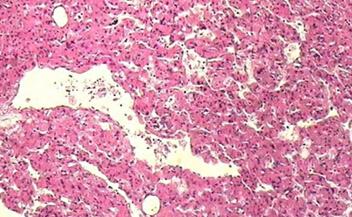
肾错构瘤,是最常见的肾脏良性肿瘤。因为在显微镜下看到的主要成分有:血管、平滑肌及脂肪组成,所以也称 肾血管平滑肌脂肪瘤。

错构瘤中血管、平滑肌、脂肪成分含量因人而异
临床上分为两种类型:一是散发型错构瘤,即不伴结节硬化型,多为单侧、孤立肿瘤,女性好发,常见于20-50岁,我国此类多见。 二是结节性硬化症患者,是常染色体遗传的家族性疾病,常常合并脸部皮质腺瘤、脑、眼等病变,多为双侧,多发,需要结合临床表现和基因检测确诊。
肾错构瘤的临床表现:一般无症状。部分患者因为瘤体破裂,导致腰部疼痛,出现血尿症状,甚至合并高血压、发热、贫血、肾功能不全的症状。临床表现与肿瘤大小密切相关。

随着错构瘤增大,会有腰痛症状

严重者,导致错构瘤破裂,形成后腹膜血肿或是肉眼血尿
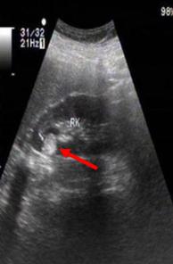
诊断通常依赖B超和CT或MRI:B超下表现为高回声结节,当然偶尔会有混合回声。CT通常显示肿瘤内部有极低密度值的脂肪成分。部分乏脂性错构瘤诊断较为困难,需依靠病例确诊。

B超下典型表现为 高回声结节

CT上的表现为低密度灶,脂肪成分越多,密度越低;但是有些因为平滑肌成分为主,需要和肾癌相鉴别

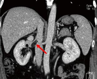
虽然错构瘤为良性肿瘤,但是部分病例有恶性生物学行为,图中箭头所示错构瘤长入下腔静脉,形成腔静脉内瘤栓
错构瘤的治疗:
1、如果是结节性硬化症,肾功能正常,症状轻微,可密切随访。肿瘤大于4cm,半年随访;小于4cm,可以一年随访一次; 如果肿瘤过大,甚至已经有破裂出血,或是合并肾功能不全肾孩子衰竭的情况,手术治疗。
2、散发错构瘤:一般无症状患者,小于4cm的患者可考虑随访,大于4cm建议保肾手术。 若肿瘤过大或是破裂出血或是出血风险极大,可考虑DSA肾动脉栓塞术。
总的原则是 一是保命、二是保肾。极少数错构瘤有恶性生物学行为,形成静脉瘤栓或由侵袭行为(见上图),需积极手术治疗。本科室完成了2例错构瘤合并下腔静脉瘤栓的患者,手术方式是 下腔静脉瘤栓取出术+工作台肾错构瘤切除术+自体肾移植术,成功的为患者保住了 肾脏。