
近期,我院关节运动医学一科在省内领先开展关节镜下陈旧性肩关节脱位修复手术,该技术水平处于全国前列。

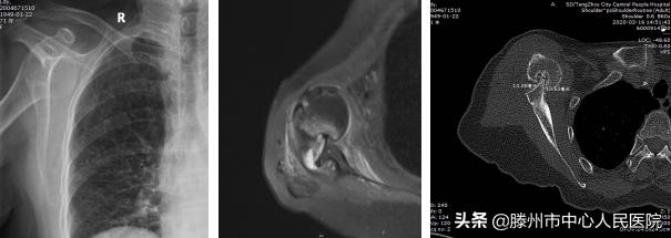
患者术前检查:右肩关节前脱位,Hill-Sachs损伤,前盂唇损伤,二头肌腱长头腱脱位,右肩前脱位并嵌顿且存

患者术后检查:肩关节复位良好
患者老年女性,71岁,40余天前摔伤后出现右肩关节疼痛、活动受限,于我市某医院就诊,经过保守治疗无效,严重影响生活质量。患者于3月13日来我院行右肩MRI检查示:右肩关节脱位、右肩袖损伤、右肩诸肌损伤、右肩关节盂唇损伤、右肩关节积液,收入院。入院诊断为“1、右肩关节陈旧性前脱位 ;2、右肩关节Hill-Sachs 损伤;3、右肩关节Bankart损伤;4、右肩冈上肌腱损伤 ;5、右肩肱二头肌长头腱脱位。” 完善术前检查后,为该患者在全麻下进行“右肩关节镜松解+肩关节脱位复位+冈上肌腱缝合固定+Bankart损伤修复+remplissage手术”,手术过程顺利,术后恢复良好,患者肩关节症状明显改善。

术前患者肩关节功能情况

术后4个月患者肩关节功能情况,患者恢复满意
7月20日,我科戴金良医师在山东省肩关节镜案例沙龙会对于此患者的诊疗进行讲解与汇报。该沙龙会由青岛大学医学院附属医院于腾波院长主持,北医三院崔国庆教授、山大二院刘文广教授、齐鲁医院王呈教授、齐鲁医院青岛院区张亦军教授等8位教授作为点评专家,共三位讲者汇报病例,分别来自齐鲁医院、山东省立医院及我院。我国肩关节外科领军人物,北医三院崔国庆教授对我院汇报的病例给予高度的评价:适应症选择合适,手术难度大,术中操作处理规范,患者恢复良好,充分说明山东肩关节镜水平处于全国前列。青岛大学医学院附属医院于腾波院长认为:该手术难度大,技术要求高,目前省内罕有开展,戴金良医师全镜下操作,术中处理到位,临床效果满意,展示了滕州肩关节镜水平处于省内领先的位置。其他点评专家也给与充分认可。
肩关节镜手术是较为复杂,技术难度较大,近年发展较快的一项关节镜技术,被各医院视为关节镜技术水平的标志。该技术适用于冻结肩、肩袖损伤、bankart损伤、slap损伤、Hill-Sachs损伤、肩峰下撞击、钙化性肌腱炎、肱二头肌肌腱损伤、肩关节游离体、滑膜炎、肩关节脱位等肩部病变的诊断与治疗。相较于传统手术的打开关节腔、出血多、损伤大、易粘连、易导致关节功能严重受限、恢复慢等多种弊端,肩关节镜手术只需在肩部切开几个0.5cm的小切口,就能完成复杂的肩关节疾病和损伤的诊断及治疗,具有损伤小、切口美观、术后关节功能康复快等多种优势。目前该手术技术在国内发展10余年,因其手术条件要求高、操作难度大,目前省内普及程度不高。
此次手术的成功开展,标志着我院关节运动医学科在关节镜技术上前进了一大步,迈进了省内关节微创技术领先行列。今后,我们将继续创新、探索,不断开展新技术,为本地区关节疾病及运动损伤患者提供良好的技术服务。