
由中国卒中学会、国家神经系统疾病医疗质量控制中心、美国心脏学会/美国卒中学会等主办的中国卒中学会第六届学术年会暨天坛国际脑血管病会议2020(CSA & TISC 2020)于2020年10月9日-11日采用线下+线上的会议形式召开。
在10月9日的会议上,来自*京大南**学医学院附属南京鼓楼医院的徐运教授带来了题为“脑小血管病的诊疗研究”的精彩报告。
医脉通整理报告,未经授权请勿转载。

脑小血管病简介
脑小血管病(SVD)指累及脑小动脉、分支小动脉、毛细血管和小静脉,临床表现为情绪异常、步态异常、排尿异常、脑卒中、痴呆等的一组临床综合征。影像学表现为腔隙梗死、脑白质高信号、为出血、血管周围间隙扩大及脑萎缩。
1. SVD的临床特征
(1) 60%隐匿起病,80%呈进展病程;
(2) SVD发病率是临床卒中的5-6倍;
(3)随年龄增加而增多:70岁以上MRI发现10-30%存在SVD;
(4) SVD是血管性抑郁发生的重要原因;
(5) 血管性认知障碍(VCI)人群中90%存在SVD;
(6) 阿尔茨海默病(AD)患者中有30%存在SVD。
SVD的危险因素主要是年龄、高血压、家族史及糖尿病等。
2. SVD病理分类
目前的分类主要是采用欧洲的分类标准,分为6型:
I型:80%是Ⅰ型,与高血压和年龄相关。小动脉硬化,表现为纤维素样坏死、脂质透明变性、小动脉粥样硬化、微动脉瘤、小动脉节段性结构素乱或解体;
Ⅱ型:散发性或遗传性脑淀粉样血管病(CAA);
Ⅲ型:遭传性小血管病, 如CADASIL、CARASIL、MELAS、Fabry、遗传性脑视网膜小血管病;
IV型:炎症或免疫介导小血管病, 如Wegener肉芽肿、风湿病、血管炎;
V型:静脉胶原病,引起小静脉增厚、闭塞;
VI型:其他小血管病,如放射后小血管病。
3. 脑小血管的病理改变
脑小血管病变的病理改变形式见下图。

虽然目前并不清楚脑小血管疾病明确的机制作用,但影像学已证实脑小血管的病理改变与血管损伤有关,最终造成脑实质损伤。血管损伤分为血管内皮和血管平滑肌损伤,引起局部或广泛的缺血,临床上表现为脑白质损伤,导致腔隙性梗死。微动脉瘤破裂导致微出血,大动脉瘤破裂导致大出血。
网络机制学及相关影像表明无论是白质损伤或是出血,最终都会引起认知障碍、步态异常及尿*禁失**等。这是由于其累及了一些环路,如前额叶-皮质下环路受损会引起认知功能障碍,双侧额叶和脑室旁投射纤维受损会引起步态异常,扣带回、前放射冠上额枕束受损会引起尿*禁失**。
脑小血管病的诊断
1. 常规影像技术与SVD诊断
常规影像技术与SVD诊断见下图。

(1)陈旧性脑梗死

FLAIR影像结果显示,中间是低信号,周围是高信号。据此进行鉴别诊断。
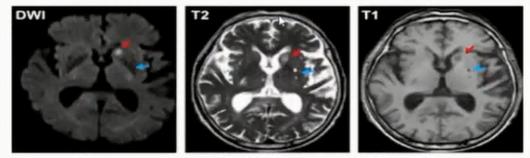
(2)急性腔梗、扩大的脑血管周围间隙鉴别

红色箭头:急性腔梗, DWI:高信号;T 2高信号;T 1:低信号;
蓝色箭头:扩大的血管周围间隙, DWI:低信号;T 2高信号, 接近脑脊液的信号;T1:低信号,周围没有增生的胶质细胞。
(3)陈旧性脑出血鉴别诊断

T2WI高信号伴周围低信号环(含铁血黄素沉积)。
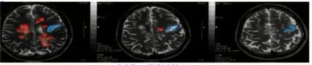
(4)脑小血管病白质高信号特征

(5)脑小血管病白纸高信号特征

2. 鉴别诊断
(1)多发性硬化
➤ 脑和脊髓均可有病灶,多病灶,非对称性,通常有相对固定的分布模式及形态;
➤ 病灶与侧脑室垂直分布;
➤ T1WI低信号,T2WI高信号(煎蛋状、云雾状),FLAIR高信号,急性期DWI呈高信号, 增强后呈C形或开环状强化。

(影像由南京鼓楼医院提供)
(2)遗传性疾病
➤ 如异染性脑白质营养不良及肾上腺脑白质营养不良;
➤ 脑白质弥漫性、对称性白质高信号;
➤ 临床一般为儿童、轻壮年。
➤ 从影像上看:
额优势:亚历山大病,
室周优势:异染性脑白质营养不良,
顶枕优势:克拉伯病,
弥漫性脑:伴有皮质下囊肿的巨脑脑白质病(MLC),
后颅窝优势:脑腱黄瘤病(见下图)。

3. 脑白质损伤定量方法
如果遇到患者本身有白质损伤,且有年龄≥60、高血压等危险因素,那么就需要做一些动态的定量的方法来帮忙随访,预测是否会发展成腔隙性梗死、痴呆等。
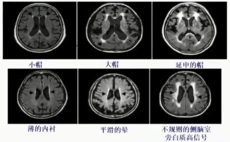
(1)Fazekas视觉评定量
Fazekas视觉评定量表可对脑白质损伤程度进行分级:
➤ 脑室周围:0=无;Ⅰ=帽状或者铅笔样薄层病变;Ⅱ=光滑晕圈;Ⅲ=不规则脑室周WMH,侵入深部脑白质。
➤ 深部(皮层下):0=无;Ⅰ=点状病变;Ⅱ=病变开始融合;Ⅲ=病变大面积融合。

此外目前各大医院应用较多新技术为3T-MRI检查技术。
4. 脑小血管病MRI总分:临床应用
总SVD评分项目包括:
➤ 腔隙灶数量≥1个;
➤ CMBs数量≥1个;
➤ EP VS(EP VS-BS) ;
➤WMH脑室周围:Fazekas评分≥3分或深部
上述项目各计1分,各项相加为总SVD评分,得分在两分以上可能就有执行功能和语言功能障碍。
目前临床已应用的结构和功能影像技术主要有宏观结构T1W1,微结构DTI、SWI,BOLD。此外,大数据预测的准确率比单模态的准确率高得多,有利于帮助医生做临床研究、患者的早期预测与预后及治疗。
脑小血管病的治疗
1. 目前的SVD的治疗状况
➤ 积极控制高血压、糖尿病能够阻止进展和复发。对于SVD的治疗和预防是亟待研究的新领域。
➤ 阿司匹林可以用于SVD治疗和预防。对部分病人无效(SVD机制的复杂性, 如遗传、变性等)。
➤ 他汀类:有争议(颅内出血的风险, 如CAA) 。有依据表明,SVD“无症状性”微出血可以转变为颅内大量出血。SPARCL研究提示,SVD应用大剂量他汀治疗对一级终点(致命或非致命卒中)事件有利,出血风险无显著增加。目前认为强化他汀治疗的确能增加颅内出血的风险。
2. 目前的白质损伤治疗
➤ 积极降压治疗延缓或阻止脑白质高信号的进展;
➤ 选择降压药物时,建议首选长效钙拮抗剂(CCB) 和肾素血管紧张素系统(RAS) 阻断剂;
➤ 处理已知的血管危险因素:高血压、肥胖、糖尿病和高胆固醇血症。
3. SVD治疗策略的研究
➤ CSVD的发病机制尚不清楚, 但其白质损伤以及微出血、腔隙性梗死等均与血管内皮以及血管平滑肌功能损伤有关。
➤ 目前预防和治疗CSVD的策略为靶向脑的微小血管内皮、血脑屏障,神经炎症。
