凌晨三点,诊室里已经没有了病人,急诊走廊里时不时传来孩子的哭闹声。
我关上一盏灯,打开电脑,开始研究那些没有情节只有骨与肉的片子。
美小护又忽然飘至我的眼前:“你看见新闻了吗?云南有一对母子因为禽流感都去世了,H7N9太可怕了!”
我已经习惯了美小护天生爱八卦的性格:“护士上班不给带手机,你知道不知道?明天我就告诉护士长!”。
医院有规定,除了护士长之外,所有的护士工作期间禁止接触手机,如有发现必定严惩。就如同规定医生上班期间,不准看报纸一般。虽然美小护知道我只不过是吓唬她而已,依旧辩解道:“我哪里有看手机,只是刚才在输液室里的电视上看见的!”

因为输液室里安装有电视,这样输液的患者就可以打发无聊的时间了。虽然领导在输液室安装电视只是为了方便患者,但是作为要替患者更换输液的护士倒是也可以蹭点电视看。
“不要风声鹤唳,H7N9型禽流感,你又不是没有遇见过。还没有到要人心惶惶的地步!”虽然我欣赏美小护的天生善良,但是我也厌烦她的多愁善感!
几个月前,我和美小护搭班......
急诊来了一位62岁的老年男性患者,他因为咳嗽发热三天而就诊。三天前患者受凉后出现阵发性咳嗽,咳中等量黄粘痰,间断发热,峰值39℃,患者在当地诊所以“感冒”输液治疗。
虽然连续输液两日,但是咳嗽咳痰、发热的症状不仅没有缓解,反而持续加重,直到开始出现胸闷气喘才在深夜被子女送进医院。
至今我清晰的记得,当时患者说:“我就是感冒发烧,你给我挂点好药水就可以了!”
当然事情的真相没有如此简单,因为患者当时的呼吸频率很快,而且口唇乌紫!我和美小护刚进将患者送进抢救室,看着患者只有78%的指脉氧,美小护向我投来意味深长的眼神。
美小护在她的眼神里深深的表达了自己的不满:“每次和你搭班,都要在这个时候来重病人!”
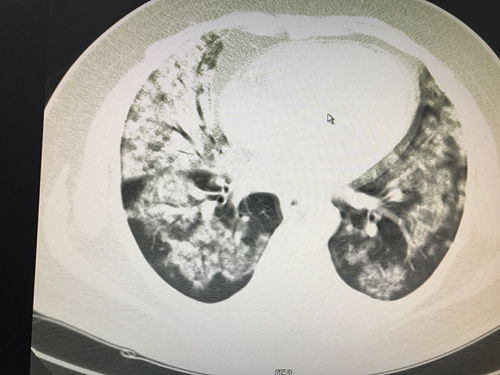
这位62岁的患者病情十分严重,下图便是当时的胸部CT截图:

这是一位重症肺炎的患者,因为严重的肺部感染已经让患者氧合难以维持,必须要通过机械通气和血管活*药性**物来维持基本的生命体征!
气管插管后,患者的指脉氧依旧很低,如果不解决这个问题,患者随时都有可能出现心跳骤停。严重缺氧的心脏,如同没有汽油的发动机一般,如果你非要它继续工作,那么它就会用*工罢**的方式来回应你!
美小护一边用吸引器为患者吸痰,一边惊呼道:“你快过来看看,吸出来的都是粉红色的液体!”
“这是因为患者的两个肺内存在着明显的肺水肿,你以前不是说没见过典型的粉红色泡沫痰吗?现在吸出来的全部都是!”更加要命的不是患者病情危重,而是这个患者在八天前有过活禽接触史!
我必须要将自己掌握的治疗,第一时间告诉美小护,因为要避免被感染:“这个患者八天前曾经去菜市场购买活禽,三天前突然起病,三天来持续加重,现在是重症肺炎,白细胞只有2.0X10^9,CRP超过200mg/L,病毒性肺炎不能排除,要注意防护!”
十几天后这个患者被确诊后H7N9型禽流感,美小护也对此念念不忘:“你说这个病人的病情怎么会发展的这么快?这个病到底会不会人传人?”
其实美小护的疑问是大多数人的疑惑,尤其是最近两三个月以来,在全国范围内已经发生了多起H7N9型禽流感,不过目前依旧呈散发的状态。H7N9型禽流感虽然可怕,但是你完全不必惶惶不可终日。

因为到目前为止还没有明确的证据表明人与人之间可以传播,虽然有报道说母子或者一家人相继发生H7N9型禽流感,但是这完全有可能是接触了共同的东西,而并非是人与人之间相互传染所致。
“那我们到底要怎么办呢?”讨人厌的美小护没完没了的问。
好吧,你只要记住下面几点就可以了:
“1、近期不要接触活禽包括:鸡、鸭、鹅、鸽子、各种鸟等等!
2、如果出现咳嗽、流涕、肌肉酸痛等流感症状,及时就医!
3、如果出现发热,不仅要及时就医,还要完善血细胞分析检查!
4、人与人之间不一定会传染,如果你倒霉的话,天上会过的鸟拉下的大便,也会让你中招!所以,这是一个概率问题!
5、H7N9型禽流感虽然死亡率高,但是并非是必死无疑!
6、多通风、饭前便后要洗手!
7、遇见高热病人,要带口罩,创伤性操作要注意防护!”
我还没有说话,美小护就已经不耐烦了,只留下一句话便离开了,独自将我丢在凌乱的风中:“你也不是什么好鸟!”
让更多人了解更多一点!
我的微信公众号:最后一支多巴胺
图片来自网络,如有侵权,请联系我!