导语:皮肤主要起源于外胚层及中胚层,是人体最大的器官。由于基因突变、后天环境因素、个人习惯等影响,皮肤结构及功能会发生一系列变化,导致皮肤肿瘤及附属器肿瘤的发生,影响人们的日常生活,更甚者威胁人们的生命安全。深入了解疾病,为早期诊断、治疗,改善患者预后,提高生活质量打下基础。

一、皮肤附属器肿瘤的临床表现通常无特异性,容易漏诊误诊,还需警惕
1、概述
皮肤附属器肿瘤是一组临床少见且复杂的疾病,其临床表现通常无特异性。近年来,由于自然环境的污染、臭氧层破坏致紫外线辐射增加以及人口老龄化等原因,国内外均有报道皮肤附属器肿瘤发病率呈上升趋势。皮肤附属器肿瘤种类繁杂,临床表现多缺乏特异性,临床与病理诊断符合率低,易造成误诊及漏诊。
皮肤附属器肿瘤是一组少见且形态多变的肿瘤,临床表现无特异性,恶性病例侵袭性强、预后差,各型肿瘤的细胞形态之间有时会相互转化,仅通过临床表现和组织病理形态学对其进行诊断、分类十分困难。
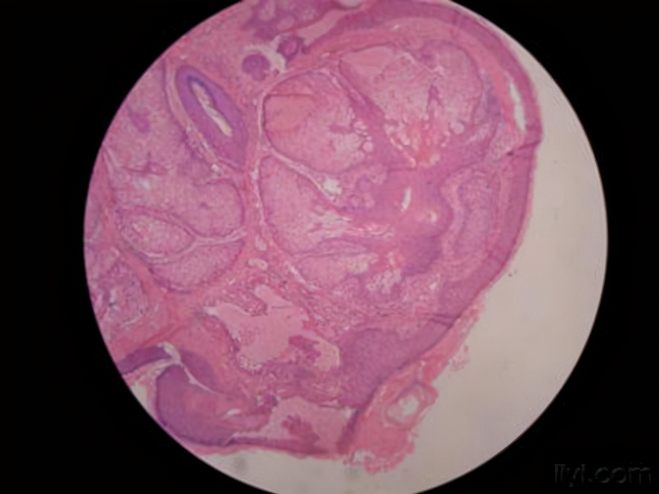
2、临床表现及病理组织
皮肤附属器肿瘤皮损类型原发皮损包含斑片、斑疹、丘疹、斑块、水疱、结节、囊肿,继发性皮损包含结痂、糜烂。外毛根鞘癌表现为肿瘤团块与表皮或毛囊相连,具有侵袭性生长特点,可侵犯至真皮深部甚至皮下。瘤块周边可见体稍小的基底样细胞呈栅栏状排列,中央细胞胞质丰富、透亮,透明细胞PAS染色阳性。

癌巢中央突然角化,即呈外毛根鞘型角化。瘤细胞异型明显,表现不同程度的核异型核分裂。皮脂腺癌组织病理表现为镜下可见肿瘤呈分叶状或乳头状生长,瘤块周边为基底细胞样的嗜碱性细胞,中央的皮脂腺样细胞具有不同程度的分化程度和异型性,细胞核浓染,具有显著的核仁,细胞核浆比增高。
成熟皮脂腺组织EMA阳性,非成熟组织雄激素受体阳性。原发性皮肤黏液癌真皮内见瘤团,为小巢或腺样结构,瘤细胞为多角形基底样细胞,细胞有异型性,间质有明显的黏液灶,彼此由硬化的胶原隔开。汗管样小汗腺癌真皮中下部及皮下组织见多数基底样瘤细胞团块,瘤细胞较小,核深染呈卵圆形,胞浆淡染,胞膜界限不清。
瘤细胞形成巢状、条索状或蝌蚪样肿瘤团块,伴有大量管腔及赛腔样结构形成,部分腔内可见嗜酸性均一物质间质明显增生,可见透明变性和黏液变性。小汗腺汗孔癌镜下可见表皮内成片向真皮延伸的瘤细胞团,瘤细胞索相互吻合。真皮内皮脂腺小叶的改变根据取材年龄有所不同,往往只在青春期可见大量成熟或接近成熟的皮脂腺。
皮脂腺下方可见顶泌汗腺腺体及导管。多发性脂囊瘤病理表现真皮内可见多个囊肿,囊壁由复层鳞状细胞组成,囊壁张力小,常有折叠,无颗粒层,壁内面有一薄层致密的角质层,部分可见毛干断面。囊壁及邻近可见皮脂腺小叶。

汗管瘤真皮层可见多数导管及大小不等的囊样结构,囊壁由双层扁平上皮细胞组成,腔内可见嗜酸性物质,囊肿附有蝌蚪状实性上皮细胞索。导管或囊壁破裂者可见异物巨细胞反应。外阴部位的皮损可见囊肿含有角蛋白,即粟丘疹样汗管瘤。有少部分病例所有瘤细胞均富含糖原,即透明细胞汗管瘤。
二、了解皮肤附属器肿瘤的分类,可分为以下这5种,患者还需尽早诊断
1、外毛根鞘瘤
外毛根鞘瘤,是一种少见的向毛囊分化的良性肿瘤。临床上可分为单发性、多发性、增生性三类。单发性外毛根鞘瘤常为0.5厘米左右的实性丘瘆或结节,多见于面部,常被误诊为寻常抚。多发性外毛根鞘瘤又称多发性错构瘤综合征或Cowden病,是一种常染色体显性遗传性疾病。
临床可见口腔粘膜如口唇、齿龈及舌上也可有多数结节而呈鹅卵石样外观,患者患乳腺癌的几率较髙。常见于60岁以上的中老年女性,90%发生于头皮或颈背部,临床上通常为高出皮面的肿块,大小约1-10厘米。组织病理表现相同点为肿瘤境界清楚,位于真皮上层,呈碗形或小的分叶状,与其上表皮相连续;肿瘤周围细胞呈栅状排列,而中央细胞胞浆透亮。

2、毛母质瘤
毛母质瘤又称malherbe钙化上皮瘤、毛囊漏斗毛母质瘤或毛囊漏斗毛母质囊肿,是一种向毛囊分化的良性肿瘤。在皮肤良性肿瘤中,毛母质瘤约占1.04%,发病年龄呈驼峰状,即好发于<20岁和>40岁年龄阶段。
毛母质瘤常单发,表现为边界清楚的质軔结节,直径为0.5-3㎝,好发部位依次为头面颈部、上肢、躯干、下肢。其典型组织病理学表现为肿瘤由影细胞、嗜碱性细胞和过渡细胞组成。其中影细胞位于瘤团中央,细胞核消失不见,嗜碱性细胞较小,位于瘤团周边,二者之间为过渡细胞。
3、皮脂腺痣
皮脂腺痣是一种向皮脂腺分化的附属器肿瘤,大部分为先天的,偶尔有成人发病。组织病理学表现为表皮角化过度,棘层肥厚,表皮可见疣状增生。婴幼儿期皮疹为黄色的静止性无毛斑块,表面光滑。青春期皮损逐渐增大,表面呈疣状或结节状。老年期若皮损在短期内快速增大或出现破溃等表现,往往提示继发肿瘤可能。

考虑到的经济发展状况,青壮年外出打工,孩子由留守老人抚养,对婴幼儿时期静止的、表面光滑的斑块重视程度不够。真皮内皮脂腺小叶增生,下方可见顶泌汗腺腺体及导管。皮脂腺痣可并发多种肿瘤,故早期诊断、治疗对其预后尤为重要。
4、多发性脂囊瘤
多发性脂囊瘤是一种向皮脂腺分化的常染色显性遗传性疾病。该病主要发生于10多岁男性,临床上表现为肤色或浅黄色的丘疹、结节,实质为大小不一的囊肿,较大者质软,较小者坚实,有时可以排出油脂状物质。可以口服维A酸类药物、抽吸术、冷冻、手术(包括根治性手术、改良性手术、刀片切开刮除术),根据患者的需求及病情制定个体化治疗。
5、汗管瘤
汗管瘤是一种向末端汗管分化的良性肿瘤,女性占比明显髙于男性。主要表现为单发或多发的肤色、红色或棕褐色小丘疹,直径通常约数毫米。临床上通常分为三型:眼睑型、发瘆型、局限型。组织病理学可见真皮层内有大小不等的囊样结构,囊壁由双层扁平上皮细胞组成,腔内可见嗜酸性物质,囊肿附有蝌蚪状实性上皮细胞索。

本病发展较为缓慢,最常见部位为眼睑型,多数误诊为扁平疣、扁平苔藓等。汗管瘤属良性病变,若无美容需求,无需治疗,否则可采取二氧化碳激光换肤、磨皮、切除术、刮除术以及冷冻术治疗,与扁平抚、扁平苔藓等疾病治疗方案截然不同。故更深入认识该病,降低误诊率,对治疗方案制定尤为重要。
结语:原发性皮肤黏液癌可见真皮内见瘤团,为小巢或腺样结构,瘤细胞为多角形基底样细胞,细胞有异型性,间质有明显的黏液灶,彼此由硬化的胶原隔开。但原发性皮肤黏液癌与其他器官转移的继发性皮肤黏液癌在组织病理上无法区分,这提示我们除完善组织病理学、免疫组织化学外,系统检查也很必要。