA支架通畅,血流正常。

图3. 门诊复查心电图

图4. 第三次复查冠状动脉造影:LCA正常,RCA支架通畅,血流正常
最终诊断:
①冠状动脉硬化性心脏病,冠状动脉栓塞,陈旧性心肌梗死,冠状动脉支架置入术后状态;②心脏瓣膜病,主动脉瓣+二尖瓣置换术后状态;③高血压病3级(很高危);④高脂血症。
四、总结与讨论
冠状动脉粥样硬化斑块破裂、斑块侵蚀和钙化小结诱发血栓形成,完全或不完全堵塞冠状动脉血管是引起急性心肌缺血、心肌坏死最常见的原因。然而,临床上有10%的急性冠脉综合征患者并无严重的冠状动脉狭窄。本例患者,短期内二次心肌梗死,冠状动脉造影显示血栓栓塞,但无动脉粥样硬化证据,冠状动脉造影其余血管狭窄<25%,同时该患者存在栓塞危险因素——瓣膜置换术病史,且在INR未达标时短期内发生二次急性心肌梗死,血栓负荷重,后期抗凝治疗充分、INR达标后患者未再发生心肌坏死的血栓事件,虽然经胸超声心动图未发现瓣膜血栓,参照日本心脑血管中心提出的冠状动脉栓塞标准,考虑此患者为冠状动脉栓塞所致的急性心肌梗死。
患者中年男性,有高血压、吸烟、高脂血症等危险因素,有典型胸痛发作,心电图ST段拾高,肌钙蛋白I升高,超声心动图见节段性室壁运动异常,冠状动脉造影见血栓性闭塞,根据最新的世界卫生组织急性心肌梗死最新定义,其急性心肌梗死诊断明确。本例患者有年龄、高血压、吸烟、高脂血症等危险因素,有冠状动脉粥样硬化形成的基础,但患者冠状动脉造影见前降支、回旋支及右冠状动脉近中段均未见明显动脉粥样硬化,仅在右冠状动脉远段血栓致完全闭塞。从冠状动脉造影血管解剖特点不符合冠状动脉粥样硬化性心脏病,这类患者往往三支血管非闭塞部位血管段存在动脉粥样斑块。此外,患者近2个月发生2次急性心肌梗死,诱发因素、症状、心电图表现也不符合冠状动脉斑块破裂、侵蚀或冠状动脉痉挛等所致的血栓事件。
本例患者既往瓣膜置换术后,长期口服华法林治疗,但未规律监测INR,入院INR不达标,有血栓形成的基础,虽然患者多次超声心动图检查均未见心室或瓣膜血栓形成,可能与经胸超声心动图敏感性有限有关。行急诊PCI时,血栓抽吸后,若能同时行腔内影像学检查,如光学相干断层扫描(OCT)或血管内超声(IVUS),可为我们鉴别本患者血栓形成机制或发病机制提供更多的信息,但遗憾的是患者未行腔内影像学检查。结合患者短期内2次急性心肌梗死病史,同时患者INR不达标,我们更倾向于冠状动脉栓塞(CE)可能。在后期的抗凝治疗达标后,患者未再发生急性心肌梗死,也支持我们的诊断。
参考文献:
[1] Lacey MJ, Raza S, Rehman H, Puri R, Bhatt DL, Kalra A. Coronary Embolism: A Systematic Review. Cardiovasc Revasc Med. 2020;21(3):367-374.
[2] Kariyanna PT, Ramalanjaona B, Al-Sadawi M, Jayarangaiah A, Hegde S, McFarlane IM. Coronary Embolism and Myocardial Infarction: A Scoping Study. Am J Med Case Rep. 2020;8(2):31-43.
[3] Shibata T, Kawakami S, Noguchi T, et al. Prevalence, Clinical Features, and Prognosis of Acute Myocardial Infarction Attributable to Coronary Artery Embolism. Circulation. 2015;132(4):241-250.
[4] Vahanian A, Beyersdorf F, Praz F, et al. 2021 ESC/EACTS Guidelines for the management of valvular heart disease [published correction appears in Eur Heart J. 2022 Feb 18;:]. Eur Heart J. 2022;43(7):561-632.