
专栏主编
刘爱华
主任医师、教授
博士生导师
北京市神经介入工程技术中心副主任
中国卒中学会神经介入分会*党**建书记
中国卒中学会神经介入分会秘书长
中国医师协会科普分会神外专委会主任委员
中国青科协生物医药常务秘书长
北京医师协会神经介入分会秘书长
北京医师协会神经介入分会青委会主任委员
擅长脑动脉瘤、脑血管狭窄支架成形与脑血管畸形等微创介入治疗,脑血管病先后获省部级奖7项,先后承担国自然、科技部等课题12项,已发表学术论文107篇(Neurology、Stroke等SCI论文62篇),已获发明国家专利4项,培养硕士生14名,博士生4名。

第9期

作者:金恒伟 霍晓川 刘爱华 缪中荣
单位:北京天坛医院
病例简介
患者,男性,53 岁。
主诉:发现右侧大脑中动脉M1段动脉瘤2周。
现病史:患者2周前,因头痛在当地医院检查,MRA示右侧大脑中动脉M1段动脉瘤;后在当地医院行DSA检查,诊断右侧大脑中动脉M1段动脉瘤。
既往史:高血压病病史10余年,服用“硝苯地平缓释片”控制;“偏头痛”病史3年。
神经查体:未见明显阳性体征。
辅助检查:心电图、胸片、生化指标未见明显异常。
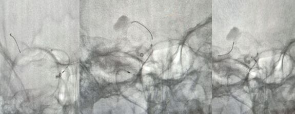
术前造影:

治疗过程简述
1、造影后显示右侧大脑中动脉M1段动脉瘤,路径图引导下由Traxcess(0.014,200 cm)微导丝携带Marksman支架微导管超选进入右侧大脑中动脉M2段远端(图一)。

图一
2、Pipeline密网支架释放过程,图像显示支架打开及贴壁良好(图二)。

图二
3、术后支架显影(图三)。

图三
4、术后影像(图四)。

图四
术后情况
-
患者一般情况可,神经查体无阳性定位体征。
-
术后常规继续服用“双抗”,给予甲强龙80 mg静点,补液处理。
-
手术18小时后患者出现言语含糊、左侧中枢性面舌瘫,左侧肢体偏瘫。
-
神经查体:神志清楚,言语含糊,双侧瞳孔等大等圆,直径约3.0 mm,光敏,眼球活动度可,无凝视,左侧鼻唇沟浅,伸舌左偏,左侧肢体肌力0级,右侧肢体肌力5级,左侧肢体肌张力弱,左侧巴氏征阳性。
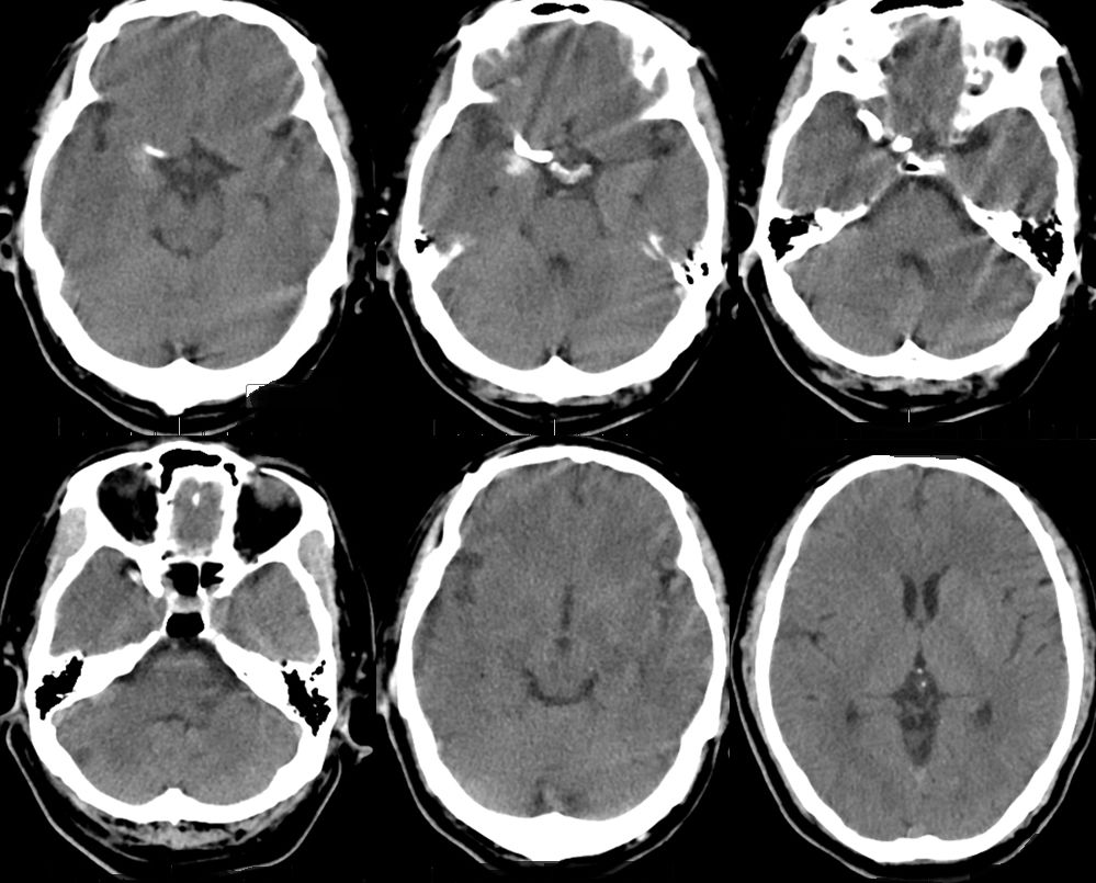
1、术后18小时CT(图五)。

图五
2、术后18小时急诊DSA(图六)。

图六
DSA术前后对比(图七)。

图七
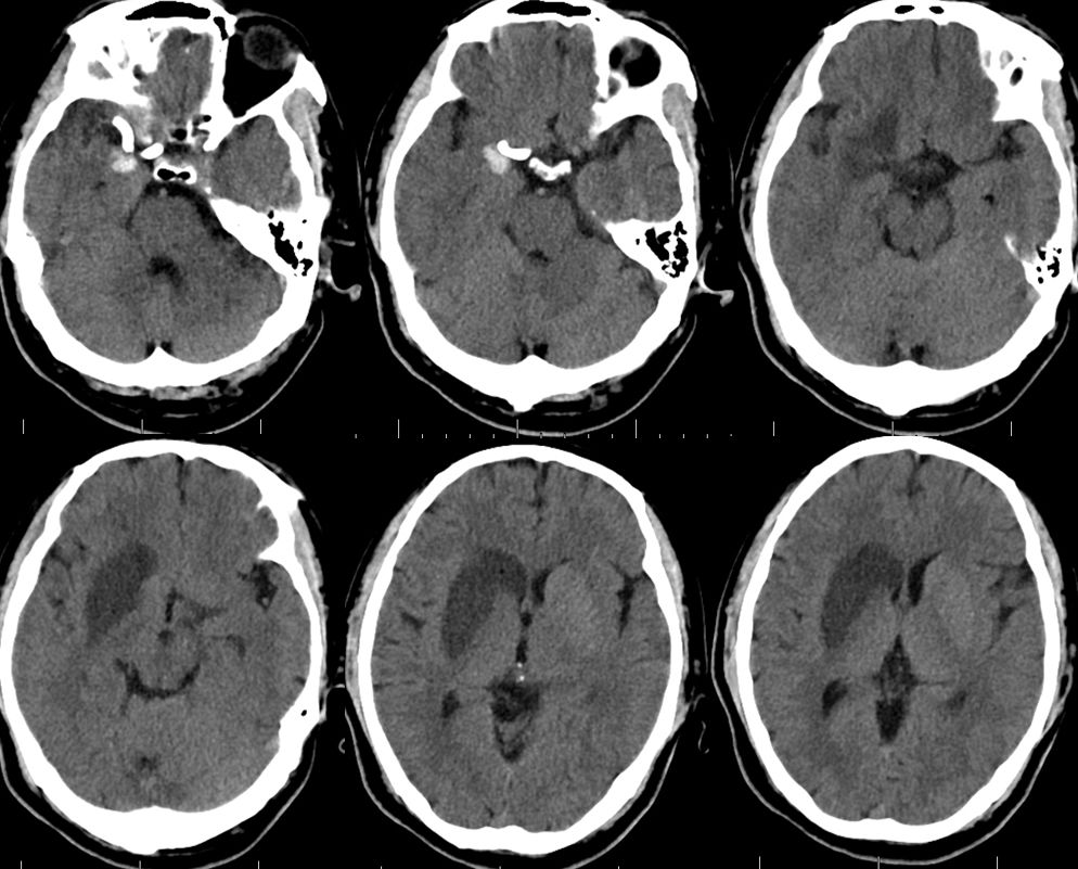
术后3天CT(图八)。

图八
思考
1、此病例动脉瘤术*考前**虑的关键点:
1) 近端狭窄:血管条件好,无硬化表现,靠支架的径向支撑力使管径增加,降低了血栓形成的风险。
2) M1段+豆纹动脉从瘤体发出。
2、瘤体有穿支(功能区)的动脉瘤,密网支架治疗适应症?
术者寄语
此患者为一53岁的男性患者,因发现右侧大脑中动脉M1段动脉瘤2周而住院治疗。从患者影像学资料分析,患者动脉瘤的形态学很不稳定,而且有明显增大的趋势,血流滞留很明显,考虑夹层动脉瘤可能性较大。患者有头痛的病史,对比两周前的影像资料,动脉瘤有增大趋势。患者治疗意愿比较强烈。造影结果显示,患者夹层动脉瘤上方有一较大的分支动脉—豆纹动脉。请神经外科会诊,会诊意见:手术干预难以保留豆纹动脉,开颅手术不具有治疗优势。与患者及患者家属沟通后,患者及患者家属积极要求介入治疗。
术前讨论:如何使患者获得最大受益?因为是夹层动脉瘤,如果填圈治疗,一是外侧豆纹动脉会即刻闭塞,更易引起临床症状;二是填圈治疗有使夹层动脉瘤撕开、出血的风险。所以经讨论我们决定采取一种折中方案,只放密网支架而不填圈的手术方式。我们希望通过密网支架的支撑,使夹层动脉瘤慢慢消失。通过慢性闭塞,给夹层动脉瘤上方的豆纹动脉部位一个代偿血管增生的时间,减少患者发生偏瘫的概率。经过精准测量后,选择合适支架。术中手术顺利,术后进行血管三维重建,密网支架放置良好,贴壁良好,可以清晰的看到豆纹动脉。术后患者回到病房后,一般情况良好。术后18小时后患者出现言语含糊、左侧中枢性面舌瘫,左侧肢体偏瘫,CT排查出血后考虑是患者夹层动脉瘤上方的豆纹动脉闭塞引起的症状。立即行全脑血管造影,发现豆纹动脉确实消失。确定豆纹动脉消失是引起患者临床症状的一个主要原因。这是天坛医院第一例在密网支架植入术后第一天就复查造影的患者。造影结果让我们惊喜的发现,密网支架治疗后,不到18个小时,患者的动脉瘤几乎完全消失。从而证明,我们的手术通过精准测量,选择合适的密网支架对夹层动脉瘤的治疗效果以及夹层的修复效果是非常明显的。当然,患者出现穿支动脉的闭塞,是我们术前充分考虑的,且无法避免的一个并发症。术后给予神经康复,高压氧治疗,患者有明显的好转趋势。我们希望通过后续的康复治疗可以使患者的生活接近正常,同时我们也在密切随访患者,希望患者动脉瘤完全消失,并且正常生活。

神经介入在线作为中国卒中学会神经介入分会的官方公众号,现已成立三年。作为最早创建的神经介入专业的学术交流平台,由缪中荣教授团队倾力打造,秉承合作、创新、交流的宗旨,为医务工作者提供国内外神经介入领域最新资讯、指南,聚焦难点深度评论,引领学术前沿。
2019年致力搭建神经介入领域国内外最新医学资讯、研究进展、病例讨论、趣味科普等各项学术交流互动共享平台,整合医疗资源,发挥联盟优势,风雨共济,守候健康,我们在这里等你!