文/喵手回春
全文约2200字,阅读完成时间约为5分钟

本文由头条号“喵手回春”作者原创,未经同意请勿以任何形式转载或抄袭,违者一律举报!
膀胱结石是泌尿道结石的一种疾病,近年来随着城市宠物猫的饲养量增加,饲料营养越来越精细化,该病已成为猫的常见病,并呈上升趋势,且公猫的发病率高于雌猫。
对公猫来说,发生膀胱结石很容易导致膀胱阻塞,这是一种非常紧急且后果严重的症状,致死率非常高,如果没有及时治疗,患病猫会在24至48个小时内发生肾衰竭死亡。

一、膀胱结石的发病原因
猫膀胱结石的发病原因一般认为与代谢紊乱和尿道感染有关,另外,不科学饲养也很容易导致结石的发生。
★泌尿道结构 猫的生理原因是导致本病的重要因素,猫泌尿道狭窄,尿液中的析出物结晶易形成结石堵塞尿道。
★尿道感染 当细菌、病毒等感染尿道时,病原微生物在尿道和膀胱内大量繁殖,引起炎症造成膀胱和尿道的上皮细胞脱落,聚积形成晶体沉淀物。
★饲养管理 饲喂日粮配合不当,如长期饲喂含有较高的钙、磷、镁等矿物质或者矿物质比例失调的食物,尿液中的无机盐浓度高,容易形成结晶。长期大量饲喂高蛋白、高营养的干猫粮而饮水不足,尿液中代谢物浓度较高,易析出形成结晶,在膀胱和尿道中储留,引起结石。

二、临床症状
发病初期猫咪食欲正常,随后食欲减退或不食,初、中期经常呈现排尿减少或排尿困难,后期不排尿。尿道不完全堵塞时,出现排尿困难,排尿痛苦,尿液呈滴状排出;尿道完全堵塞时,出现排尿时无尿、腹围增大等症状。

三、临床诊断
★触诊
出现排尿困难、尿频等症状时要触诊检查腹部,若触摸到腹部平坦,则说明无尿或者少尿,可能是尿道受到刺激的原因;若触摸到膀胱充盈,腹壁紧张,则说明尿路发生阻塞,应进一步检查。注意:若腹部膨大,切忌在触摸过程中太过用力,以免充盈肿胀的膀胱因外力的作用而破裂。

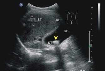
★B超检查
对膀胱充盈的猫可直接进行B超检査,正常的膀胱超声图像呈1个无回声的液性暗区,若有结石,图像上会出现较明亮的强回声光点或团块,伴有明显的声影。结石会随着动物体位的变化而变化,小的结石或结晶等会在膀胱中上下沉浮,通过改变动物的体位,观察强光点随着体位改变的变化,借此方法可以排除肿瘤等其他原因引起的强回声反射。炎症情况下或结石长期刺激,有时可见增厚的膀胱壁。

四、治疗方法
★保守治疗
当猫出现排尿困难,不能自身排出尿液时,用导尿管进行冲洗。将无菌导尿管缓慢插入尿道,助手从腹壁外侧按压膀胱,将膀胱内的尿液导出,然后经导尿管注入温热的0.9%无菌生理盐水反复冲洗,然后快速拔出导尿管,此时尿道压力突然下降,结石会随着快速流出的液体排出体外。结石冲洗干净后可用麻佛微素0.1mL/kg肌肉注射控制感染,每日用药1次。同时配合口服“咪尿通”长期治疗,此药30粒胶囊为1盒,初始每天早、晚各1粒,连用3-4周后改为每天1粒。

★手术治疗
若保守治疗无效或病情危急,确诊为膀胱结石时,需实施膀胱切开术进行疏通尿道。
①术前准备:手术器械常规消毒,根据猫体重肌肉注射阿托品0.04mg/kg麻前用药,再注射苏眠宁0.1mL/kg进行麻醉,待猫开始出现麻醉反应后,用异氟烷吸入麻醉。然后将猫仰卧保定,手术部位剃毛,碘酊消毒,再用酒精脱碘,在术部铺上创巾。

②术式:术者沿腹白线切开皮肤,显露膀胱,助手用两指握住膀胱底部,小心将膀胱引出创口外,用温热生理盐水浸润的纱布放在暴露的膀胱的底部,防止液体流入腹腔。切开膀胱,用备好的无菌匙舀出膀胱内的结石,结石基本清理干净后,在尿道口插入导尿管,然后从尿道口往膀胱内用温热生理盐水冲洗尿道,若冲洗时有阻力,则说明尿道内仍有结石,需继续冲洗,直至注入生理盐水时无阻力并见尿道口能像正常排尿时有液体排出时则说明结石已经冲洗干净。最后缝合膀胱、皮肤,手术结束。

③术后护理:麻醉后未完全苏醒前必须禁食、禁水,避免撞伤和摔伤,保持安静,注意保暖。术部伤口用纱布或者敷贴进行包扎隔离,以免猫摩擦和舔舐引起感染。通常情况下1周后拆线即可。
五、预防
1.通过了解猫平时的饲养及生活习惯因素,找出致病原因,并在日常饲养中尽量消除或控制发病因素,通过改变饮食等控制结石形成。
2.在日常饲喂中日粮应尽量选择处方粮,对猫的营养进行补充和调和。

3.在饮水方面,每天应保证猫的饮水充足,并要经常换水,摄水量不足会使尿液盐类浓度过高而形成晶体结石,条件允许的话可以买一个智能饮水机,可以大大提高猫咪饮水的兴趣。另外还要加强猫的运动,增强机体代谢和抵抗力。

4.定期做B超检查、生化检查及炎症反应的检查,做到早发现早治疗,早期治疗可大大提高膀胱炎及膀胱结石的治愈率。
六、结语
猫咪膀胱炎其实并不可怕,可怕的是没有及时发现和治疗。在饲喂过程中,很多铲屎官经常会忽略猫咪排便这个重要环节,其实很多疾病的症状都会体现在猫咪排便的过程中,除了关注粪便的性状,还要观察猫咪排便行为是否规律,有无异常。膀胱结石早发现早治疗基本不会有什么问题,一旦到了疾病晚期,慢一秒钟治疗都会大大降低治疗的成功率。
参考资料:
[1] 刘宏锋. 42 例猫下泌尿道疾病临床诊断与治疗的回顾 性分析[D]. 长春: 吉林大学,2017.
[2] 何纪稳,唐晓霞,陈慧芳. 猫犬膀胱炎及尿道炎临床 诊断及治疗[J]. 动物医学进展,2001( 1) : 85-86.
[3] 赵莉. 猫下泌尿道疾病的临床诊断和治疗[D]. 咸阳: 西北农林科技大学,2014.