——《邓大爷的故事》
2021年1月20日上午,精神的邓大爷热情的和医护人员打招呼,因为今天邓大爷出院了。回想起10日前邓大爷住院时的模样,真的判若两人,故事还得从头说起。
邓大爷今年78岁,地道的南昌人,2019年12月无明显诱因出现乏力疲劳,右侧*丸睾**肿大,无疼痛红肿,2020-04-10就诊于江西省中西医结合医院,住院期间行右侧*丸睾**切除术,病理结果:*丸睾**弥漫大B细胞淋巴瘤,(*丸睾**病理:CD20(+),CD79a(+),CD30(-),CD3(-),CD10(-),Bcl-2(+),Bcl-6(-),Mum-1(+),ALK(-),CyclinD-1(-),PLAP(-),OCT4(-),SALL4(-),CD117(-),AFP(-),CK(-),CK7(-),a-inhibin(-),CK19(-),D2-40(-),Vimentin(+),Desmin(-),LCA(-),ki-67约85%(+)。因全身唯一病灶被切除,邓大爷初起拒绝化疗,可好景不长,2020年10月起邓大爷再次出现疲劳乏力,伴腰背部疼痛,呈进行性加重,痛的难以挺直身躯,体重也下降了不少。
2020年10月中旬邓大爷在家人的陪同下来我科就诊,全腹部增强CT提示:右侧*丸睾**切除术后复查:1.腹膜后(胰头后下方)、双侧肾上腺区团块状异常强化影。2.肝左内叶上段小囊肿,双肾小囊肿,较前相仿。3.右侧腹股沟前方、皮下条索、小片影,境界不清,较前减小,拟为术后改变。4.右下腹腔少许钙化淋巴结,较前相仿。因病情危急,考虑邓大爷高龄、体能差、窦性心动过缓(平均心率50次/分)心脏功能差等情况,经讨论于2020-10-24起第一次行减剂量方案R-miniCHOP(利妥昔单抗700mg d0、环磷酰胺700mg d1、多柔比星40mg d1、长春瑞滨20mg d1、地塞米松10mg d1-5)方案。第一次化疗后评估病情,腹腔瘤体缩小了2/3,取得了很好的治疗效果,可邓大爷心脏却亮起了红灯,经过了积极护心等支持治疗后,大爷心脏功能有所恢复。遂于2020-11-19、2020-12-10行2次R-miniCOP方案(去除了具有心*毒脏**性的多柔比星),三次化疗结束后予评估病情,提示腹腔包块明显缩小,淋巴瘤病情有所好转(见图1至4)。
可是邓大爷却总提不起劲,像打了霜的茄子。精神软,全身乏力,口苦口干,夜间冷汗出,汗出湿衣,静息时无胸闷心慌,一活动就气喘胸闷心慌,就连平路走或爬个2楼都大喘粗气,食欲不振,夜尿频数,大便溏结不调,状态似乎回到了治疗前。我们予仔细体格检查后,发现邓大爷的心率明显偏慢,大概45次/分左右,律不齐,可及早搏频发,测量血压95/48mmHg(较基础值明显偏低),舌质暗淡,苔白,脉细偏涩不受按。
辅助检查:动态心电图示:1.窦性心动过缓,时呈窦房游走节律;2.频发房性早搏,偶见未下传,部分伴完全性左束支传导阻滞(3相阻滞),时呈二联律、三联律,短阵房速;3.偶发室性早搏,可见成对;4.交界性逸搏;5.部分时间ST段改变;6.心率变异性明显增高。心脏彩超:1.左心增大,二尖瓣微量反流;2.左室舒张功能减退;3.主动脉弹性降低,主动脉瓣轻度钙化并微少量反流。胸部CT:双肺CT平扫未见明显异常。主动脉、冠脉粥样硬化表现。肝内小囊性灶。

图1 化疗前腹腔瘤块

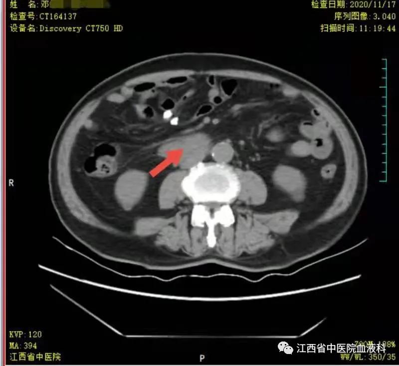
图2 第一次化疗后瘤块

图3 第二次化疗后瘤块

图3 第二次化疗后瘤块
经过讨论,目前当务之急应当予顾护心脏治疗为主,化疗暂缓。经过详细的望闻问切,四诊合参,中医辨病属祖国医学“心悸病”范畴,辨证为“心阳不振,心失所养证”。病性在本为虚,病位主在心、脾、肾,患者年老年高龄阳气不足,加之化疗药毒伤正,更耗损心阳,阳损及阴,精血不生,心失所养,故见疲劳乏力、动则胸闷心慌气喘、夜寐冷汗出等症。
经过讨论,目前当务之急应当予顾护心脏治疗为主,化疗暂缓。经过详细的望闻问切,四诊合参,中医辨病属祖国医学“心悸病”范畴,辨证为“心阳不振,心失所养证”。病性在本为虚,病位主在心、脾、肾,患者年老年高龄阳气不足,加之化疗药毒伤正,更耗损心阳,阳损及阴,精血不生,心失所养,故见疲劳乏力、动则胸闷心慌气喘、夜寐冷汗出等症。
对邓大爷的病情深刻、精准剖析后,我们辨证施治,治则予补中益气,补血养心为主,方选补中益气汤加减。并辅以本科中医特色外治法中药熏药治疗、穴位贴敷等治疗,穴选心腧、肺俞、脾腧、肾腧、足三里、神门、内关、至阳等穴以提高心、脾、肾脏腑阳气机能。经过中西医结合治疗一疗程,标本兼顾,邓大爷的心率提升至55次/分,血压恢复至120/65mmHg,心功能明显好转,头晕乏力、胸闷心悸等症状也一一改善,邓大爷脸上再次露出会心的笑容,也为下次化疗做好准备。
功能明显下降,药物代谢和清除能力下降,在体内的毒性风险相应增加,尤其是合并有脏器功能不全的老年患者,脏器的毒副作用会明显增加。那么,如何为老年患者的健康保驾护航呢?
中医药可以堪当使命!中医药,具有悠久历史传统和独特理论及技术方法的医药学体系,反映了中华民族对生命、健康和疾病的认识。中医学以阴阳五行作为理论基础,将人体看成是气、形、神的统一体,通过望、闻、问、切,四诊合参的方法,探求病因、病性、病位、分析病机及人体内脏腑、经络、卫气营血的变化、判断邪正消长,归纳出证型,以辨证论治原则,制定治法,使用中药、艾灸、针灸、推拿、按摩、拔罐、气功、食疗等多种治疗手段,使人体达到阴阳调和而康复。
中医药一方面在于协助恢复人体的阴阳平衡,另一方面当必须使用药物来减缓疾病恶化时,能固护正气,防止邪去正伤,提高患者生命与生活的品质。结合血液专科特点,本科常规予西医药治疗同时,因时、因地、因人制宜,以人为本,辨证施治,灵活运用中医药及专科特色外治法,发挥中医药特色优势,保障人民群众身体健康,中医药在行动!
专家介绍

曾英坚 :主任中医师,博士生导师。具有丰富的西医临床、中医临证及中西医结合诊疗经验。擅长恶性血液病、肿瘤化疗后的中医调治及不能耐受化疗恶性血液病、肿瘤的中医治疗;擅长中西医综合治疗难治性免疫性血小板减少症、白细胞减少、贫血、过敏性紫癜、难治性再生障碍性贫血;擅长中医药联合个体化减毒增效化疗方案、去甲基化方案、最新医学技术及转化医学方案综合治疗骨髓增生异常综合征(MDS)、白血病、骨髓瘤、淋巴瘤和老年恶性血液病。目前中西医结合诊疗血液疾病的技术水平处于省内领先及国内先进水平。
还擅长糖尿病、甲状腺疾病、更年期综合征以及高脂血症、高尿酸血症、头晕乏力、心慌失眠、抑郁心烦、自汗盗汗、手足心汗、畏寒燥热、月经不调、口苦口干、胃肠功能紊乱、免疫力下降等内分泌失调性疾病的中医调治和中医疑难杂病的治疗。
学术任职及荣誉:中华中医药学会血液病分会青年副主任委员,中华医学会血液病分会第十一届委员会中西医整合医学学组委员,亚太医学生物免疫学会血液学分会常务理事,中国民族医药学会血液病分会常务理事,中国康复医学会血液康复专业委员会委员,中国中西医结合学会血液病专业委员会委员,江西省中医药学会血液病分会主任委员,江西省研究型医院学会中西医结合血液病分会主任委员,江西省中医药学会中医药适宜技术推广分会副主任委员。全国中西医结合骨髓增生异常综合征(MDS)、白血病、淋巴瘤、骨髓瘤疾病诊疗专家组专家成员,全国中西医结合血液病中青年专家,全国第四批优秀中医临床人才,江西省首批中医药中青年骨干人才,获江西省委组织部、省人社厅、省卫健委抗疫“记大功”奖励。
坐诊时间:总院门诊:周一、周四上午,周三下午;体检中心诊后专家门诊:周五上午;红谷滩国医堂:周一下午

吴敏,医学硕士,主治中医师,中华中医药学会血液病分会青年委员,中国民族医药学会血液病分会理事,江西省研究型医院学会血液病分会青年委员,江西省抗癌协会淋巴瘤专业委员会青年委员等。
擅长中西医结合诊治血液肿瘤如白血病、骨髓增生异常综合征、淋巴瘤、多发性骨髓瘤等;贫血性疾病如再生障碍性贫血、缺铁性贫血、巨幼细胞性贫血等;出血与血栓性疾病如血小板减少症、血友病等及溶血性疾病等各类血液疾病;还擅治糖尿病及急、慢性并发症、甲状腺功能减退、亢进、代谢综合征、痛风等各类内分泌代谢疾病。