我们的牙齿完完整整的,才能满足正常生活的各项使用,如果牙齿有问题,那么自己就会有很大的不变了,一些朋友可能有这样的经历,就是自己的牙齿突然掉了一小块,这是怎么回事呢?
牙结石掉落
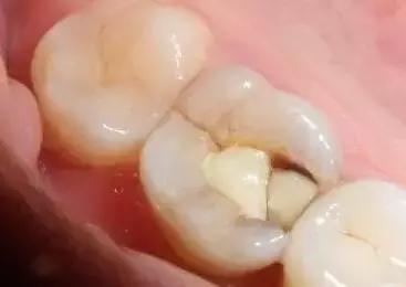
牙齿会产生各种各样的问题,让我们防不胜防,虽然它能够切割和咀嚼馒头、各种肉和菜等很多食物,但其实牙齿也比较脆弱,一些情况下可能会容易发生缺损,比如牙齿根部掉一小块。

牙齿根部掉了一块,可能是牙结石的缘故。牙结石对口腔来说是一种异物,它会不断刺激牙周组织,并且会压迫牙龈,影响血液循环,造成牙周组织的病菌感染,引起牙龈发炎、萎缩,形成牙周袋。很多牙科案例表明,牙结石会对口腔造成极大的危害。
牙釉质脱落
出现牙釉质脱落,最常见的原因是牙齿已经发生了龋坏,但因为没有疼痛的感觉或者慢性疼痛不明显,导致当事人自己没有发现,没有及时处理,于是牙釉质因被腐蚀而脱落。有些人因为服用过四环素类药品,影响了牙齿的结构发育,使牙齿表面变暗、硬度降低,也会出现牙齿成块脱落的现象;如果患有“遗传性乳光牙本质”,也会使牙齿结构发生异常,从而变得疏松而容易剥落。

咬到硬物也可能出现牙釉质脱落,特别是有些死髓牙,因为牙神经已经断裂、牙齿失去了活力而变脆,如果咬到硬物,使硬力集中在一颗牙上,很容易把牙“崩”掉一块儿。因此,口腔科医生通常会建议牙病患者,最好在治疗后做个牙套把死髓牙保护起来。平时不要用牙齿去嗑咬硬物,如酒瓶盖、嗑瓜子等。
牙齿缺损
牙齿缺损是牙齿掉块的重要因素。牙齿里面有牙髓,当牙被磕掉一块后,牙齿表面的牙釉质受伤,牙齿缺口比较接近牙髓,就很容易伤到牙髓的血管和神经,最终让整颗牙受损。所以牙齿被磕到后,要及时就医,通过修补,可以让牙齿恢复之前的模样。

牙齿缺损可以使用全瓷牙来修复,全瓷牙有普通的全瓷,也有热压的铸瓷、玻璃渗透的陶瓷和氧化锆的全瓷牙,各有优劣。全瓷牙的“进化”就在于强度的不断加强,以适应更多需求。在常用全瓷牙中,氧化锆全瓷牙的强度最高,其次是玻璃渗透陶瓷、铸瓷牙、普通全瓷牙;价格也按强度顺序,氧化锆全瓷牙最贵,普通全瓷牙最便宜。
综上所述,牙齿掉了一小块可能跟许多因素都是相关的,情况不同,也难以有统一的方式,只有确定了问题之后,才能施行相应的对策。
如果觉得这篇文章不错,就请收藏或分享给好友吧。添加雅悦齿科为好友,学习更多爱牙护齿科学方法。公众号:yyck2001