

仰头45度角仰望天空,那是淡淡忧桑;
仰头嘴角上扬眉眼弯弯,那是明媚灿烂;
仰头鼻孔朝天脑袋往后吊,那是自我毁灭!
你会仰头么?
其实就是你会抬头么?

人体的脊柱当中有四个生理曲度,如上图分别为颈曲、胸曲、腰曲和骶曲,其中颈曲和腰曲为后天形成的,李哲老师说过“不是今天,不是明天,是后天”,也就是在出生后,随着宝宝的生长发育而形成的。

总结宝宝的生长发育有这样的一般规律:
“一听二看三抬头;四撑五抓六翻身;七坐八爬九扶立;一岁娃娃会说话”
当宝宝在三个月左右开始慢慢会抬头了,这时候颈曲也就慢慢形成了。
长这样:

(看那条顺滑的、有完美弧度的虚线,那就是颈椎应该有的曲度的样子,我们称之为大名鼎鼎的颈曲)
但是,来看下图:

随着坚持不懈、衣不解带地玩手机、看电脑,重点是,还以一种如此理直气壮的不怎么雅观的姿势来保持。
终于,颈椎完美的弧度消失了,离你而去了,各种问题来敲门了。

所以说:
总是要到失去,才开始懂得珍惜;
总是要到痛彻心扉,才开始大彻大悟;
终于,这时候总算开始从心灵深处意识到要做点事情了。
我们都知道运动对身体是有好处的,但需要正确的锻炼方法,
同样地,针对当下普遍存在低头族:

抬头对颈椎是有好处的,但需要正确的方式。
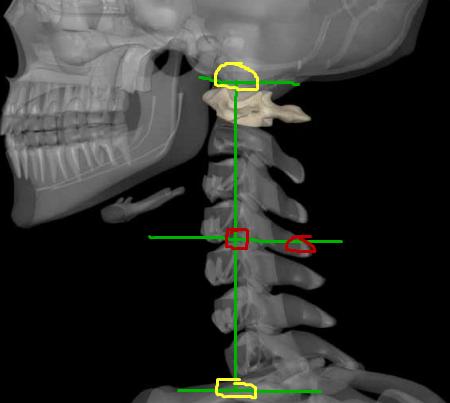
脊柱颈段:

构成颈部的骨骼共有7块,分别称为第1、2、3、4、5、6、7颈椎。
位于中段的椎骨棘突较短,尤其是第4颈椎(C4),这有利于做后伸运动,也就是抬头。
然而,在颈椎下段(第6、7颈椎处)因为棘突较长,所以后伸运动会受到限制。
所以,我们要做的抬头运动是以第4颈椎为生物力学节点来做的,换句话说就是:当抬头时,第4颈椎是颈部椎骨中最往前的突的。
所以要通过适当的抬头来锻炼颈部就要做到:
一、认识到第4颈椎(C4):

图中绿色箭头所标示的就是第4颈椎(C4)了。
二、触摸到第4颈椎(C4):

(图中颜色颈白的是第1颈椎,一般在正后方触摸不到它)
方法一:手来到后脑勺凹陷的位置往下触摸到一个骨突→那是我们第2颈椎的棘突→往下数第3、4,靠后面的红色圆圈就是第4颈椎棘突了。
方法二:耳垂和肩膀连线的中点对应的位置大概就是第4颈椎(在图中就是两黄色圆圈相连的绿线的中点红色圆圈的位置)靠后面的就是第4颈椎的棘突了。
三、将手指顶按住第4颈椎(C4)来做抬头,加强本体感觉,建立起正确的运动模式。
四、抬头的幅度不超过60°。
五、在抬头时,要注意:
1、先将颈部向上延伸;
2、再抬头去感受第4颈椎向前凹;
3、不让颈部下段的第6、7颈椎过多向前;
4、不要鼻孔朝天,脑袋往后吊着。
感觉连抬头都不会了
有只叫“奔溃”的小猪在体内乱窜……

日常生活中,只要配合适量的运动,偶尔的慵懒只会为生活锦上添花~~