文/大阳妈妈
身为父母者,最关心的就是和孩子息息相关的事情,升级当父母后,孩子就变成了,父母生活的重心,父母和孩子间牵挂和操心的种子就没有再断过了,因孩子在成长发育的不同阶段状态是不一样的,所以,父母在孩子的不同年龄需要操心的问题也是不一样的,孩子在不同的年龄会向父母抛出不同的难题。
孩子的方方面面都需要父母来操心,父母不光要操心孩子的饮食起居、学习成绩和教育的问题,特别是关于孩子的健康问题,也是需要父母很操心的,尤其是孩子的牙齿方面。

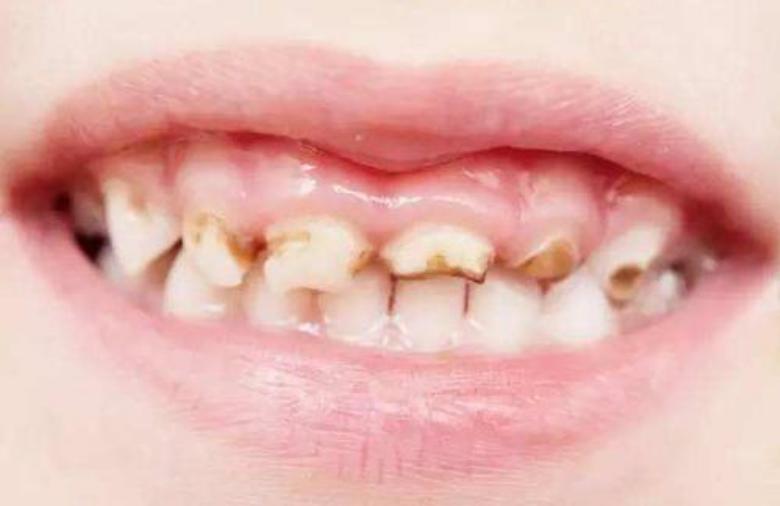
关于孩子的牙齿方面,父母最担心的就是长蛀牙了吧,让不少父母感到惊慌的是,宝宝长蛀牙的年龄真的是越来越提前了,如果父母不注意的话,孩子在牙还没长齐的情况下,宝宝就可能在受蛀牙的困扰了,有一位宝妈家的宝宝就是这样,宝妈在宝宝1岁多一点的时候。
就发现宝宝的牙齿出现了黑黑的东西,宝妈就打算用牙刷给宝宝处理一下,可宝妈发现居然刷不掉,宝妈就变得超担心,开始在想难道宝宝才这么小就有蛀牙了?经过检查后,发现宝宝真的开始有长蛀牙的趋势。

经过询问后,发现和宝宝的饮食习惯,和父母对宝宝的日常口腔护理意识不强而引发的,孩子的牙齿护理真的很重要,孩子的牙齿问题也变得越来越低龄化,有调查显示,我国3岁儿童中一半被龋齿困扰,5岁的就更多了达到了70%多。
由此可见,保护孩子的牙齿也多么的重要,其实,在宝宝的第一颗牙齿出现后,父母就得开始注意牙齿的护理了,父母只有尽早建立帮孩子护理牙齿的一件,才能尽早防止孩子蛀牙的发生。

父母做好这5点,孩子才能拥有健康好牙
1. 按时给孩子清洁牙齿
父母想要孩子拥有健康好牙,就得按时给孩子清洁牙齿,在宝宝没长牙之前,父母就得有护理牙齿意识了,在宝宝喝完奶后,用纱布或棉签蘸取热水,去清洁宝宝的牙龈。
在宝宝开始长牙后,父母就得指导孩子刷牙了,无论是牙刷还是牙膏,父母都要选择适合孩子,父母最好要在旁边指导,以免孩子出现误吃牙膏的情况。

2. 控制孩子甜食的摄入量
父母想要防止孩子长蛀牙,控制孩子甜食的摄入量,也是很重要的,特别是甜食和糖果等这类会腐蚀牙釉质引发蛀牙的食物,另外,在孩子吃完果汁、含糖饮料零食和糕点,最好也漱口和刷牙。
3. 保证孩子营养全面充足
父母想要孩子的牙齿长得坚固,就得保证孩子营养的全面充足,特别是要多摄入蛋白质、钙、磷、维生素A和D等成分丰富的食物,比如牛奶、肉、鱼、豆制品等,也可以让孩子适当摄入像莴苣、海带等含氟元素的食物,能防龋齿。

4. 让孩子养成正确刷牙的习惯
父母要让孩子养成正确刷牙的习惯,刷牙持续的时间和是否刷到位了,也是很重要的,要不孩子就相当于白刷了,并没有起到清洁的效果。

5. 要定期带孩子去检查牙齿
父母要定期带孩子去检查牙齿,这样才能及时了解孩子牙齿的情况,根据发育的具体情况评判出龋齿的风险,这样才能早发现,要干预。

育儿寄语:
孩子的牙齿问题父母一定得上心,不能做糊涂父母,护理意识不能放松,帮你做一个负责任的父母,想了解更多的育儿知识请关注我,如果这篇文章对你有帮助,请分享给更多的人。
你家孩子的牙有困扰吗?
欢迎屏幕下方留言交流
#父母必修课#