解剖
- 位于两上颌骨额突之间
- 构成鼻腔上部
- 长方形
- 上端窄、厚,下端宽、薄
- 两面、四缘

鼻骨邻近骨性结构
- 上颌骨额突
- 额骨鼻部
- 鼻中隔
- 泪囊

骨缝
- 鼻颌缝
- 鼻额缝
- 额颌缝
- 鼻骨间缝

概述
- 面部最常见骨折
- 易发生于下1/3
- 伴邻近结构骨折
骨折类型
- 单纯线形
- 粉碎性
- 复合
临床表现
- 疼痛
- 出血
- 变形
- 皮下淤血或气肿
- 压痛
检查方法
X线平片:侧位
HRCT
- 横断面:听眶下线
- 冠状面:鼻骨长轴平行线
- 层厚:1~2mm

鼻骨正常侧位

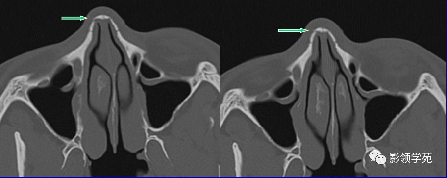
鼻骨横断面HRCT

鼻骨冠状面HRCT
骨折HRCT表现
- 外形
- 骨折线
- 软组织肿胀、积气
- 邻近部位骨折

线性骨折 粉碎骨折

右侧鼻骨线形骨折

鼻骨线形骨折

左侧鼻骨线形骨折

右侧鼻骨骨折

左上颌骨额突骨折


双侧鼻骨骨折

双侧上颌骨额突骨折

双侧鼻骨骨折


鼻中隔骨折
诊断
- 临床
- X线初查
- HRCT可靠
鉴别诊断
- 鼻缝
- 鼻骨孔
- 缝间骨

鼻颌缝

鼻额缝

额颌缝

鼻骨间缝

鼻骨孔

缝间骨