不知道大家有没有碰到过这种问题,有时候刷牙会突然发现牙齿有缝,并且有越来越大的趋势。很多人未必把牙缝大当回事,顶多觉得干扰进食体验,问题不大,可是一旦牙缝出现在前牙,则会对面部美观产生一定的影响,该怎样补救呢?
总的来说,解决牙缝大的常见方式有4种,我们来看看是哪些:
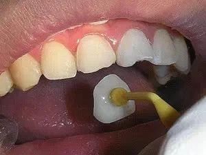
1.树脂充填

对于1~2mm的门牙牙缝,可以使用树脂美学修复,但不同于一般的修复,如果用修补材料直接充填牙齿缝隙,会存在刺激牙龈的风险,这对牙医来说技术含量较高。树脂充填的优点就是便宜、不损害健康牙体,缺点 就是材料容易脱落,需要定期维护。
2.牙齿贴面

很多群众会好奇明星的牙齿为什么又白又整齐,其实很多明星最原始的牙齿也不是都很完美,牙贴面对明星来说,功不可没。
相对于烤瓷牙来说,牙贴面只需要磨去牙齿表面一层,对牙齿造成的损伤很小,并且需要的时间也短。对于牙齿缺损、牙缝大、变色等,牙齿贴面都能方便的解决。它的优点是稳固、不易掉落,缺点就是可能会磨掉部分健康牙体,有一定的适用人群,并非每个人都可以做,具体要详细咨询专业医生。
3.全冠修复

也就是我们所说的烤瓷牙/全瓷牙,烤瓷牙能很好的解决牙缝大的问题,但如果只为了解决牙缝大而做烤瓷牙的话,一般情况牙医是不推荐的,因为烤瓷牙会造成大量牙体损失,这种修复方式不会用在活髓牙上,更多的是用在需要保护的死髓牙以及牙齿缺失处。
4.牙齿矫正

牙齿矫正利用生物力改建牙槽骨使牙齿移动,可保全天然牙,不用磨除健康牙体,是大部分牙医推荐的一种方式。正畸不仅可以解决牙缝大的问题,还能解决各种牙齿畸形。牙齿矫正相对于其他方式受益更大,但缺点就是价格昂贵,矫正周期较长,也不是所有人都适合矫正(具体需要详细咨询正畸医师),建议按照自己的实际情况和牙医提供的方案来处理。
不管是哪种修复方式,都需要先搞清楚是哪种因素导致的牙缝大,比如牙周炎引起的牙龈萎缩,导致的牙缝增大,这种情况应该先进行牙周治疗,然后再考虑修复牙缝。
【本文来源子和口腔官方公众号:cdzhkq】