宝宝喜欢歪着小脑袋,把头侧向一边的可爱模样,往往让家长误以为是在卖萌。然而,真相可能并非如此单纯哦~家长们要注意了,这很可能是小儿肌性斜颈在作祟。
若宝宝总是歪脖子,而且不愿让大人帮忙转动,那可要警惕起来啦!宝宝的健康可容不得半点马虎哦~

“歪脖子”在医学上称为“小儿斜颈”,是由于一侧胸锁乳突肌纤维性挛缩 ,导致缩短,颈部向一侧编斜畸形 ,同时伴有脸部发育受影响,小于对侧,严重者导致颈椎侧凸畸形。
如何发现小儿肌性斜颈?
如果宝宝有以下几种情况,很有可能就是斜颈的信号:

1.头倾向一侧,下巴朝头倾方向的对侧肩膀
2.颈部出现硬块
3.脸部左右大小不对称
4.颈部活动受限制
如果宝宝有如上的表现,家长们也别担心哦!有彩超来助力!通过彩超检查,我们可以判断是否存在小儿肌性斜颈的问题:
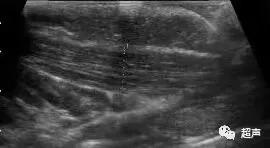
正常胸锁乳突肌彩超表现是这样的

肿块型胸锁乳突肌彩超表现是这样的

小儿肌性斜颈的治疗
先天性肌性斜颈越早治疗效果越好,3 个月以内的肌性斜颈患儿痊愈率最高,因为其病程处在早期,患侧肌肉尚未纤维化,富有弹性,且患儿此时疼痛觉尚不敏感,治疗纠正时抵抗少,包括局部热敷、按摩、卧位固定及手法牵引等,治疗师及家属容易操作。

先天性肌性斜颈若未能得到早期的诊断和治疗,随着患儿年龄的增长,会出现面部及头部的畸形,严重者可并发其他畸形如脊柱侧弯及椎体楔形变等。
1 岁以内的先天性肌性斜颈患儿有自愈的可能,非手术治疗的治愈率也很高;1 岁以上的肌性斜颈一般多采用手术治疗。
划重点
超声无创、无辐射,对软组织有较好的分辨率,可早期准确诊断先天性肌性斜颈,是临床首选的检查方法。
图文供稿:谷丽杰
互联网新闻信息服务许可证编号:41120201101
声明:原创文章版权属临颍县融媒体中心所有,转载请注明来源!部分内容和图片转自网络,如有侵权联系我们删除!