
我与大家分享mNGS在呼吸系统疾病临床应用中的阴性报告解读。
一、mNGS阴性结果相关研究及应用进展
mNGS技术不断改变临床实践,目前已广泛用于在呼吸系统感染检测、测序技术也在演进,还出现了诸多专家共识提供专业指导,最近呼吸科专家撰写的专家共识非常实用,如2022年1月发表的《重症社区获得性肺炎患者支气管肺泡灌洗液的宏基因组测序结果临床判读指导原则》和2023年4月发表的《下呼吸道感染宏基因组二代测序报告临床解读路径专家共识》。
先举例一些临床研究。
1、mNGS结果为阴性时,标本阴性预测值高
这项研究入组2019年1月至12月复旦大学中山医院住院患者的1021份标本,包括血液、痰液、肺泡灌洗液、组织和脑脊液等,同时收集常规方法(培养、涂片、血清学抗原抗体等)检测结果,以评估mNGS阴性结果临床价值。
308份mNGS阴性结果,总体阴性率30.17%,阴性样本主要为血液与组织,与培养和涂片相比,mNGS阴性预测值为95.79%(273/285),即当mNGS结果为阴性时,标本阴性预测准确率较高。
问题在于,如果仅观察呼吸道标本的假阴性和真阴性,它们在核酸浓度和序列数据特征上无差异,分析会比较困难。

图:(左)mNGS真阴性和假阴性样本的检测数据;(右)mNGS阴性样本在不同疾病中的分布
2、与传统方法相比,mNGS有较高阴性预测值
该研究为多中心、盲法、前瞻性、概念验证研究,入组2013年10月至2014年12月101位免疫功能低下成年患者,评估mNGS与传统微生物学方法对感染的一线诊断能力,发现101例患者中,有72例mNGS与传统检测方法结果一致。与传统方法相比,mNGS阴性预测值98.4%(64/65),并且比常规微生物学方法检测到更多的临床相关病毒和细菌,临床积极抗感染治疗的病原体涉及牙龈卟啉单胞菌、假单胞菌属、链球菌属、鲍曼不动杆菌。
mNGS有望成为免疫功能低下成年患者微生物学诊断的一线诊断方法。
如果我们坚持使用传统的培养方法,它在一定程度上能接近单次NGS检测的敏感性。
表1:传统方法检测阴性患者, mNGS检出的临床相关细菌和病毒

表2:mNGS与临床相关病毒和细菌传统检测方法的比较

表3:mNGS与临床相关病毒和细菌传统检测方法30天结果的比较

3、急危重症患者BALF,mNGS结果阴性有助于排除感染
该研究入组2020年至2021年郑州大学附属第一医院呼吸重症监护室收治的21位疑似SCAP患者,其中真阴性16例,假阴性5例,以探讨BALF mNGS阴性结果诊断价值。
BALF mNGS真阴性结果患者最终诊断包括:间质性肺病9例,占56.25%,包括结缔组织病3例、隐源性机化性肺炎3例、肺泡蛋白沉积症1例、胺碘酮相关性间质性肺炎1例、免疫检查点*制剂抑**肺炎1例、肿瘤3例、肺栓塞1例、弥漫性肺泡出血1例、肺水肿1例、系统性红斑狼疮1例。
在真阴性病例组中,87.5%患者(14/16)最终停用抗菌药物,12.5%患者(2/16)降阶使用抗菌药物。
假阴性结果中主要漏检病原体为真菌和结核分枝杆菌,建议结合病理结果以及其它临床信息或再次检测mNGS。

图:(左)真阴性患者最终诊断;(右)真阴性患者治疗调整情况
支气管镜采样影响肺部微生物结果
使用mNGS检测病原体的潜力已在许多研究和临床环境中得到证实。然而,mNGS在临床环境中的应用仍然存在局限性。多项研究证据表明,呼吸道并非无菌环境,共生微生物通常存在于健康个体的呼吸道中,这表明在mNGS报告中具有许多读数的微生物并不总是致病病原体。
一项研究对8名无肺部疾病的成年志愿者进行支气管镜检,每位受试者进行七次保护毛刷和双侧支气管肺泡灌洗。经过mNGS检测,发现咽部对于支气管镜采样影响较小,保护性毛刷采样位置不同结果不同:由于人类处于直立状态,受中央气道的重力依赖性影响,病原体会「下行」,口腔-肺迁移微生物指数(口肺菌群相似性、细菌载量和菌群多样性)在隆突附近最高,BALF会获取更多细菌载量,检出微生物以普雷沃菌属、韦荣氏球菌属为主。同时BALF细菌载量、多样性和口肺菌群相似性大于保护性毛刷,表明采样表面积影响大。

图:(上)文章研究设计,采样部位及概念模型;(下)健康人肺部细菌「地形图」
共识推荐:mNGS阴性结果的临床决策
专家共识将一半板块交给了阴性结果的临床决策,但实际上,我们比较少思考阴性结果。

mNGS检测性能和规范报告
目前mNGS检测性能和规范报告检测流程差异大,质量保证不完善,实验室需重视方法建立过程中的性能确认和检测流程中的质量控制;还存在假阴性问题,实验室对各类病原体的检测能力依次为真菌>细菌>DNA 病毒>RNA 病毒,这可能与破壁和RNA病毒的低载量有关,需要开发新技术新方法(如前文所提探针、靶向扩增能解决一部分问题);另外,实验室解读能力有待提高,检出效果不理想;当检出较多假阳性微生物,会干扰准确解读,报告解读能力也存在不足,有时检测到了真正的病原体,但没有依据病例信息做出准确的临床诊断,mNGS需要行业技术、医学、微生物、生物信息学相关学科专家共同参与。
接下来看几个病例:病例1:
68岁老年男性,因「咳嗽伴发热1月」入院。1月前受凉后,咳嗽咳痰,黄脓痰,量多。发热最高体温40度。血常规 WBC 12.93,N 10.85,血气PO2 55mmHg,血沉101,CRP81.8,血常规、炎症指标提示感染;胸部CT提示右肺感染,大部分实变不张。
诊断:重症CAP,急性呼吸衰竭,重症肺炎,高血压,2型糖尿病,脑梗塞。比阿培南+替加环素治疗后病灶仍在进展。

我们等待mNGS结果,这种脓性分泌物的人源基因载量特别高,病原体载量可能被掩盖。第一次mNGS报告了「白板」,我不相信任何病原体都没有,同时进行了平行送检,报告肺炎链球菌尿抗原阳性,符合预判;同时与公司商量使用同样的标本再测一次,经过差异裂解法去人源,检测到嗜热链球菌,在共生微生物群部分,只有3个reads。我认为如果序列数比较少,比对可能会出问题,「种」可能会不精确。

这时停比阿培南+替加环素,予头孢唑林钠 2g q8h。经过11天的治疗,病灶明显吸收,患者带着抗感染方案出院了。

最近詹庆元教授为通信作者编写的专家共识提到了重症社区获得性肺炎(SCAP)的病原体谱。基于这些背景知识,我在上述病例中想到了肺炎链球菌。提示我们当强烈怀疑感染但mNGS是阴性时,就需要想方设法解决问题。

二、mNGS阴性结果可能原因?临床如何解读mNGS阴性结果?
我们需要考虑临床操作怎么进行,mNGS阴性报告的思维逻辑可以参考以下四步走策略。首先需要评估微生态/原始列表是否有意义,尤其呼吸道样本中;其次,是否为真阴性,考虑阴性价值;然后进行送检流程回顾,排除送检因素,查看标本流程等是否存在问题。第四,要认识检测方法学差异。

1、相对阴性结果
首先,我们需要关注微生态。呼吸道样本mNGS检出口腔菌概率较大,一般会放置在「人体微生态列表」中。当某个微生物检出序列数、相对丰度和排名异常升高时,需要提示和独立评估,必须特别重视。例如报告中检出了链球菌,它本来是定植菌,但由于载量特别高而被放在第一位时,就提醒临床大夫要小心致病。(下图)

我们需要熟悉口腔菌、定植菌以及高毒力致病菌,胸水、胸腔积液等样本类型相对无菌,检出口腔菌时一般会放置在「细菌列表」中;同时,我们需要了解临床呼吸道标本或组织标本中哪些容易受到污染,排除采样污染因素外,建议结合样本类型(胸水或胸腔积液>肺组织>肺脓肿穿刺液、感染病灶脓液、心脏瓣膜赘生物>肺泡灌洗液>痰液)、患者症状、涂片或培养结果、影像学等信息综合考量。
另外,建议排查患者是否有牙周炎、拔牙史、鼻窦炎、长期卧床、酗酒等风险因素,这些都会影响对背景菌的判断,如果出现误吸,背景菌可能是致病菌;经皮穿刺肺活检标本或胸腔积液标本检出的皮肤定植微生物,通常不致病,穿刺等操作如检出葡萄球菌,往往需要尽快忽视。(下图)

关于常见下呼吸道定植病毒,许多低载量病毒可以被忽视。
|
病毒 |
解读建议 |
|
单纯疱疹病毒1型 |
• 人群普遍携带,呼吸道分泌物检测出单纯疱疹病毒1型时,多不考虑致病 |
|
• 当患者为免疫功能抑制宿主时,需结合临床表现考虑是否致病。 |
|
|
EB病毒 |
• 几乎在所有成年人中表现为持续终身的无症状携带,成人呼吸道分泌物检测出EB病毒几乎不考虑致病 |
|
• EB病毒血症与淋巴瘤、鼻咽癌、移植后淋巴细胞增殖性疾病等的发生相关。 |
|
|
人疱疹病毒6型 |
• 原发感染在成人中罕见,成人人疱疹病毒6型血清阳性率高达90%,几乎不考虑致病 |
|
• 免疫功能抑制宿主,尤其是移植受者,可能出现人疱疹病毒6型的再激活,导致病毒血症和(或)临床疾病。 |
|
|
人疱疹病毒7型 |
• 超过95%的成人人疱疹病毒7型血清学阳性,几乎不考虑致病 |
|
• 免疫功能抑制宿主,尤其是移植受者易出现病毒的再激活。 |
|
|
• 巨细胞病毒与人疱疹病毒6型、人疱疹病毒7型之前存在相互作用,当免疫功能抑制宿主合并巨细胞病毒感染时,可出现人疱疹病毒6型、人疱疹病毒7型的再活化,而诱发巨细胞病毒感染的病毒综合征以及器官特异性疾病。 |
|
|
细环病毒 |
• 健康成人血液中细环病毒的检出率为70%~90%,目前无细环病毒致病的证据 |
|
• 细环病毒毒株可能引起慢性病毒血症,免疫功能抑制宿主病毒血症负荷增加,与肺移植物慢性功能障碍相关。 |
什么情况下需要调取原始列表?mNGS存在一定漏报比例,对低生物信号微生物,且与阴性对照检出的序列数相当时,实验室可能会考虑不报告,如果我们认为漏报,同时对生信分析缺乏信心,就会要求提供原始数据,并怀疑它们可能是低载量或难以破壁的病原体感染。临床上,根据患者资料仍然高度怀疑感染性疾病、质疑mNGS报告给出的检测结果时,我们必须拿出阴性报告进行解读,可以考虑追踪原始数据列表,结合临床资料在其中查找可能的病原微生物,查看归类为背景菌或定植菌的病原体有没有值得担心的。
免疫抑制宿主是目前呼吸重症患者中常见的群体,面临各种类型病原体感染风险、病原体范围也更广泛,对于有肺炎的患者,建议酌情降低检测阈值。同时不能忽视一些低载量病原体,如果是免疫抑制宿主检查出5个reads的PJP,我们会感到担忧。还需要关注并熟悉这些病原体谱:

图:免疫抑制宿主常见感染病原体
再来看一个病例,男,51岁,务农, 因「确诊肝癌1年,气喘1周,加重3天」入院。1周前咳嗽,少量白色泡沫样痰,5天前患者发热寒战,体温最高37.8℃,咳白色泡沫痰,痰中有血丝,3天前自觉气喘加重。入住介入科。入住RICU时间:2020-10-30。
在这一年间,他反复做过多次化疗和灌注治疗,同时也接受过免疫治疗。分别于2019-11-4、2020-01-13、2020-3-16、2020-05-18、2020-07-06 于介入科行肝动脉化疗栓塞术,2020-01-13同步行选择性脾动脉栓塞术,并规律给予输注PD-1*制剂抑**免疫治疗。

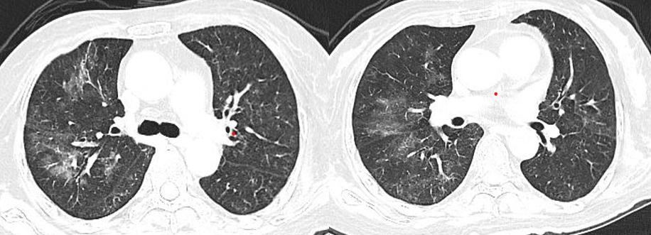
胸部CT(10-23):两肺弥漫斑片影,右肺中叶及左肺上叶部分实变,炎症可能,较前2020-07-03新发。右肺下叶淡斑片影及条索影,考虑慢性炎症/陈旧灶,较前加重。
血常规测定: WBC 3.86 10^9/L,LY 0.69 10^9/L,NE 2.83 10^9/L。T细胞亚群: CD4+ 41.1% , CD8+ 14.8 %,血沉 5 mm/h,C反应蛋白 45.0 mg/L 。纤维支气管镜检查示:支气管未见明显痰液,支气管粘膜未见明显异常,并送检NGS。
患者处于免疫抑制的状态,炎症指标并不高,mNGS未提示感染,但病情进展很快。即使暂停免疫治疗,入院6天间,患者影像学也快速进展。

胸部CT(10-28):两肺弥漫斑片影,右肺中叶及左肺上叶部分实变,炎症可能,较前2020-10-23进展,治疗后复查。右肺下叶淡斑片影及条索影,考虑慢性炎症/陈旧灶,较前相仿。
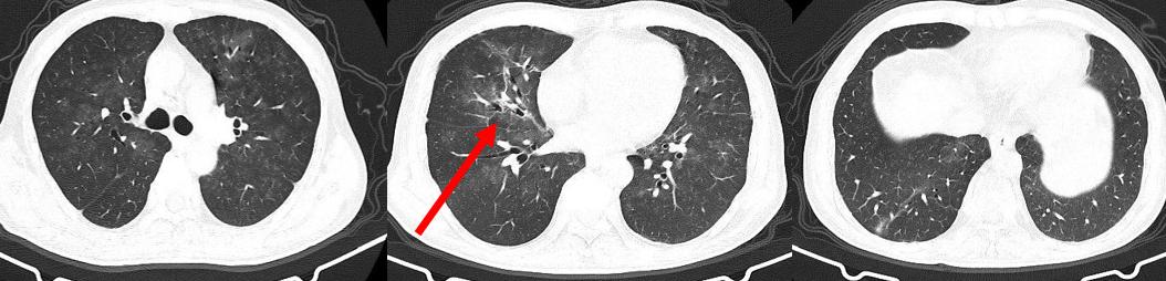
我们使用哌拉西林他唑巴坦 4.5g q6h,虽然心里有一个答案,但不敢很确定,因此甲泼尼龙 80mg qd 抗炎以及对症支持治疗。进行了平行送检,GM实验阴性、肺孢子菌涂片检查阴性、X-PERT,细菌和真菌培养及鉴定阴性,NGS报告了二氧化碳噬纤维菌,这是口腔的厌氧菌,我也使用了呼吸道病原检索工具(https://www.chinapneumonia.cn/pathogens)查找病原体,发现很多个案提示它是肺部感染的致病病原体,由于这个病例中我送的是第一管灌洗液,可能有口腔菌混入其中;其他检出的病原体我认为可以忽视,结合气管镜检查结果,我认为这个NGS是阴性的。因此修正诊断:免疫检查点*制剂抑**相关性肺炎。

第二天患者出院,出院带药:甲泼尼龙 20mg po qd,每周减1片。随访约20天后,病灶明显吸收。

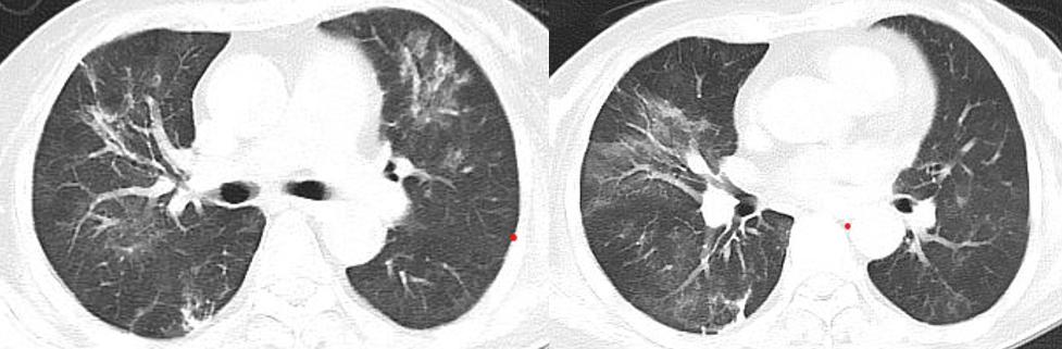
胸部CT示(2020-11-19):两肺弥漫模糊斑片影,局部实变,较前2020-10-28有所好转。
因此,我认为NGS的意义在于帮助患者确定是非感染性疾病。尽管我的预判没有错,但NGS结果可能会影响我们的预判。这时需要结合背景菌谱和气管镜过程进行思考。
2、第二步考虑阴性价值:排除感染?
哪些疾病会让我们想到「可能是感染」?发热伴肺部阴影(肺炎样综合征)常见的非感染性疾病包括:弥漫性肺癌、血液系统疾病、结缔组织疾病、间质性肺疾病、血管炎、过敏性肺炎、放射性肺炎、肺水肿、肺栓塞等;有肺部阴影送检呼吸道标本的检测结果可能阴性(除去定植菌外)。同时需要了解哪些病人和病种会导致感染,例如弥漫性肺癌、血液系统疾病、结缔组织疾病、间质性肺病,甚至肺水肿等。
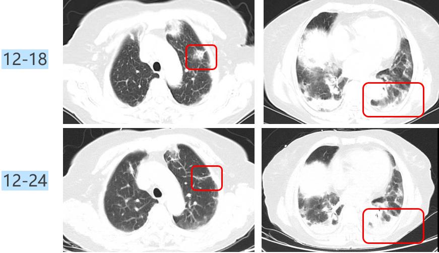
病例: 74岁女性咳嗽咳痰伴气短1月余,已经有亚急性过程了,1月前无明显诱因出现咳嗽,伴喘鸣音,白痰,不易咳出,活动后气短。当地抗感染治疗效果不佳。实验室检查:血常规 WBC 4.52*10^9/L,LY# 0.93*10^9/L,NE% 72.3%。虽然感染指标并不高,但两肺有多发病变。

胸部CT示(12-18):两肺多发斑片絮状影,右中肺及两下肺实变,考虑感染可能。
外院报告直接报告感染,患者经历了各种抗生素的挑战。我们收入院考虑的是急性呼吸衰竭、重症肺炎。在入院检验检查中发现患者血沉较快,其他微生物检查均为阴性:炎症指标:WBC 4.37*10^9/L,NE% 47.1%,ESR 55 mm/h,铁蛋白 107.40ng/mL,IL-6 2.34pg/mL,PCT: 0.1ng/mL,CRP 2.64mg/L。病原学检查:结核感染T细胞检测、CMV-DNA、ADV-DNA、EB-DNA、呼吸道感染病原体IgM抗体八联均无明显异常。痰液、肺泡灌洗液一般细菌及真菌培养、GM试验均未见明显异常。血G试验、GM试验无异常。血隐球菌荚膜抗原检测:阴性。
支气管镜检查:各段叶支气管通畅,黏膜正常,未见明显气管分泌物、新生物、溃疡、活动性出血;初始治疗方案:D1-D3:比阿培南 0.3g q6h+替加环素 100mg q12h+甲强龙 40mg qd。
治疗中患者的氧合指数仍然在快速下降,我们复查CT,显示大部分病变在进展。

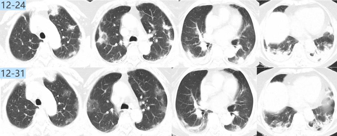
图:胸部CT(12-24):两肺纹理增多,两肺门影增浓,两肺野内多发斑片影,较前2021-12-18部分稍有好转,部分稍明显。
仔细比对后,我发现有一个病灶吸收了,机化性肺炎?气管镜下并没有明显感染的征象,后来,NGS只检出纹带棒状杆菌7个序列、光滑念珠菌16个序列,载量很低,而且这两个病原体本身就存在于呼吸道,所以我将它们定义为阴性。
这时进行治疗调整:2021.12.24-12.26:比阿培南0.3g q6h+替加环素 100mg q12h+甲强龙 120mg qd;12.27-2022.01.02:哌拉西林他唑巴坦4.5g q6h+甲强龙 40 mg qd。激素加量、抗生素两天后减量了。治疗效果体现在氧合指数上,患者的氧合指数开始抬头。经过7天的治疗,CT显示所有病灶都在吸收。

图:胸部CT(12-31):两肺野内多发斑片影,较前好转。
修正诊断患者为机化性肺炎,携带激素出院。只要缓慢减量、疗程足够长,大部分患者不会反弹
3、第三步送检流程回顾:排除送检因素之样本类型选择与采集
LRTI 病原微生物诊断可选送检样本类型:痰(含诱导痰);气管吸引物;支气管肺泡灌洗液(BALF);经支气管肺活检样本(TBLT);经支气管内超声活检样本(EBUS);经皮肺穿刺活检样本;血液。应考虑因素:样本中的病原微生物载量;样本中污染或定植微生物含量及其对检查结果的干扰;样本中人源序列的含量及其对检测结果的干扰;样本采集的难易程度及相关操作风险。
目前,我们的需要考虑可能包括人源基因含量高、病原体基因含量低的情况。此外,传统mNGS需预判病原类型,选择DNA或RNA流程,如果患者经费紧张,可能只会选择DNA流程(DNA流程:疑似细菌,真菌,寄生虫感染,腺病毒等DNA病毒感染;DNA+RNA流程:包括RNA病毒在内的全部微生物类别进行检测;RNA流程:怀疑流感病毒等RNA病毒感染)。我们也遇到过因此错过流感和新冠诊断的患者,所以还是需要做出预判。
有数据显示,传统mNGS常规流程选择易漏检RNA病原,对1870例标本(以呼吸道标本为主)进行靶向富集全病原检测,RNA病毒阳性率为21%,但阳性标本中,56%的病例临床医生没有选择送检RNA序列,导致无法准确选择。

4、第四步:了解各种检测方法的诊断性能
我们需要了解各种「*器武**」,平行送检并非目的,而是要关注结果。因此要了解所有诊断学方法,了解它们具有多大的敏感性、多好的特异性。mNGS 结果为阴性对于排除感染常具有较好的阴性预测值。对于某些病原微生物如结核、真菌等,原始样本中含量较少或核酸提取困难的病原微生物,应考虑 mNGS 检测灵敏度较低,阴性预测性差。mNGS不一定优于PCR等常规检测方案,此时需要联合传统检测方法协助诊断,形成优势互补。
一项研究显示,在45例活动性结核患者中,mNGS和Xpert相结合的阳性诊断为27例,且包含13例传统方法检测阳性的患者。在怀疑结核时,Xpert和mNGS都需要送检,两者无法互补或取代。
临床上我们还需要对病原致病性进行分级,下表包括严格致病、条件致病、呼吸道微生态,需要注意检出核酸≠致病、序列多≠致病、序列少≠不致病:

同等条件下(相同微生物相同标本),如某一微生物检出的读长数量多,为致病微生物的可能性大。此外,我们还需了解微生物本身的基因特征,例如基因组大小、核酸提取效率等,不同病原微生物基因组大小不同(寄生虫>真菌>细菌>病毒),核酸提取效率存在差异[难易程度:病毒<革兰阴性菌<革兰阳性菌(不包括分枝杆菌、需氧放线菌等)<真菌],因此不能仅仅依靠序列数多少来判断是否感染。
接下来看最后一个病例: 58岁女性,确诊弥漫大B细胞淋巴瘤6月,咳嗽1月余入院。6月前骨穿活检确诊弥漫大B细胞淋巴瘤。4次予以R-CHOP方案化疗、1次予以R-CHOP+依托泊苷化疗,1月余前患者出现咳嗽,干咳。胸部CT:双肺渗出性病变伴纤维灶,较前进展。先后予以头孢哌酮钠舒巴坦钠、伏立康唑、复方磺胺甲噁唑、美罗培南、哌拉西林他唑巴坦钠抗感染治疗。患者住院期间仍有反复咳嗽胸闷不适,现转至我院继续治疗。

图:我院急诊胸部CT(2022-10-17)
10-17入院后给予复方磺胺甲噁唑1.44g,3片 tid(由于患者有淋巴瘤病史,我们考虑可能是PJP)。10-20气管镜肺泡灌洗液:mNGS结果示人呼吸道病毒3,人巨细胞病毒、嗜麦芽窄食单胞菌、屎肠球菌、热带念珠菌,可能是院内感染的病原体?予更昔洛韦,0.25gIVD q12h+ 卡泊芬净,50mg IVD qd+ 哌拉西林钠他唑巴坦钠,4.5g,IVD q6h 抗感染治疗。
同时PJP PCR 阴性、影像学仍在进展、患者气喘胸闷。治疗已经经过8天了,目前存在问题:肺部感染复查CT后病灶较前进展,是否用激素?下一步治疗作何调整?

胸部CT(2022-10-25)
然后同批次标本mNGS复测,等待tNGS结果,tNGS检出了1万多条肺孢子菌序列,这和此前的预判是一样的,为什么之前没有检测出来?我将tNGS的结果告诉mNGS公司,他们用了重复的方法、同样的标本进行BALF mNGS复测,测到了2个序列的PJP。


PJP敏感性较低可能是因为难破壁,明确是PJP感染后我们就不用犹豫如何治疗了,这位患者第二天就带着口服的治疗方案回家了。
目前技术领域的迭代在不断发展。

我认为,在所有公司做灌洗液时,通常会选择常规去宿主,这将极大地降低胞内菌和难以破壁细菌载量;此外,PCR free可以让我们获得定量的mNGS结果,虽然它并不具有显著优势,但我们可以知道它可以相对定量;同时探针捕获能解决敏感性问题;我认为靶向NGS是将mNGS的大台阶切割成许多小台阶,它可能需要花费6000元、也可能3000元、1000元以内完成,因为价格是临床必须考虑的问题,它未来肯定是诊断感染性疾病很好的*器武**、将让更多患者获益,然而,由于靶向NGS的预设了病原体谱,可能有遗漏,例如有位患者曾考虑*虫病恙**,但遗憾的是所选套餐中没有*虫病恙**,只好重复进行mNGS。
总结
阴性结果的临床解读确实很困难,结合临床这四个字所带来的感触颇深。真阴性虽然较为简单,但我们仍需要了解真阴性背后疾病的种类,如非感染性肺部病变,OP,CTD-ILD,药物肺损伤。
对于假阴性,我们要通过这三个层面来考虑和解决:1、外部因素,检测方法、标本类型、保存和运输以及治疗影响,治疗对培养会有影响,对mNGS也有影响;2、人源核酸含量,病原体低载量和破壁难易,以及环境定植菌、口腔菌导致的感染;3、生信分析水平,标本采集是否规范。
对策包括重复取样、重复检测,不局限于同一份标本,多种标本送检,多平台和多分子方法学检测。最后,mNGS病原学结果的解读要以临床为中心。
参考文献
[1]Heymann et al. Emerg Infect Dis. 2004
[2]Qian M, et.al.. Front Cell Infect Microbiol. 2022 May 16;12:892076.
[3]Clin Microbiol Infect. 2017 Aug;23(8):574.e1-574.e6.
[4]Front Cell Infect Microbiol. 2022 Oct 25;12:962283.
[5]mBio. 2017 Feb 14;8(1):e02287-16.
[6]Vazquez Guillamet C. et al., Pulmonary Infections in Immunocompromised Hosts: Clinical. J Thorac Imaging. 2018 Sep;33(5):295-305
[7]Hill AT. Management of Community-Acquired Pneumonia in Immunocompromised Adults: A Consensus Statement Regarding Initial Strategies. Chest. 2020 Nov;158(5):1802-1803.
[8]Front Cell Infect Microbiol. 2019 Oct 18;9:351.
[9]宏基因组高通量测序技术应用于感染性疾病 病 原 检 测 中 国 专 家 共 识 [J]. 中 华 检 验 医 学 杂 志 , 2021, 44(2): 107-120.
专家介绍

孙文逵
南京医科大学第一附属医院,呼吸与危重症医学科;副教授,副主任医师,硕士研究生导师;中华医学会呼吸病学分会感染学组 委员;中国医药教育协会感染专业委员会 青年委员;中国老年医学会呼吸病学分会青年专业委员会 委员;江苏省呼吸病学分会肺部感染学组 学术秘书;江苏省呼吸病学分会青年 委员;江苏省研究型医院学会感染检验与合理用药专委会 委员;江苏省康复医学会呼吸康复专业委员会 委员;南京医学会呼吸系疾病专科分会肺部感染与危重症学组 组员。
本文由《呼吸界》编辑 Jerry 整理,感谢孙文逵老师的审阅修改!
* 文章仅供医疗卫生相关从业者阅读参考
本文完
责编:Jerry