梗阻性无精症手术保留精子 (男科梗阻性无精症)

梗阻性无精症是困扰着许多男性不育家庭和男科医生的难题之一,特别是精道远端梗阻性无精症,男科医生既往常常是束手无策,大多数患 者只能选择人工辅助生殖技术(即大家所熟知的“试管婴儿”),不仅给众多家庭带去沉重的经济负担,而且还有潜在的生育风险。看到患者的无奈,作为医生我们能做的就是去攻克难题,尽快突破技术障碍,给这个患者的家庭带去希望。

值得高兴的是,精囊镜技术近年来发展迅速,随着男科学的蓬勃前进,男科医生对精道远端的“输精管壶腹-精囊-射精管”这一特殊的“Y”形解剖结构,逐步认识完善,结合精囊镜超细镜体的优势,使得原先的“手术禁区”变得畅通无阻!精道远端梗阻性无精症的病变往往位于上述“Y”形解剖区域,而精囊镜已成为男科医生诊疗精道远端病变的又一利器!

以往精囊镜技术常直接“刺破”而入,存在意外损伤、难以控制“开窗”尺寸、边缘毛糙欠规整、术后再狭窄率较高等劣势;而钬激光与精囊镜技术联合应用,则可以充分利用钬激光损伤浅、易于控制“开窗”尺寸、边缘光整、术后不易闭合、可同期处理结石或其他病损等优势,使男科医生可以“精准”诊疗精道远端梗阻性无精症!也为众多罹患远端精道梗阻性无精症的患者早日实现“爸爸”梦带去新希望!

本篇为大家介绍一例精囊镜联合钬激光治疗精道远端梗阻性无精症患者:

男性梗阻性无精症可以人工授精吗,男科梗阻性无精症

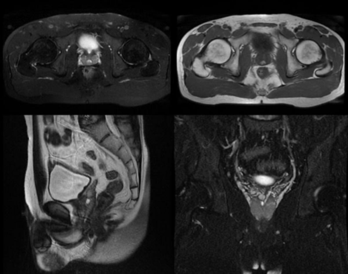
术前核磁共振检查提示:在前列腺后上方中线处有一类似“倒梨形”长T2信号影。

男性梗阻性无精症可以人工授精吗,男科梗阻性无精症

术中可见左侧射精管区域明显囊性扩张。

男性梗阻性无精症可以人工授精吗,男科梗阻性无精症

术中应用精囊镜+钬激光于薄膜处“开窗”(图A-C),可见多量淡黄色稠厚精液涌出(图D)。

男性梗阻性无精症可以人工授精吗,男科梗阻性无精症

术中抽吸出左侧精囊腔“开窗”后涌出的淡黄色稠厚精液,显微镜高倍镜视野下观察可见多量不动精子。

近年来,青岛大学附属医院男性科已常规开展精囊镜联合钬激光技术治疗精道远端梗阻性无精症,短期随访手术疗效尚佳,但仍需积极探索该项技术的长期疗效。无论如何,精囊镜联合钬激光技术的临床应用,为精道远端梗阻性无精症患者提供了一线生育希望,青大附院男科团队愿与众多男性不育患者携手共渡难关,衷心希望每一位患者早日圆“爸爸”梦!

#健康青岛科普##青岛三甲医院##慢病与肿瘤防治#