来源:肿瘤治疗专家

关于肺癌,我们先来看一组数据——
肺癌居全球肿瘤发病和死亡的第1位;2018年全球肺癌新发2 093 876例,死亡人数1 761 007例,占所有肿瘤死亡人数的近1/5(18.4%)。
国内情况大致相同,国家癌症中心最新的统计数据表明,肺癌居中国男性恶性肿瘤发病的第1位和女性的第2位;2015年新发患者数为78.7万例;其中,男性新发病例约52.0万例,女性约26.7万例;2015年肺癌死亡人数约为63.1万例,死亡率约为45.87/10万。
无论国内还是国外,死亡率如此之高最重要的原因是不能做到早发现、早诊断和早治疗。 有数据表明,57%的患者发现时已经是晚期。所以肺癌的5年总体生存率只能维持在14%~18%,但是Ⅰ期患者的5年生存率可达67%。
因此,肺癌的早期筛查、早期诊断的重要性不言而喻。
国际现有指南推荐
肺癌的高危人群
每年要做一次低剂量螺旋CT筛查
什么样的人群,算肺癌高危呢?
有两类——
1.年龄 55-74岁 ,吸烟 ≥30包·年 (比如,每天吸烟1包,持续30年),且戒烟时间 <15年 ;

2.年龄 ≥50岁 ,吸烟 ≥20包·年 ,并且具有另外的一项危险因素(包括个人既往罹患恶性肿瘤病史、一级亲属肺癌家族史、慢性阻塞性肺疾病和肺纤维化病史,以及氡、镉、石棉、煤烟、柴油废气等有毒有害物质接触史)。
上海肿瘤医院通过对本市闵行社区居民肺癌筛查、全国多家医院职工体检结果分析等一系列研究,发现 年轻不吸烟女性 肺癌发病率 呈现上升趋势 。这意味着,非高危人群的肺癌发病率 并不低 ,故建议可以进行1次低剂量螺旋CT检查。

第1次低剂量螺旋CT检查后,如果 结果为阴性 ,则间隔时间将根据 年龄和其他危险因素 而有所不同,其目的旨在最大程度地减少诊断前CT随访的次数和增加发现癌症进展的机会。
对于 50岁以下 的人群,间隔时间可以 延长到5~10年 。但是对于 50~60岁 的人群,如果没有其他危险因素,则间隔时间为 5年 ;如果存在 至少一种 其他危险因素,则间隔时间 缩短至3年 。

同样,对于 60和70岁 的人群,建议分别 间隔3年和2年 。对于 70岁以上 的人群,无论其他危险因素如何,建议的间隔时间 均为2年 。

因此,对于肺癌非高危人群
如果低剂量螺旋CT筛查为阴性
并且一直保持健康的生活方式

因为频繁的低剂量螺旋CT检查不但 浪费医疗资源 ,使更加亟需检查的患者 增加排队等待时间 ,而且低剂量螺旋CT检查的辐射对人体有害,大家在做检查时往往也承受了不小的心理负担。
体检项目中的胸部CT与侧位胸片,到底哪个更容易发现早期肺癌?
医学家从上世纪50年代就开始了对肺癌早期筛查的探索,最早的筛查手段用的是胸片。1960年的英国伦敦肺癌研究计划,发现胸片可以早发现肺癌,但是无法降低死亡率。

直到2011年,美国国家肺部筛查试验(NLST)公布了初步结果:与胸片相比,低剂量螺旋CT筛查方法可以将高危人群的肺癌 死亡率下降20% 。荷兰的NELSON研究表明,接受低剂量螺旋CT筛查的男性肺癌死亡率 降低26% ,女性肺癌死亡率 降低61% 。
因此,目前国内外
均推荐使用低剂量螺旋CT
进行肺癌的早期筛查!

相比于胸片,低剂量螺旋CT能发现 几毫米 的微小病灶,也能发现位置很 刁钻 的肿瘤。
听说胸部增强CT看小结节更清楚那我是否需要直接做增强CT?
胸部增强看肺部结节更清楚只是一方面,对比低剂量螺旋CT的主要优势在于可以更好地看清楚心脏和大血管的情况,主要是应用于手术前的评估、帮助更好地制定手术治疗方案。但是,增强CT应用于体检有些 “大材小用” 。

CT检查的一个问题之一便是 辐射伤害问题 。每次检查时,低剂量螺旋CT的放射剂量估计为 1.5 mSv ,增强CT检查其剂量可达 8.0mSv ,反复接受检查辐射危害具有蓄积效应。低剂量螺旋CT可以将辐射剂量降低约80%,辐射小是低剂量螺旋CT的一大优势。同时,增强CT检查前需要打造影剂,少数患者存在对造影剂过敏的风险。
因此
作为常规的体检

专家述评与论著
非高危人群的肺癌筛查策略
提要:
1/非高危人群应在30岁附近进行第1次低剂量螺旋CT检查。
2/第1次低剂量螺旋CT检查后,如果结果为阴性,则间隔时间将根据年龄和其他危险因素而有所不同,具体前文已有说明。
在提出非高危人群肺癌筛查策略之前,有两个不可回避的经典问题。
第一个是检查中CT的辐射伤害问题。
每次检查时LDCT【 刀先生注:低剂量螺旋CT】有效的放射剂量估计为1.5 mSv,增强CT检查,其剂量可达8.0 mSv;正电子发射断层扫描(positron emission tomography,PET)/CT可达14.0 mSv。反复接受检查辐射危害很多,而且具有蓄积效应。有数据表明,每筛查2 500个人中,CT辐射可能导致1例癌症患者死亡。因此有效避免辐射伤害对参加筛查的人群至关重要。非高危人群筛查的目的并不意味着要多做CT,恰恰相反,而是为了减少做CT的频率,通过审慎而规范的随访流程,最大程度地减少辐射伤害。
另一个问题就是过度诊断和过度治疗。这是全世界反对筛查的学者经常用来讨论的话题。过度诊断简单来说就是发现在没有筛查的情况下原本无法诊断出的需组织学检查证实的癌症。一项来自意大利的观察研究认为,肺癌筛查伴随的过度诊断率可达25.0%,而一项基于NLST数据模型预估出的过度诊断率也达18.5%。过度诊断之后可能会带来不必要的过度治疗,由此很多良性结节会被手术切除,增加患者的患病风险和痛苦,加重社会经济负担。国际肺癌研究协会(IASLC)认为手术的良性比例应该控制在15%以下。作者认为,这样的良性比例指标确实算宽松的。 复旦大学附属肿瘤医院每月进行的发病率和死亡率(morbidity and mortality,MM)汇报数据显示,基本上肺结节的良性率控制在6%~8%。
我们认为,严格的流程、审慎地评估以及足够的随访时间是控制良性结节比例最有效的方法。由此看来,过度诊断和过度治疗是完全可以合理控制的,因噎废食并不可取。综上,我们提出针对非高危人群的肺癌筛查策略,以求最少的CT次数、最合理的CT间隔达到早期筛查出肺癌的目的。
策略1:提前基线CT(baseline CT)时间到30岁附近
30岁是所有肺癌研究的起点,提前基线CT时间最主要的目的是,尽早发现早期肺癌以及为后续制定筛查计划做量化铺垫。非高危人群的肺癌和高危人群的肺癌最大的不同在于肿瘤人群的年轻化和生物学行为的惰性化,所以进行第一次CT检查的时间需要提前才能保证覆盖范围更广。
不仅如此,已有研究表明,年轻人中的肺癌因为容易被忽视所以发现较晚,进展迅速而导致预后较差。而实际上,在临床实践中,大中心的门诊上遇到就诊的30岁左右的年轻肺癌患者绝不罕见。其中有一些往往是因为转移而被首次诊断,有的术后较短时间又发生了转移。
中国Li等回顾性分析了2013年11月—2018年10月在中国医学科学院肿瘤医院收治的30岁及以下的肺癌患者103例,其中有8例(8.1%)患者分别出现局部复发(2例,2.3%)和远处转移(6例,6.8%)。在年轻的肺癌患者中,磨玻璃结节可能出现得较早而进展较慢,因此会留有很长一段外科可介入的时间窗口。对于这些患者,不应该仅因为不符合成本效益原则或工作量大等原因就放弃筛查,建议在有条件的国家应该合理开展。在中国,筛查科普深入人心,等待检查时间、检查价格较欧美国家有优势,因此可以对非高危人群展开科学的肺癌筛查工作,对筛查出的肺癌患者予以治疗,提高患者的生存率。
作者近期遇到两个病例,具有一定的代表性,却是一正一反的结果,分享如下:
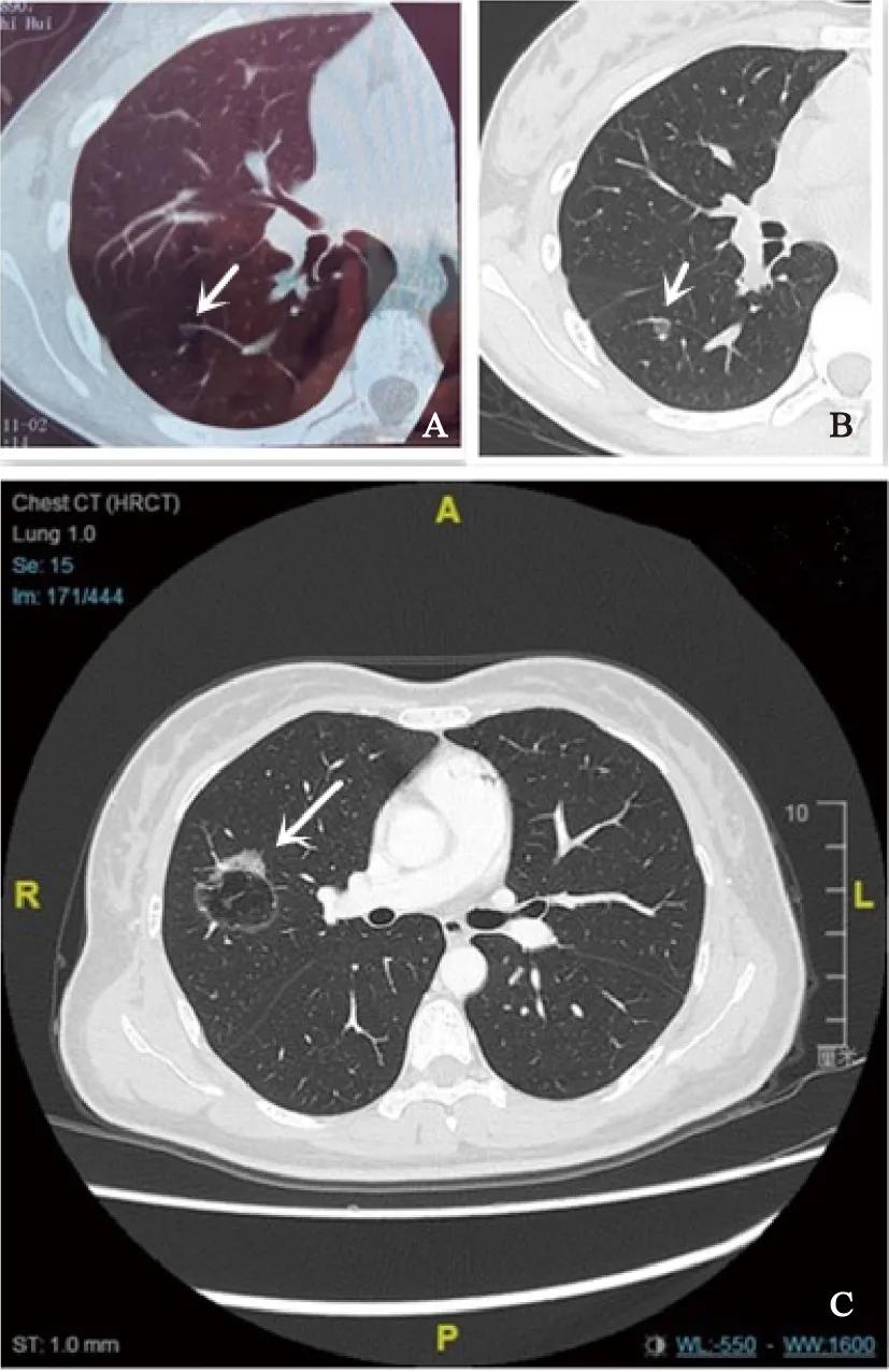
第1例患者是1例14岁女孩,由于持续发热和咳嗽而于2018年5月11日在患者所在地医院进行胸部CT检查,结果显示,右下背部肺段有一个6 mm的磨玻璃样结节(图1A)。观察1年后(2019年5月31日),结节仍然存在并且比以前大2 mm(图1B)。经过3个月的进一步观察,结节无明显变化。后在2019年8月进行胸腔镜亚肺叶切除术,术后病理学诊断为微浸润性腺癌。若不是偶然地一次胸部CT检查,那么这个磨玻璃样结节在10年后会给这个小女孩带来什么样的后果?20年后又会怎么样?
另1例是38岁、3 cm混杂磨玻璃样结节的女性(图1C),接受了胸腔镜下右上肺叶切除加纵隔淋巴结清扫术。术后病理学检查结果显示为腺癌,但第12组(1/9)淋巴结转移,TNM分期为T2aN1M0(ⅡB分期)。如果她在5~10年前接受过肺癌筛查并进行了浸润前的手术,预后将截然不同。

图 1 1例14岁和l例38岁患者胸部CT影像
因此, 我们建议非高危人群应在30岁附近进行第1次的基线LDCT检查。很多时候这种检查都是非刻意就完成的,有可能是对其他疾病进行检查或鉴别诊断的需要,或是体格检查等。即使刻意完成1次LDCT,也是值得和需要的,因为单次的LDCT辐射低,代价小,但这次的检查结果将成为以后筛查、随访、甚至复查的基准和证据。
需要着重指出的是,必须把握好CT检查的度。现在有些科普重点宣传肺部磨玻璃结节却忽略CT检查频次问题, 有些单位把包括CT在内的体检当成“福利”送给员工去做,每年完成1次,有些人因为“疑病、恐癌”反复不停地进行CT检查等,这些不正确、不科学的行为不但会严重浪费医疗资源,让真正需要检查的人排队等待,更重要的是辐射会对受检者造成辐射剂量蓄积和不可逆转的伤害。
临床上我们遇到很多初诊患者,2周内做过3次CT:1次体检CT,2次不同医院CT,其中有的CT可能还是增强的,就这还不包括紧接的随访CT,频次之高,辐射剂量之大,令人咂舌。
策略2:随访的间隔时间应更加延长
在我们的建议中,第1次LDCT后,如果结果为阴性,则间隔时间将根据年龄和其他危险因素而有所不同(图2),旨在最大程度地减少诊断前CT随访的次数和增加发现癌症进展的机会。
对于50岁以下的人群,间隔时间可以延长到5~10年。但是对于50~60岁的人群,如果没有其他危险因素,则间隔时间为5年;如果存在至少一种其他危险因素,则间隔时间缩短至3年。
同样,对于60和70岁的人群,建议分别间隔3年和2年。对于70岁以上的人群,无论其他危险因素如何,建议的间隔时间均为2年。如果在第1次LDCT检查时发现有结节,则该患者应进入另一个结节评估和诊疗过程。

图 2 随访策略
总而言之,非高危人群的肺癌需要引起更多的重视;频繁的肺癌CT筛查不但浪费医疗资源,而且对受检者的身心健康也明显有害。对于非高危人群的筛查应当遵循折中、妥当、不保守、不激进的策略,即提前基线CT的时间在30岁附近和延长随访的间隔2~10年。这对发现早期肺癌,提高肺癌患者生存率,减少辐射伤害是大有裨益的。