葉子口腔科普
今年热播的哪吒,可爱的造型吸引了不少的粉丝。而有职业病的小编,盯上了哪吒的大牙缝。

然而,大牙缝不是哪吒的“专属品”,很多孩子也会存在牙缝大的情况,不少家长也为此担心。
那么孩子牙缝大,是正常的吗?需要治疗吗?

乳牙列阶段的牙缝大
乳牙牙缝大是正常现象,可以为恒牙的萌出准备位置,每个孩子都不一样,和遗传有直接关系。
在乳牙阶段,没有牙缝的孩子需要格外注意,每天使用牙线清理紧密的牙缝,防止邻面蛀牙。同时还要注意换牙时恒牙的拥挤问题,需要给孩子找一个牙齿管理医生,长期跟踪管理。

丑小鸭阶段的牙缝大
孩子在换牙时期,属于“丑小鸭阶段”,牙缝大多属于暂时性问题。

但是也不排除多生牙问题。
多生牙 —— 顾名思义,就是多余长出来的牙齿,最常见的是上颌“正中多生牙”,也就是长在门牙之间的牙齿。

一般来说,单侧或对称都有可能生长,有的已经萌出,有的会埋伏阻生,有的甚至会倒着长。多生牙一般是小锥形,牙根较短。

门牙缝大需留意,孩子可能有多生牙
一位八岁多的漂亮小姑娘,她妈妈带着来看医生,说是因为小姑娘后面的大牙蛀牙了,吃饭时总说疼,而且总是塞牙,希望能彻底治好。
给小女孩进行了常规检查后拍X线片,开始按部就班地对蛀掉的大牙进行根管治疗。

可是我老觉得她的门牙缝很大,职业敏感性使然,问她的妈妈:“这个门牙之间牙缝这么大,您觉得它是越来越大?还是慢慢变小?”妈妈说好像变大了,遂果断建议再去拍片以排除多生牙。
从小姑娘的照片中可以看到,她的侧切牙已经长了,但门牙之间缝隙还是很大。拍X线片检查后,果然发现有多生牙,而且是两颗。

所以,治疗完所有蛀牙之后,我建议小姑娘要再拍CT,及时拔除两颗多生牙。
案例中小姑娘的多生牙是属于埋伏生长。还有一种情况是,“长出来”了的多生牙。
这是一位刚开始换牙的小朋友,新换出来的牙齿特别小,而且是锥形的。家长还以为是门牙形状畸形,带着来医院检查,才发现原来这是多生牙。

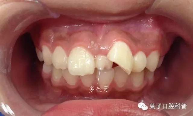
还有一位小朋友,在上门牙里面又长出来两个尖尖的牙齿。这也是多生牙。

多生牙这种不速之客,要是来了,就需要把它给赶走。
这个小朋友的多生牙占据了门牙的位置,但由于多生牙没有及时拔除,影响了其它正常牙齿的排列。这时,门牙只能占据侧切牙的位置,那侧切牙只能委屈地排列在门牙的后面,那里不拥挤而且凉快哦。

这位小朋友也一样,由于两颗门牙之间有多生牙先行萌出,导致左上门牙不能萌出到正常位置,只能向外侧萌出,俗称“牙齿龅出来”了。如果受到外伤,这颗牙会很容易折断。


怎样知道有没有长“多生牙”?
干货来了!怎么能让爸妈们觉察,孩子是否长了“多生牙”呢?

孩子在换牙时期,由于门牙旁边的上颌侧切牙还没有萌出,它们的牙胚位于门牙的牙根部位,会使门牙之间有间隙,并呈外“八”字形,这是正常的。随着侧切牙的萌出,门牙之间的间隙会逐渐变小。
如果家长发现孩子门牙之间的间隙越来越大,或者新长的牙齿形态不正常,建议家长尽早带孩子去医院检查拍X光片,排除有无多生牙,以免影响正常牙齿的萌出。
多生牙并不可怕,重要的是需要及时拔除。
猜你喜欢:
恒牙还不长?乳牙还不掉?换牙期都需要注意什么问题呢?
摘自 | 《多生牙》@儿童牙医嵘 ;《孩子牙缝大》 @葉子张野
编审&排版 | 牙医麻麻Debbie
投稿、合作、加入:dentalleaf@gmail.com
yzkqkp@qq.com