现在肺结节发现的越来越多,有些患者只有一个结节,有些患者不止一个结节。有些肺结节是需要做手术的,如果同一侧有几个肺结节达到了手术标准,可以手术时一并切除。
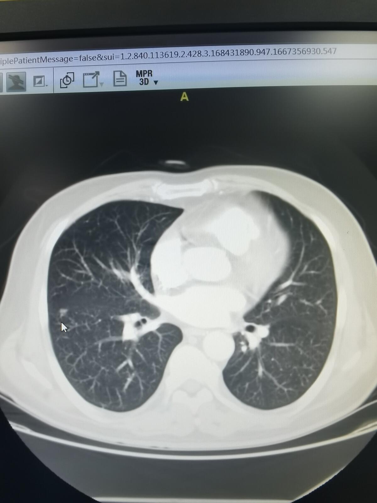
有一位60岁的男士前几天在我这里住院,他在当地医院做体检,发现了肺部有结节,找我做手术。他肺部就是多发的结节,比较大的有两个,一个在右上肺,是一个磨玻璃结节也就做GGO,报告里报的最大直径是15毫米,但是我测量,应该没有那么大。另外一个结节是在右肺下叶,是一个很小的,实性成分很多的结节,另外右肺还有一个特别小的磨玻璃结节。
右上肺那个磨玻璃结节,我觉得早期肺癌的可能性比较大,右下肺那个实性结节,我觉得良恶性均有可能。既然打算做手术,这两个结节可以一并切下来。手术后的病理显示,右上肺的GGO和右下肺的这个实性结节,都是微浸润肺腺癌,属于早期的肺癌。
在此,提醒各位朋友,如果肺内发现了结节,需要找经验丰富的肺外科医生阅片,制定诊疗计划,肺癌在早期,通过手术可以取得非常好的治疗效果,而手术是外科医生来做的,其他非外科科室的医生是不做肺结节手术的。

编辑

编辑

编辑

编辑