“得了高血压,药物一大把”很多患者目前都处在这种头痛医头、脚痛医脚的被动治疗里,殊不知到底是不是吃对了“药”。肾性高血压是一种因肾脏实质性病变及肾血管病变引起的继发性高血压,光靠药物降压,不如找对病根,针对性的治疗。彩色多普勒超声在肾性高血压辅助诊断及病程进展等方面具有重要作用。
一、“肾”是参与血压调节的重要环节

二、超声技术在肾性高血压中的应用:
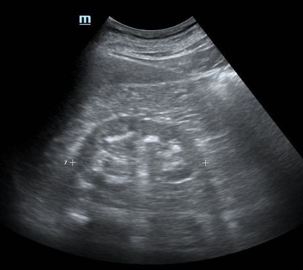
(1)肾实质病变引起的高血压患者中,以尿毒症、慢性肾小球肾炎、狼疮性肾炎等多见,超声可以直观的观察肾脏体积的变化、肾皮质厚度、肾实质回声、彩色血流信号等以判断肾实质病变的进展;多囊肾、肾肿瘤等异常占位性病变,超声可以准确的判断占位大小、形态、血流等情况,为治疗提供可靠的依据。肾脏实质病变多伴有肾血管性病变。

图1
(2)肾血管病变引起的高血压患者中,以肾动脉硬化为著,彩色多普勒超声多表现为肾动脉血流速度增快、加速时间延长、血流阻力指数升高,二维超声还可以测量动脉管腔及内径等准确的判断肾动脉情况,为临床治疗提供可靠的依据。

图2
在原发性高血压患者中,靶器官损害也包括肾脏的损害,所以无论您是哪一种高血压,建议常规进行肾动脉超声检查。(肾动脉超声建议早上空腹检查,避免肠气的干扰)。
文/超声科 刘春香
北京小汤山医院
医保号:14110019
电话:010-61781818
