
小编作为单身狗在这个即将结束的一月,却闻到了浓烈的恋爱“酸臭味”,提前祝各位情人节快乐,哼。

所谓恋爱,大概就是在对方眼中活出最舒服的自己。
而像我这种被甜系日剧“毒害颇深”的人,恐怕最受不了的就是情侣一起刷牙这件事了。

一日之计在于晨,早晨是每个人口气最重的时候。这个时候如果想要亲亲那真是最尴尬的一件事儿了,所以牙刷就成了热恋期掩饰尴尬又促进关系的好物!

在这个吃货满街,懒癌成堆的时代,很多人的大黄牙、烟屎牙、爆炸性口臭等牙齿口腔问题已经严重影响到了日常的生活交往。

而普通牙刷对于我们已经“坏掉”的口腔来说已经于事无补了。在这个发展日新月异,科技代替人工的时代!我要向大家强烈安利,电动牙刷!
这也是一种生活品质和体验的提升,只要用过一次电动牙刷,你就会发现之前的牙都白刷了。

为什么要使用电动牙刷
因为手动刷牙真的刷不干净。
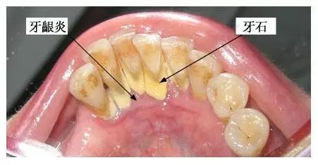
我们刷牙的最终目的其实并不是去掉食物残渣和菜叶。而是一种叫做“牙菌斑”的物质。它是导致我们所有口腔问题的来源,包括口臭、龋齿、牙龈萎缩、牙龈出血等。

简单的漱口和手动刷牙,真的很难把它们清除掉,牙菌斑如果长时间清理不到位,它们还会发展得更严重。慢慢的钙化掉,变成软垢和牙石。
和手动刷牙相比,电动牙刷的清洁效率高出将近百倍。

电动牙刷的高频震动还能深入清洁口腔死角。它可以把嘴里的牙膏和水快速分解和带动起来,形成微小的气泡,深入到牙缝中间清洁。
如何选择电动牙刷
牙刷最重要的就是刷头,但是在315晚会的时候就爆出一半以上的牙刷不及格,许多品牌牙刷都存在刷毛顶端有毛刺的现象,长期使用不仅不能保护牙齿健,还会造成牙齿、牙龈的损伤,导致出血。

这也让许多的安全问题暴露在了我们面前,不仅是选择牙刷成了一个问题,牙刷的使用情况也成为了困扰很多人的问题。

相信有不少的小伙伴在考虑电动牙刷时,看到它的价格就会望而却步了。虽然电动牙刷的价格跨间很大,但是它们之间的差别真的有这么大吗?
答案是否定的!所以今天小编为大家推荐的就是一=下面这款高颜值高性能的电动牙刷↓
ORON奥荣 防水电动牙刷

↓长按二维码,识别关注后即可购买↓
首先征服小编的就是它的高颜值外表,这样简约又带少女感的设计,通体银*粉白**嫩,透着珍珠光泽。看着就觉得舒服,很好看,也很耐看。相信没有几个女生能拒绝。
并且配色也特别适合情侣一起使用~

关于电动牙刷最在意的第二点就是它的握感。这款奥荣的电动牙刷流线感设计的非常棒,使用的时候不会有硌到手,磨砂质感正是为它加分!

相信有很多人都听说过这句话,牙刷使用时间过长会比马桶水还脏!这并不是危险耸听,而是有实实在在的依据表明,牙刷使用三个月不更换将产生500万的细菌量!

而我们的奥荣电动牙刷精心设计替换头,在三个月的期限到来的时候,换上新的刷头,看上去就又是一个新的牙刷啦~

在设计上,除了牙刷本体的用心,外包装更是给人一种简洁又高大上的感觉!磨砂质感的纸盒,干净整齐的包装,内含一根充电线和替换刷头,妥妥的颜值控!
电动牙刷的清洁原理
振幅最高40000次/分钟声波振动,是手动的190倍。牙刷会瞬间混合牙膏和水,产生丰富的泡沫。用高速流动的水流去冲刷牙齿,让牙菌斑脱落且不损伤牙龈。

相比以欧乐-B为代表的机械旋转式电动牙刷,奥荣牙刷使用了滋悬浮震动,起振装置悬浮于磁场中间,形成高频振动频率,再通过传动轴传到刷头上。
这种振动原理能够拥有更高的震动频率且刷牙力度较小,在不损伤牙釉质前提下能更好地清理口腔死角,防止蛀牙,并在牙齿表面有类似“抛光”的美白效果。

而且作为专业亚洲人设计的电动牙刷,特别采用了小刷头的设计,能够更深切合牙齿表面,清洁污垢。
↓长按二维码,识别关注后即可购买↓

为你量身定制的人性化
这款电动牙刷总共有6种清洁模式,可以根据牙齿和牙龈的承受能力来调节清洁的速度和振幅。

其实很多小伙伴都知道,刷牙最好的时长是2分钟,而我们的奥荣牙刷会在每个30秒提醒换区,使得整个口腔都能被均匀的清洁。

除此之外,洗漱用品防水是第一要义,不能防水的电动牙刷都是耍流氓。奥荣电动牙刷的防水表现就很优秀。把牙刷打开,浸在水下1米,它还能持续震动工作30分钟,甚至泡水充电都毫无压力~

连评价都无法让人失望!作为一只电动牙刷!奥荣真的做到了优秀!好看的小哥哥小姐姐都开始入手啦~

心动不如行动鸭,在情人节到来之际,选对礼物就是选对心意。新的一年不只要拥有清新的口腔,还有甜到心里的笑容!

↓长按二维码,识别关注后即可购买↓