
神经介入在线原创文章,如需转载请留言

作者:闫宏亮,宋立刚,马宁
单位:首都医科大学附属北京天坛医院
本
周我们汇报一例左大脑中动脉支架术后再狭窄采用血管内介入治疗过程,具体如下。

病例详情
患者,女性,61岁,因“症状性左大脑中动脉狭窄支架术后8个月,言语不利并右侧肢体活动不利2月余。”入院。
患者于2017年9月出现发作性右侧肢体无力,持续1分钟后缓解,短期内发作频繁,予规范双抗及强化他汀治疗仍有发作。
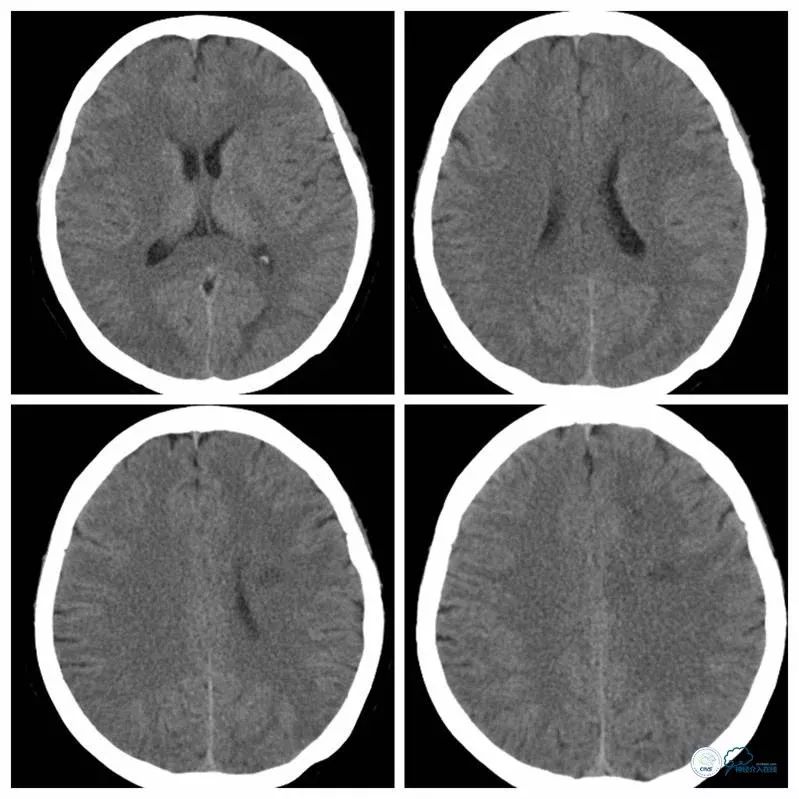
术前CT:左侧脑室旁梗死(图1)。

图1
此期间血栓弹力图:AA:100% ADP:22.3%。
2017-11-20行左侧大脑中动脉M1段支架植入术(Gateway 2.0×15mm,Wingspan 3.0×20mm)(图2)。

图2
术后坚持规范药物治疗,未有症状反复。
2月余前(2018-3-30)出现言语不利并右侧肢体无力,右上肢持物不能,右下肢站立及行走困难,就诊于我院。
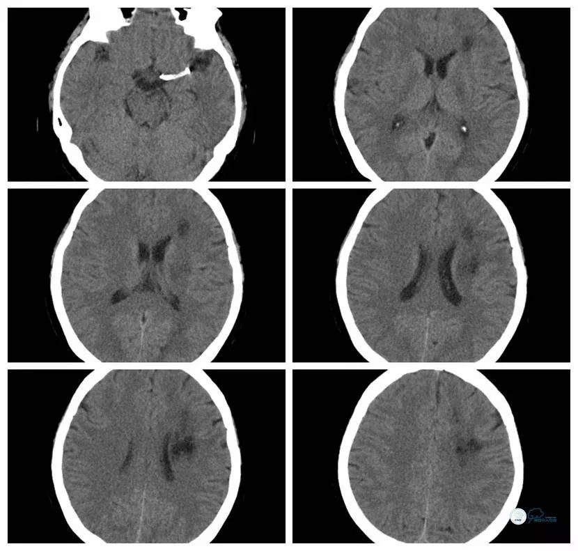
CT(2018-3-30):左侧脑室旁多发脑梗死,梗死面积较前增大(图3)。

图3
CTA+CTP(2018-4-4):左大脑中动脉支架术后,远端血管分支较对侧减少。左侧半球低灌注,间接提示左大脑中动脉支架术后再狭窄可能(图4,5)。

图4

图5
头颅MRI(2018-4-16):左侧脑室旁新近梗死(图6)。

图6
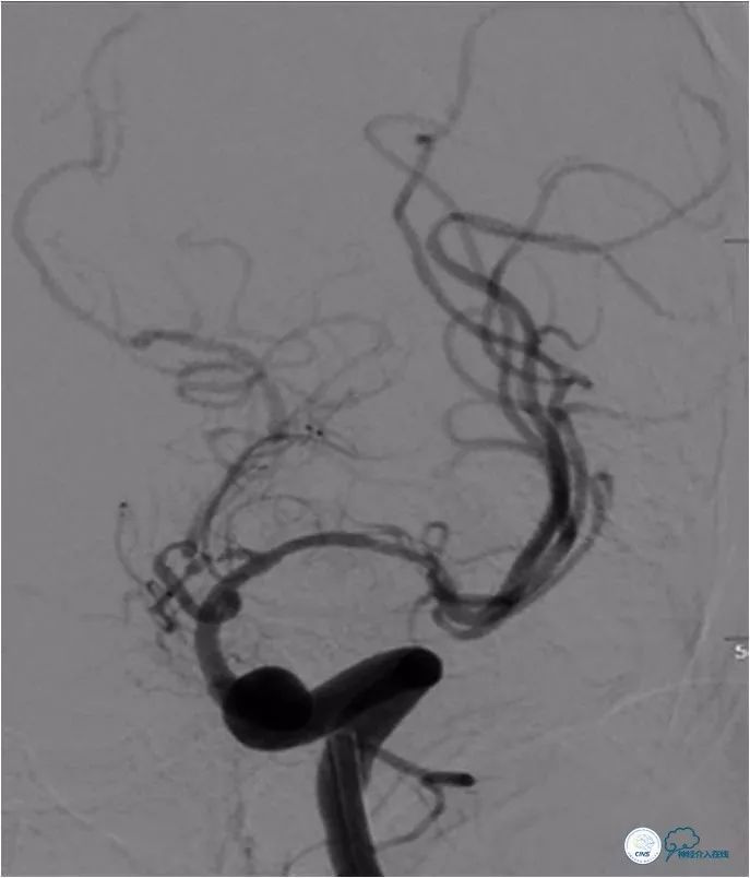
DSA(2018-4-12):左大脑中动脉支架术后再狭窄(图7)。

图7
患者行康复治疗2个月后为进一步治疗再次收入院。
此次住院期间血栓弹力图:AA:100% ADP:18.4%。
既往史:高血压病病史1年。
入院神经系统查体:神清,言语不流利,运动性失语,右上肢肌力0级,右下肢近端4级,远端3级,右侧肢体肌张力增高,右侧巴氏征阳性。
化验检查:血栓弹力图:AA:100% ADP:12.4%
入院后继续给予双抗血小板(拜阿司匹林100mg 1/日;停用波立维,更换为西洛他唑片100mg 2/日)、调脂稳斑(立普妥40mg 1/日)等治疗。
术前TCD:左大脑中动脉M1段峰值流速大于300cm/S。
术前讨论
1.患者支架术后症状反复,多个影像学检查提示支架术后再狭窄,有再次干预治疗指征。
2.治疗策略:拟单行球囊扩张。
3.相关风险:穿支闭塞、扩张后血栓形成、过度灌注、分支栓塞等。
治疗过程简述
全麻下右股动脉入路,6F导引导管至左侧颈内动脉C2段,路径图下送入Pilot 50(0.014”,190cm)微导丝与Echelon-10微导管同轴通过狭窄段。微导管造影提示位于真腔内(图8)。

图8
交换Transend微导丝(0.014”,300cm),送入Gateway球囊(2.0mm×15mm)扩张狭窄段(图9)。

图9
其后造影提示管腔扩张良好,远端分支显影较前明显改善(图10)。

图10
予替罗非班(动脉内6ml,静脉推注6ml并持续静脉泵入6ml/h)。观察10分钟后,再次造影提示狭窄段未见明显弹性扩缩(图11,12)。

图11

图12
全麻苏醒后查体同术前。
术后立即复查头CT未见出血。
术后TCD: 左大脑中动脉M1段峰值流速240cm/S。
术后CTA及CTP∶左大脑中动脉球囊扩张术后,远端血管分支及血流灌注较前片相比明显改善(图13,14)。

图13

图14
讨论
1.患者术后再狭窄,不除外与抗血小板药物抵抗有关,故将波立维更换为了西洛他唑,术中及术后还使用了替罗非班,亦是预防急性血栓形成。
2.颅内支架再狭窄的预测因素还未完全明了,仍有待进一步观察研究。
3.对于支架术后再狭窄,如单行球囊扩张达到血运重建的目的,可不考虑再次置入支架。
4.本例远期疗效还有待于进一步随访观察。
欢迎大家在下方留言区讨论关于本病例的看法~
