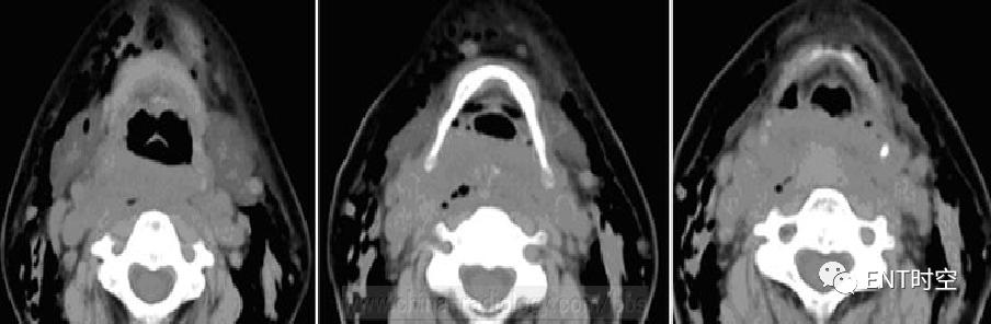
一、咽后壁脓肿
女性,54岁,误食猪骨头3日、加重伴颈部肿痛2天。

(一)影像所见:
平扫示咽喉后间隙及椎前间隙增、可见弥漫性肿胀影,病变区边界欠清,肿胀区内可见多发点状气体影。病变范围累及双侧咽旁软组织。矢状重建示咽后壁明显增厚。
(二)诊断:
咽后壁脓肿手术后确诊患者皮下气肿范围为上至双侧颌下区,下至胸骨下平面,双侧至锁骨中线。全麻成功后支撑喉镜下见白色梭形猪骨横行卡于左侧梨状窝处。
(三)鉴别诊断:
1.下咽癌 2.淋巴瘤
(四)讨论:
咽后及咽旁脓肿系咽旁间隙的化脓性感染,早期为蜂窝织炎,随后发展而形成脓肿。致病菌以溶血性链球菌最为多见。其次是金黄色葡萄球菌、肺炎双球菌等。导致咽旁及咽后脓肿的途径较多,主要有:
1.邻近器官或组织化脓性炎症扩散
2.经血液或淋巴系感染
3.医源性、外伤或异物也可引起本病
(五)临床表现
根据感染的来源、脓肿的位置不一,患者的症状和体症也有所不同,常有发热、寒战,呈弛张热,可达39~40度,同时有精神萎靡、食欲不振及颈痛。
(六)讨论:
CT诊断:影像检查首选,能够诊断患者是否有脓肿,并可与颈部其他病变相鉴别。同时还能区分不同层面是否有分隔及液体积聚,这些是化脓性感染的特征表现。CT表现为稍低密度,与周围组织界限不清,并有周围软组织的肿胀,部分脓肿腔内可见气体影。
1、与下咽癌的鉴别:
下咽癌显示一侧披裂会厌壁增厚,梨状隐窝呈环状狭窄,甚至闭塞,肿瘤有一定的破骨作用,双侧颈部可见肿大的淋巴结。咽后壁及咽后区肿瘤可表现为咽后间隙增宽,肿瘤范围不如炎症弥散,且没有气体影,结合临床病史不难诊断
2、与淋巴瘤的鉴别:
病变表现为软组织样多发结节密度影,常有身体其他部位的淋巴结肿大
二、腺样体肥大
男,14岁,鼻塞,夜间打鼾、张口呼吸10年。
CT平扫:

CT增强:

(一)影像所见:CT平扫鼻咽顶后壁可见软组织密度影,肿块几乎占满整个咽腔、并部分向双侧鼻腔蔓延,平扫呈等密度,增强扫描病变呈轻度强化。骨质未见明显破坏(二)病理诊断:(鼻咽部)腺样体淋巴组织增生伴粘膜慢性炎(三)鉴别诊断: 1.鼻咽癌; 2.淋巴瘤
(四)讨论:咽黏膜下有丰富的淋巴组织,部分为弥漫性,部分形成淋巴小结,特别发育处形成扁桃体,位于咽顶部扁桃体,称为咽扁桃体、也称腺样体。出生时即存在,在婴幼儿较发达, 6岁时达最大程度,10后逐渐退化。如果持续增大则为腺样体肥大。有文献认为腺样体肥大与炎症密切相关(五)临床表现:腺样体肥大临床及病理呈慢性发展过程,早期往往没有明显症状,或仅有轻度症状而不被家长重视,一旦症状较重明显而就诊时病情多较严重。主要症状表现为鼻咽腔阻塞所致,临床表现为鼻通气不畅,呼吸困难,张口呼吸,睡眠中打鼾,睡眠呼吸暂停,其次为听力减退、耳鸣、流涕等(六)CT主要表现:Ⅰ型,单纯型,仅表现为鼻咽顶后壁增厚,形成肿块,前缘平直或稍凹陷,鼻咽腔变形、狭窄,上气道变窄。Ⅱ型,在Ⅰ型的基础上并发鼻窦炎。Ⅲ型,Ⅰ型并发分泌性中耳炎。 (七)与鼻咽癌的鉴别: 常发生于成人,儿童少见,CT表现为鼻咽腔肿块边缘呈弧形外突,且不规则,咽旁间隙模糊变窄及颅底骨质破坏 (八)与鼻咽淋巴瘤的鉴别: 成人或儿童皆可患病,常有身体其他部位的淋巴结肿大,CT表现弥漫性肿块,增强扫描肿块明显强化
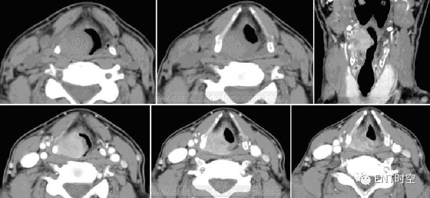
三、咽喉异物
误咽金属异物后咽痛、吞咽困难7天。

(一)CT所见:
左侧颈动脉鞘前区及左侧杓横肌区可见一条状高密度异物影,异物周围可见软组织肿胀,呈稍低密度,边界不清。左侧梨状隐窝闭塞并可见软组织突入喉前庭,食管走行区可见管状高密度胃管影
(二)诊断:
左侧喉咽部及杓横肌左侧异物伴感染(有明确病史并经手术确诊)
(三)讨论:
咽喉部异物为门诊常见病,尤其是沿海地区,大部分异物为鱼刺。异物发生部位多在口咽部、喉咽部,鼻咽部少见。喉咽部异物临床症状明显,多不易漏诊、误诊。口咽部异常临床症状有时不典型,虽大部分异物能及时发现、取出,但漏诊率比其他部位高
(四)临床症状表现:
临床主要以声嘶、喘鸣、呼吸困难为主要临床症状
(五)CT特点:
对于不透光的物质,临床一般首选X线,对于阴性物质,一般可行纤维支气管镜进行检查。CT检查,尤其是CT多平面重建能够确定病变的位置,与周围的组织关系,及周围软组织的出血、水肿等。对于临床治疗及手术方式起到指导作用。对于阴性物质,可以通过组织的移位、组织的水肿及出血等征象间接判定
四、喉外伤
男,29岁,颈部外伤伴声嘶4天。

(一)影像所见:
咽喉外伤后CT平扫示喉区环状软骨线状骨折,并轻度分离。环状软骨右侧向后轻度移位,其周围软组织肿胀,致喉腔受压变扁
(二)诊断:
1、喉外伤并喉腔血肿;
2、环状软骨骨折;
3、环杓关节脱位。(临床诊断)
(四)讨论:
咽喉外伤包括闭合性损伤和开放性损伤,近年来其发病率日渐增多。严重损伤可致死亡或日后发生严重后遗症。开放性损伤可通过手术探查了解咽喉及周围组织的损伤情况。闭合性损伤包括挫伤、软骨骨折和脱位。对于闭合性损伤,CT一般作为首选检查
(五)临床表现主要为:
声嘶、喘鸣、吞咽困难是咽喉部挫伤的主要症状,咯血、皮下气肿及喉返神经麻痹是喉内结构挫伤的可靠依据
(六)CT表现:
CT扫描能够清楚显示颈部筋膜间隙、颈动脉鞘、气管、食管等组织结构,能准确定位喉、气管损伤的位置、程度和类型。对于显示软组织肿胀、皮下和组织间隙气肿有非常好的效果。对于单纯性喉外伤的显示也有独到的作用。
- 轻度:主要表现为喉粘膜的水肿,微小血肿,微小的喉粘膜撕裂伤,无喉软骨骨折。
- 中度:单纯喉软骨骨折或环杓关节脱位、喉软骨无错位。
- 重度:喉软骨错位骨折;声带、室带或喉粘膜重度撕脱;并伴有气管、食管外伤。
五、喉癌
男性,47岁,声嘶一年余。


(一)CT扫描:
示声门平面右侧声带可见软组织密度影,病变边界清楚,形态尚规则,病变部分突入声门腔,致声门腔局限性狭窄,平扫呈等密度,增强扫描病变轻度强化。骨窗示甲状软骨及环状软骨骨质未见明显破坏。
(二)诊断:
(喉腔)中-低分化鳞癌,侵及甲状软骨表层。(病理确诊)
(三)鉴别诊断:
1.声带息肉。 2.喉乳头状瘤。
(四)讨论:
喉癌为耳鼻喉科常见的恶性肿瘤之一,大多数在50~70岁之间男性。临床常见症状为声嘶,病理上95~98%为鳞状细胞癌。肿瘤按部位分为声门上型、声门型、声门下型及跨声门型。其中声门型最常见。
(五)CT诊断要点:
病灶依据发生的部位表现为喉壁弥漫性增厚或局部肿块状、结节状隆起,突入喉腔部分表面不光整或呈分叶状、病灶基底部欠清楚。增强扫描病灶中等度强化。肿瘤以声带增厚、内缘平直或呈波浪状表现时,肿瘤不强化或轻度强化,可能与声带血供较少有关。颈部淋巴结转移对确定肿瘤的良恶性具有诊断价值。
(六)与声带息肉的鉴别:
发生在声带的前、中1/3,常为单发结节,其CT图像上的密度相对较低而且局限,但有时与声门癌不易鉴别。
(七)与喉乳头状瘤的鉴别:
后者多发居多,CT可以显示有广泛喉粘膜浸润,甚至蔓延至咽或气管等处,单发时局限于声带,与早期声门型喉癌不易区别,常依靠年龄和临床表现区分。
六、下咽癌
男性,67岁,咽部异物感半年,咽部阻塞感、声嘶伴呼吸不畅半月,痰中带血4天

(一)CT扫描:示右侧梨状隐窝区可见软组织密度影,病变边界清楚,形态尚规则,平扫呈等密度、增强扫描病变明显强化。病变部分沿喉咽后壁蔓延。骨质未见明显破坏。(二)诊断:(右下咽)中-低分化鳞状细胞癌。(病理确诊) (三)鉴别诊断:1.咽旁脓肿。 2.喉癌 。
(四)CT表现:1.病变密度;平扫呈等或稍低密度,增强扫描病变有明显不均匀强化。2.梨状窝变窄或消失;主要表现在梨状窝前壁、侧壁或后壁明显增厚,杓会厌皱襞增厚,致梨状窝狭窄或消失。3.咽后软组织增厚;咽后壁癌或环后癌主要表现在咽后壁或环后区增厚,杓-椎距或环-椎距明显增宽。4.喉及邻近结构受累;肿瘤向周围侵犯,首先累及喉旁结构,声带受侵、增厚,喉旁间隙增宽、软组织肿块。5.喉软骨破坏。6.颈部淋巴结转移。7.食管及其他结构受累。
(五)与喉癌的鉴别: 因两者发生部位接近,破坏喉软骨,均可发生颈部淋巴结转移。1.发生部位:喉癌发生于喉腔黏膜,而下咽癌则是位于喉的两侧及后方。2.声门移位旋转:声门上区喉癌位于会厌的侧面;而下咽癌则常位于梨状窝,向内侧可侵犯喉旁间隙,一般将声门向对侧推移、声门移位、旋转较明显。声门癌位于声带,声带增厚,声门裂不对称,一般没有声门推移或旋转的表现。3.杓-椎距或环-椎距的改变:声门癌对环-椎距或杓-椎距无明显改变。下咽后壁或环后癌起源于喉的两侧(梨状窝)或后方(下咽后壁或环后壁),可造成环-椎距或杓-椎距增宽。梨状窝癌则易在黏膜下广泛侵犯至咽后壁或通过声门旋转、移位间接造成环-椎距或杓-椎距增宽。4.下咽癌颈部淋巴结转移发生率较高;文献报道超过50%,而喉癌颈部淋巴结转移为25%。 (六)与咽后壁脓肿的鉴别: 多见于小儿,一般有上呼吸道感染史,发热、畏寒、咽痛。由于咽后壁间隙解剖的限制,炎症初期局限于一侧间隙,内侧不通过中线,以后可侵袭对侧,CT平扫呈稍低密度,增强扫描有明显强化,部分脓腔内含有气体。