人老了
不中用了
老掉牙了
在很多人眼中,掉牙和老是划等号的,但是30岁的小王,正值男人三十一枝花的年纪,也经历了一把“老掉牙”的经历。

小王最开始是在早上刷牙的时候发现牙龈出血,他没有当回事,换了一支声称可以止血杀菌的牙膏,出血就停了。这个小插曲他并没有放在心上,该吃吃该喝喝,两天一包烟,早晚一次刷牙,就这样过了一段时间。直到他发现自己吃东西的时候牙痛、骨头咬不动、牙齿有松动的时候,才开始有点慌张。去到医院,医生说这是严重的牙周炎,大部分的牙齿都保不住,需要拔掉,他无法相信,自己年纪轻轻就要经历“老掉牙”。

什么是牙周炎
牙周炎又叫牙周病,是牙齿周围的牙龈、牙槽骨的慢性炎症,简单地说,就是牙床发炎了,造成其发炎的罪魁祸首是牙菌斑。关于牙菌斑,之前在牙结石的那篇文章里有详细说明,感兴趣的朋友可以去看看,在这里就不详细说明了。
临床上的牙周炎患者,大都是因为不重视口腔卫生、无视牙结石的危害,引发牙龈炎后又拖延治疗,最后导致牙周炎。想要预防牙周炎,就要从源头遏止,口腔卫生必须重视起来。

牙周炎的症状
1、刷牙时牙龈出血
牙龈出血是个很常见的症状,很多人都觉得是“上火”导致的,实际上,这是牙周炎最早期的症状之一,也是最明显的症状,可惜很多人都会无视它。
出现牙龈出血,就意味着你的牙龈发炎了,需要上医院看口腔科医生。如果你不重视这个症状,那么轻度的牙周炎将会向重度牙周炎进军。
2、牙周袋形成
我们正常牙龈和牙根之间有个沟叫牙龈沟,正常的牙龈沟大约2mm深,如果龈沟加深超过3mm,形成袋状的结构,叫做牙周袋。牙周袋形成是牙周炎的标志。

3、口臭
引起口臭的原因有很多,其中牙周炎是一个重要的原因。牙周炎造成牙龈出血,组织发炎,致病的细菌产生代谢产物都会造成口臭。
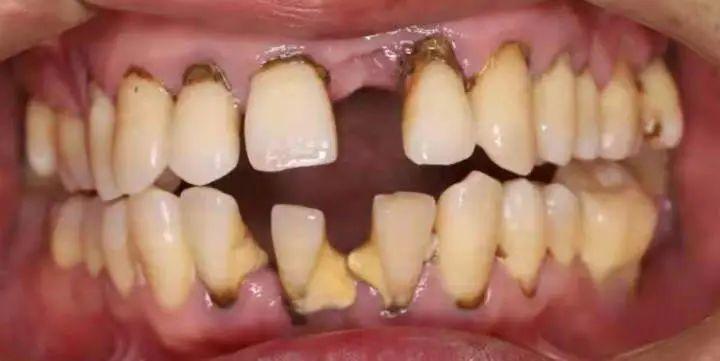
4、牙缝增大、牙齿松动
牙周炎会导致牙龈和下方牙槽骨退缩,把本应由牙龈和牙槽骨占据的空间暴露出来,就会看着牙缝越来越大。牙槽骨退缩,支持牙齿的力量不足,就会出现牙齿松动、移位,最后导致牙齿脱落。

牙周炎该怎么治疗
牙周炎分轻、中、重度。
如果是轻度,就要去除病因,也就是牙菌斑和牙结石,通过龈上清洁或者龈下刮治的方法去除菌斑和牙结石。
如果是中度,轻度的办法没有办法清除牙周袋深部的感染,这个时候就需要施以牙周手术达到更进一步的清洁,如翻瓣清创手术。在某些情况下,清创后还会置入骨粉、再生膜、再生基质等材料,可以促进牙槽骨的修复,这就是牙周再生手术。
如果是重度,没有办法保留牙齿,就只能把牙齿拔除,避免进一步破坏周围牙槽组织。牙缺失后建议做种植牙。

说了这么多,就想告诉大家,有症状就要及时去医院找专科牙周医生治疗,中度以上的牙周炎都可以保存牙齿!
可能有的朋友觉得,“掉了再种牙就是了,反正迟早都要掉”。
呃,如果你有在口腔开奔驰的财力,那小罗也不好说什么,如果你没有,那小罗建议,还是要及时就诊,莫要让拖延症害了你的钱包。
想要了解更多口腔医学科普知识,请关注罗湖医院口腔科木主任
文中图片均来源于网络,若有侵权,请联系删图。