【说明】本文约2414个字符。认真阅读不超过10分钟。
【以案说医】
“躺平就好”四处求医愁煞全家人
巧断病因封堵成功再登华山巅
【1】怪病难断 到处住院心灰意冷
甘肃患者王先生,男,58岁。因间断性活动后胸闷气短、呼吸困难4年,在当地数家医院反复住院,先后诊断为“冠心病”、“脑梗死”及“肺部感染”等疾病。并因“呼吸功能衰竭”,多次行气管插管及有创呼吸机辅助通气治疗,但效果均不明显。近1个月,王先生出现咳嗽,胸闷气短、呼吸困难加重,万般无奈之下,住进西安交通大学第一附属医院。
【2】多方检查病因 依旧云遮雾罩
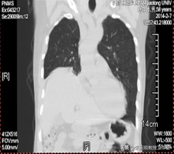
王先生既往无高血压、糖尿病、房颤病史,吸烟史30年,平均20支/日,已戒烟2年。入院后查体:血压正常,言语欠流利,左侧鼻唇沟稍浅,伸舌稍偏左。右下肺叩诊浊音、呼吸音减弱,心律齐,心音有力。腹部未发现异常。入院后除血气分析发现氧分压很低(46mmHg),二氧化碳分压正常(40mmHg),余血液各项检查均正常。医生给予无创呼吸机辅助通气,抗感染、平喘化痰等治疗,但治疗效果不佳。为查明病因,医院先后做了多项检查,胸部CT:右肺中叶肺不张、右肺下叶炎症、右肺上叶肺大泡、右肺下叶钙化灶、右侧膈肌抬高、纵隔淋巴结钙化;头颅CT:多发腔隙性脑梗死。

图1 胸部CT:右侧膈肌抬高、纵隔淋巴结钙化

图2头颅CT:多发腔隙性脑梗死
支气管镜检查:双侧支气管粘膜炎症改变、右下叶后段支气管粘膜炎性改变;24小时动态心电图未见心律失常,256层冠脉和肺血管CT均未见异常。心脏超声和腹部器官超声检查亦未见异常。不幸的是医院仍难以找不到解释王先生病情的原因。


图3冠脉和肺血管CTA
【3】“直立”缺氧 细心女博士发现端倪
王先生的主管医生,是一位医术高超心细负责的女博士。她反复观察发现了个现象:王先生平躺气短明显好转,但坐起气短加重,与一般心肺血管病变不相符。女博士认真与家属及王先生交流得知,王先生主要是坐起或下地活动后气短、呼吸困难。进一步检测发现,王先生在持续吸氧状态下(氧流量6-8L/min),平卧位时氧饱和度可达到98%,坐位时胸闷、气短加重,氧饱和度仅有85%;不吸氧状态下,平卧位时氧饱和度为93%,坐位时胸闷、气短加重,氧饱和度仅有78%。多次血气分析平卧位时氧饱和度92-93%,氧分压为80-83mmHg;半卧位氧饱和度75-80%,氧分压为45-48mmHg。可见,王先生存在体位性低氧血症。【4】众手巧断体位性低氧血症是嘛回事为了搞清楚体位性缺氧的病因,医院组织相关专家进行一次全院大会诊:
呼吸内科:1.患者右肺中叶肺不张,右肺下叶炎症,右肺上叶大泡,不能解释体位改变引起氧饱和度改变;2.患者无发热寒颤、咳嗽咳痰,血象正常,排除重症感染性肺炎、肺结核,抗感染治疗已足疗程,低氧血症无改善;3.患者右侧膈肌上抬,考虑膈神经麻痹或先天膈肌发育不良,与体位性低氧血症关系不大。
神经内科:1.患者1月前新发脑梗死,心脑血管危险因素少,遗留症较轻微:言语欠流利及口角稍歪斜,无肢体活动不灵及残疾;2.头颅CT提示多发腔隙性脑梗死,颈部血管超声未见异常,无动脉硬化斑块形成;3.多发腔隙性脑梗死与膈神经麻痹无关,与产生低氧血症关系不大。
消化内科:腹部超声及CT未见异常,肿瘤因子阴性,排除因消化道占位或肿瘤引起膈肌上抬。
心血管内科:患者心电图正常,冠脉CTA未见明显异常,肺动脉CTA未见肺栓塞及肺动脉瘘或肺动静脉异位分流,排除了冠状动脉粥样硬化性心脏病及肺动-静脉瘘。
结构性心脏病科:常见原因解释不了患者的体位性低氧血症,应考虑有无罕见原因所致。近年,国外文献报道一种罕见病:斜卧呼吸-直立缺氧综合征,其特点与王先生的病情相似,多发生于有肺脏病变的患者,如肺切除、反复肺栓塞、肺不张、慢性肺脏疾病等。现代观点认为与卵圆孔未闭(PFO)有关,在坐位或站立时,PFO开放更大,大量右向左分流的低氧可能会引起缺氧。遗憾的是经胸超声未发现PFO,但考虑超声是在床旁做,患者有肺部疾病,可能影响其敏感性,因此不能除外合并PFO。需做发泡试验进一步判断是否有PFO。【5】发泡实验一击即中廓清谜团医院迅速给王先生进行了TCD和经胸超声发泡实验检查,分别发现静息状态下即刻监测到大量(雨帘状)微栓子信号;及左心内可见大量微气泡显影(整个左心腔呈混浊状)。可以诊断为PFO。考虑经未闭的卵圆孔引起右向左分流,而患者的右侧膈肌上抬加重了分流量,从而引起低氧血症,直立位时右向左分流更为严重。

图4cTCD:静息状态下刻监测到大量(雨帘状)微栓子信号
当医生拟对王先生行卵圆孔未闭封堵术时,家属和王先生顾虑重重,担忧手术后症状是否可以消除等等。张玉顺教授反复与家属和患者沟通,最终医患达成了一致,同意行PFO封堵。
【6】封堵成功 手术成功再现大医神力
张玉顺教授团队,是全国技术力量最强、最有经验的PFO医疗团队,他们的优先考虑是,这个手术不复杂,关键是,术后能否改善患者症状。为此,他们先用球囊实验封堵,观察血氧变化,看是否有效。果然,如术前预计的那样,在球囊实验封堵前,王先生平卧位,股动脉氧分压63.6mmHg,氧饱和度92.8%;半卧位,股动脉氧分压48.2mmHg,氧饱和度85.7%;球囊实验封堵后,王先生平卧和半卧位氧分压无变化,均为股动脉氧分压72.0mmHg,氧饱和度95.8%。证明有效后,医生迅速更换了永久封堵器,结束了手术。

图5球囊试验封堵
术后王先生胸闷气短症状即刻得到改善,未吸氧状态下测经皮氧饱和度为97%,平卧位与直立位一致,氧分压由46mmHg上升至76mmHg。术后随访1月复查血气分析:平卧位,桡动脉氧分压79.3mmHg,氧饱和度95.4%;立位,桡动脉氧分压83.6mmHg,氧饱和度96.5%;平卧位与直立位基本一致,日常生活不受影响。
术后半年,王先生可以正常跑步了。
【链接】斜卧呼吸-直立缺氧综合征
斜卧呼吸-直立性低氧血症(platypnea-orthodeoxiasyndrome,POS)是以体位性低氧血症伴有呼吸困难为特征的罕见综合征,其特点为立位时气短明显加重,氧饱和度及氧分压明显下降,卧位时缓解,其发生机制尚不明确。这种综合征最常见于有肺疾病史的患者,如肺切除、反复肺栓塞或慢性肺疾病,而肺动脉压多正常。近年来越来越多的以POS为临床表现的疑难病例发现存在PFO,并经过PFO封堵后患者POS症状明显好转,甚至痊愈。西安交大张玉顺教授团通过封堵PFO,已治疗多例POS。
【声明】本文为原创首发学术\科普文字,转载请开白申请。
请关注“张玉顺教授工作室”抖音号
