姿势不良、久站久坐等可能会引起颈腰椎生理曲度的消失,甚至后凸,但大多数是姿势性的,改变不良生活习惯、适度功能锻炼,逐渐会恢复原有的生理曲度。但少部分后凸是结构性的,多因老化或继发于某些疾病,这部分患者需要进一步行颈椎MRI或CT检查明确。
临床上,医生常给患者说:
“你的腰椎前凸消失了、变直了”
“你的颈椎前凸也没了、变直了或后凸了”

图:中间为正常颈椎的生理弧度,呈前凸
左侧为生理曲度消失,颈椎变直
右侧为颈椎后凸

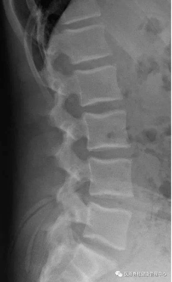
图:腰椎的生理曲度跟颈椎类似,也凸向前
一、那么,颈腰椎生理前凸很重要吗?
1. 先从人类起源讲起

人类进化后,逐渐站起来了

随着进化,
原始人的头逐渐抬起来了,也就是“抬头挺胸”走路
脊柱也逐渐呈S形了
因为手不再用于走路了,所以上肢比下肢逐渐短了
行走 --- 是人类进化的一大进步
脊柱S形 --- 是适应环境的身体变化

人比猴或猿先进,是因为在所有物种中,只有人类保持骨盆前凸和腰椎前凸

因此,从进化角度,
良好的腰椎前凸,对姿势、行走都很重要
2. 人出生后,脊柱如何形成S形呢?

刚出生时,脊柱是没有弯度的,呈大大的“C”形
出生后3个月,婴儿会抬头,颈椎前凸才逐渐形成
6个月后,逐渐会坐起,脊柱出现胸椎后凸
1岁后,逐渐会走路,脊柱出现腰椎前凸

图:正常人脊柱
脊柱像竹子一样一节一节的,前面看脊柱是直直的
然而, 侧面观,则呈“S”形
常形容美女身材好,前凸后翘呈S形就是从这里来的

图:S形的脊柱

脊柱就是身体的大梁,而没有大梁就无法撑起身体这个“房子”;
脊柱也好比一颗树的树干,没有这个树干,其枝叶将会没有支撑
颈椎支撑头部的重量,也是脊柱最灵活的一部分;而腰椎需要支撑上半身的重量,活动度虽然没有颈椎那么大,但是其承受的压力远高于颈椎。

但随着生活方式的改变,
越来越多的人伏案久坐、久站、低头看手机、电脑
却少了抬头看天空的时间
逐渐,人类好不容易站起来的良好姿势却处于危险的边缘


各种不良姿势出现了
二、颈腰椎生理曲度消失会引起那些问题?
长时间姿势不良或久站久坐、低头玩手机
会引起颈腰椎生理曲度的消失
可能会出现各种 颈腰痛不适
如长时间不良度曲
会加重颈腰椎的老化
出现颈椎病、腰椎间盘突出的风险增高

三、如何恢复颈腰椎生理前凸?
后凸,大多数是姿势性的, 通过改变不良生活习惯,功能锻炼,逐渐会恢复原有正常的生理曲度 。
但少部分后凸不是姿势性的,而是结构性的,大多数因为老化或继发于某些疾病,这部分需要进一步行颈椎MRI或CT检查明确。
然而,对于缓解颈腰痛前提是
纠正你的站姿和坐姿

像军人一样,保持良好的站姿和坐姿

