
《皮肤附属器肿瘤病理图谱》由北京医院皮肤科常建民教授将其积累20余年的病理资料整理、编著而成。
全书共四章,分别为毛囊肿瘤、皮脂腺肿瘤、外泌汗腺肿瘤及顶泌汗腺肿瘤,涵盖46种皮肤附属器肿瘤。常建民教授高度概括,用简明的文字、清晰的思路阐述了皮肤附属器肿瘤的病理特征,360余幅经典图片完美诠释了46种皮肤附属器肿瘤的病理改变,激发读者探索疾病奥秘的强烈欲望。
本书文字精练,条理清晰;图片精美,种类丰富,同一病种有较多不同病例的病理图片,适合皮肤科医师以及病理科医师参考使用。

常建民
常建民,生于内蒙古赤峰市喀喇沁旗,主任医师,医学博士。北京医院皮肤科主任,北京大学医学部教授,北京大学皮肤性病学系副主任,北京协和医学院博士研究生导师,中国医师协会皮肤科医师分会常委,中国医师协会皮肤科医师分会皮肤病理专业委员会主任委员,中华医学会皮肤性病学分会皮肤病理学组副组长,中国医疗保健国际交流促进会皮肤科分会副主任委员,北京医学会皮肤性病学分会副主任委员,北京市政协委员。
1988年考入北京大学医学部,1997年毕业获医学博士学位。2005年晋升为主任医师。2001年至2003年在英国卡迪夫大学医学院作访问学者,2016年12月至2017年3月在美国加州大学洛杉矶分校(UCLA)做访问学者。2011年被中国医师协会皮肤科医师分会评为优秀中青年医师,2012年被评为北京市优秀中青年医师。
担任《中华皮肤科杂志》《临床皮肤科杂志》《British Journal of Dermatology》《International Journal of Dermatology and Venerology》等杂志编委,《British Journal of Dermatology》中文版常务副主编。已经在皮肤病专业国内外核心杂志上发表论文 350余篇。主编《皮肤病理入门图谱》《皮肤黑素细胞肿瘤病理图谱》《皮肤附属器肿瘤病理图谱》《色素增加性皮肤病》《色素减退性皮肤病》《色素性皮肤病临床及病理图谱》《少见色素性皮肤病病例精粹》《女性外阴疾病》等专著。重点专业领域:白癜风及其他色素性皮肤病,女性外阴性皮肤病,皮肤病理诊断。
近日,收到常建民教授编著的《皮肤附属器肿瘤病理图谱》样稿,全书 200 余页,分 4 章,共介绍了 46 种疾病,附有近 300 余张病理照片。照片精美,病变典型,色彩逼真,文字介绍简练,使读者很容易学习和掌握疾病的病理学特点,是一本皮肤科医师及普通病理医师学习的好教材。
皮肤附属器肿瘤是皮肤科临床上相对少见的一类肿瘤。要将这类肿瘤几十个病种的病理图片收集齐全,需要较长时间的积累,更需要用心和对皮肤病理的热爱。常建民教授在近半年里夜以继日、勤奋忘我地工作,完成本部著作,非常令人敬佩。除本书外,常建民教授还编著出版了《皮肤病理入门图谱》《皮肤黑素细胞肿瘤病理图谱》《色素性皮肤病临床及病理图谱》等多本皮肤病理著作。如果没有长期静心学习和积累,不能耐得住孤独和寂寞,缺乏甘坐冷板凳的精神,很难取得如此成就。常建民教授平日的用心积累与专注,对专业的执着,非常值得国内同行学习。
在 2020 年疫情肆虐期间,常建民教授在他宝贝女儿的陪伴下,利用这难得的宝贵时间,完成了这本专著。这也是国内编著的第一本皮肤附属器肿瘤的病理图谱。相信这本书能够对皮肤科医师及普通病理医师专业知识的提高有所帮助,也希望能够得到大家的喜爱。

2020 年的春天,无论对于国家还是个人,皆可谓艰难。不能赴抗疫一线为国为民分忧解难,于本职工作岗位则应尽心尽力,尽职尽责。
望着窗外的阴霾,春寒料峭,地球似乎停止了转动。上苍把时间的表针调慢,似乎让我们静下来去思考、学习、总结。
时光宝贵,不可虚度。
开启电脑,翻阅着积存多年的皮肤病理图片,好像在重读每一个故事;打开切片盒,览阅珍藏数载的病理切片,犹如再次鉴赏每一颗珍珠。刹那间我忽生一念:何不让更多的同道一起来感受珍珠的璀璨?于是我决定编著《皮肤黑素细胞肿瘤病理图谱》及《皮肤附属器肿瘤病理图谱》。
自大年初二开始,便利用工作之余夜以继日地精选切片,扫描切片,挑选图片,修改图片,撰写正文。虽然时有头晕眼花,腰酸背痛,但是专注于此,可以无暇顾及各种烦恼的侵扰。
皮肤附属器肿瘤是皮肤科临床中比较少见的一类肿瘤,种类繁多。大部分肿瘤病理特征鲜明,令人兴趣横生。希望本书的出版能为大家学习皮肤病理有一点点帮助。
皮肤病理对于临床皮肤科医生尤为重要。本人虽努力学习多年,至今仍为门外之徒。对于很多病理知识,仍为一知半解,只知其一不知其二,或只知其表,不知其里。但无碍乐此不辍。犹如一京剧票友,于夜深人静之时,立于暗室之中,低声喊上数嗓,乃自我陶醉而已。
既然名曰图谱,应以图为主,文字尽量精少,图则多多益善。尽量提供不同倍数、不同视野、不同病例的病理图片。对于每一张图片的理解,仁者见仁智者见智,本人不去详尽注释,读者自行解读便可。
一部著作的完成,如同一个新生命的诞生。如有错误及不足之处,敬望大家批评指正。

第一章 毛囊肿瘤
1. 毛母细胞瘤
2. 色素性毛母细胞瘤
3. 毛发上皮瘤
4. 结缔组织增生性毛发上皮瘤t
5. 皮肤淋巴腺瘤
6. 毛囊痣
7. 毛囊瘤
8. 毛囊皮脂腺囊性错构瘤
9. 毛囊周围纤维瘤
10. 毛鞘瘤
11. 毛鞘棘皮瘤
12. 毛发腺瘤
13. 反转性毛囊角化症
14. 毛囊漏斗部肿瘤
15. 毛母质瘤
16. 扩张孔
17. 表皮囊肿
18. 粟丘疹
19. 毛发囊肿
20. 色素性毛囊囊肿
第二章 皮脂腺肿瘤
1. 皮脂腺痣
2. 皮脂腺增生症
3. 皮脂腺腺瘤
4. 皮脂腺上皮瘤
5. 皮脂腺癌
6. 多发性脂囊瘤
第三章 外泌汗腺肿瘤
1. 单纯汗腺棘皮瘤
2. 外泌汗腺汗孔瘤
3. 色素性外泌汗腺汗孔瘤
4. 外泌汗腺汗孔癌
5. 真皮导管瘤
6. 汗管瘤
7. 透明细胞汗管瘤
8. 结节性汗腺瘤
9. 实性囊性汗腺瘤
10. 外泌汗腺螺旋腺瘤
11. 圆柱瘤
12. 乳头状外泌汗腺腺瘤
13. 原发性腺样囊性癌
14. 原发皮肤筛孔样癌
15. 微囊肿附属器癌
第四章 顶泌汗腺肿瘤
1. 顶泌汗腺汗囊瘤
2. 乳头状汗管囊腺瘤
3. 乳头状汗腺腺瘤
4. 皮肤混合瘤
5. Paget 病
后 记
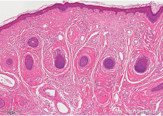
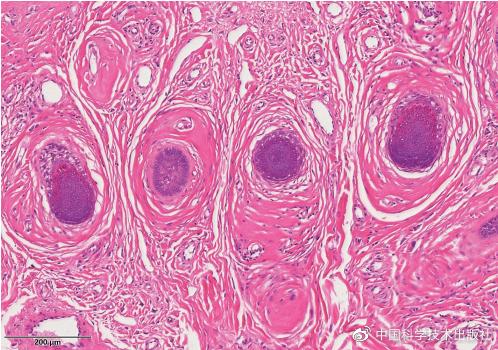
9. 毛囊周围纤维瘤
Perifollicular fi broma
◾ 是一种少见的毛囊周围的痣样损害
◾ 真皮内毛囊数目增加,多为毛胚和退化的毛乳头
◾ 毛囊周围出现同心圆排列的纤维组织,形成洋葱皮样外观
◾ 纤维组织与周围基质之间有裂隙
◾ 多发于成年人,好发部位为面部和颈部
◾ 多为单发皮色的丘疹或结节
◾ 质地较硬

毛囊周围纤维瘤:真皮内毛囊增多,周围纤维组织增生

毛囊周围纤维瘤:毛囊周围增生的纤维组织形成洋葱皮样外观,并与周围间质间有裂隙

毛囊周围纤维瘤:真皮内毛囊周围纤维组织增生

毛囊周围纤维瘤:增生的纤维组织形成洋葱皮样外观

毛囊周围纤维瘤:毛囊周围增生的纤维组织与周围间质间有裂隙