
患者男性,29岁,主因「发热7天,呼吸困难1天」急诊入院。
病历摘要
患者7天前出现发热,体温最高39℃,伴乏力,无寒战;5天前出现咳嗽、黄痰,伴恶心、呕吐、腹泻;1天前仍发热,并出现迅速加重的呼吸急促。
当天夜间就诊于发热门诊,甲乙流筛查均阴性,血气分析「pH 7.48,PaCO228mmHg,PaO2 48mmHg」,I型呼吸衰竭,胸片提示「双下肺炎症」,诊断为「重症肺炎、呼吸衰竭」。
当天凌晨转入急诊抢救室,给予无创通气治疗(EPAP 8cmH2O,纯氧),并予亚胺培南/西司他丁、莫西沙星经验性抗感染治疗,但监测血氧饱和度仍持续低于90%,血气分析中PaO2 35mmHg;
次日上午即刻予气管插管、机械通气,给予高PEEP(18~22cmH2O)及纯氧吸入,但血氧饱和度仍在80%左右波动。经急诊科、呼吸内科、心脏外科联合会诊,由心脏外科于抢救室置入腔静脉套管并给予V-V ECMO治疗,流速3800转/分,血流速4.2升/分左右,监测外周血氧饱和度可恢复至90%以上。此后行胸部CT「双肺渗出、纵隔气肿、双侧少量胸腔积液」,收入内科/呼吸重症监护一病房继续治疗,入监护病房后经鼻胃管回抽出暗红色血性胃内容物,这意味着出现了很要命的消化道出血。
既往>>
此次起病前1周,其子曾「发热」 ,其父母均有「上感」表现。
入院查体>>
T 36.9℃,P 60次/分,R 20次/分,BP 86/56mmHg,SpO2 94%。镇静及肌松状态;左肺可闻及管状呼吸音,双下肺可闻及湿罗音;心律齐,未闻及杂音及额外心音;腹软,肝脾肋下未触及,肠鸣音减弱;双下肢无水肿。
辅助检查>>
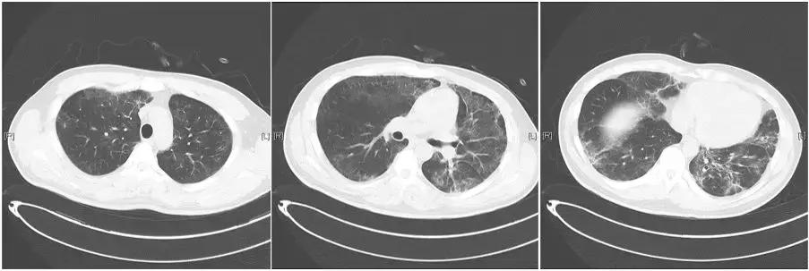
血常规:WBC 5.06×10^9/L,N 82.0%,HGB 141g/L(此后复查为90g/L),PLT 123×10^9/L。血生化:ALT 137U/L,AST 462U/L,CK 18642U/L,CKMB 536U/L,Cr 109μmol/L(此后复查为203μmol/L),K 3.29mmol/L,Na 123.9mmol/L。血气分析(无创通气,EPAP 8cmH2O,FiO2 100%):pH 7.44,PCO2 31mmHg,PO2 35mmHg,HCO3- 21.1mmol/L,Lac 1.3mmol/L。PCT:22.0ng/ml。血、尿肌红蛋白均为阳性。胸部CT【图1】:双肺多发磨玻璃,双下肺大片实变影,纵隔气肿、双侧少量胸腔积液。

【图1】入院时胸部CT
初步诊断:
重症肺炎,重度急性呼吸窘迫综合征(ARDS),纵隔气肿,上消化道出血,横纹肌溶解症,急性肾损伤
总结病例特点
青年男性,病程凶险,发热、咳嗽、咳痰、进行性呼吸困难,胸部CT提示双肺多发磨玻璃影、双侧重力依赖区实变影、纵隔气肿。流感季节起病,且儿子与父母均有流感样症状。

诊治经过
1、明确感染的病原体,积极、充分抗感染治疗
入监护病房后即刻行床旁支气管镜检查并留取支气管肺泡灌洗液,灌洗液病毒核酸检测提示为新甲型H1N1流感病毒核酸阳性;H7N9、单纯疱疹病毒、呼吸道合胞病毒、腺病毒、柯萨奇病毒、肠道病毒核酸检测阴性;支原体、衣原体、军团菌核酸及抗体检测均为阴性;细菌培养、真菌培养均阴性。
此外,入院后进行了血液培养(深静脉置管后),提示头状葡萄球菌,考虑合并导管相关血流感染。尿肺炎链球菌抗原:阴性。
最终诊断:
重症甲型H1N1流感病毒性肺炎
急性呼吸窘迫综合征(重度)
治疗上相应给予奥司他韦抗病毒、万古霉素治疗葡萄球菌血流感染,患者机械通气,留置中心静脉导管、ECMO腔静脉套管、胃管、尿管等多种侵入性操作,且病情危重,故在上述抗感染基础上联合亚胺培南/西司他丁治疗可能的革兰阴性杆菌感染。
2、体外膜氧合支持:氧合就是生命!
ECMO是治疗重症ARDS的重要手段之一,但该患者存在以下两个主要问题:
1)上消化道出血,肝素抗凝禁忌
这时ECMO的抗凝策略怎么办?
上消化道出血的治疗:禁食、抑酸、生长抑素、补液、输血;出血停止后给予鼻饲。
早期(第1~3天)采用无肝素抗凝方案,监测血红蛋白、胃液潜血、大便潜血等指标,第4天,在消化道出血停止后,先给予小剂量肝素(2mg/h)抗凝,密切观察消化道病情,在无新发消化道出血的为前提下,采用联合监测APTT及ACT的方法,以APTT延长1.5~2.0倍为主要抗凝目标,以ACT 140~160秒为辅助抗凝目标,逐渐调整肝素剂量,维持ECMO正常工作并将出血风险尽可能降至最低,治疗期间未更换体外膜式氧合器。
* 注:指南中推荐的抗凝目标值:APTT 60-80秒或ACT 160~200秒
2)患者体型高大
ECMO体外泵转速已接近4000rpm,但相应的血流速仍难以满足全身脏器最为理想的氧合需求,而增加转速可能导致血细胞在外周破坏增加。
早期深度镇静、降低氧耗,保证重要脏器氧供,减少脏器损害等并发症。在纵隔气肿吸收缓解后,调节机械通气参数,进一步改善氧合。在患者肺功能逐渐恢复、机械通气可以提供基本氧合需要后,及时撤除V-V ECMO,避免长时间使用ECMO而产生的感染、出血等相关并发症。
3)呼吸支持
入院初期,患者合并纵隔气肿,且已给予V-V ECMO支持,在保证最基本氧合需要的前提下,给予保护性肺通气策略,并使肺脏充分休息,潮气量设置为4~6ml/kg,PEEP设置为0~4cmH2O;
入院后第4天,患者纵隔气肿基本消失,肺顺应性略有改善,给予肺复张治疗,并开始给予高PEEP(PEEP≥12cmH2O)治疗,通过递减法的方式设置最佳PEEP,维持平台压≤25cmH2O,既防止肺泡萎陷、改善氧合,又防止发生新的呼吸机相关肺损伤。在患者呼吸衰竭纠正、肺部感染逐渐控制、肺顺应性明显改善后,及时撤机并拔除气管插管,序贯经鼻高流量吸氧,并逐渐过渡到鼻导管吸氧。
4)合并症及并发症的处理
(1)横纹肌溶解症、急性肾损伤:严格的液体管理,既要保证肾脏血流灌注,碱化尿液,促进横纹肌溶解后产生的毒素排出,又要兼顾心功能,减少肺水的生成;期间密切监测尿量、酸碱度、电解质等指标,尽量避免肾毒*药性**物,患者最终肾功能恢复正常,免于床旁血液净化治疗;
(2)积极治疗上消化道出血,在活动性出血停止后,既要抗凝治疗,又要预防再次出血。
这位患者在第9天拔除ECMO导管,第14天拔出气管插管,由序贯经鼻高流量吸氧转为鼻导管吸氧,体温基本恢复正常,无呼吸困难,神志、定向力正常,消化道出血已治愈,可自主进食,尿量正常、肾功能基本恢复正常。血气分析(吸氧2L/min): pH 7.44,PaCO2 41.8mmHg,PaO2 138mmHg。
患者于监护病房治疗24天后出院。出院时已床旁自主活动,无呼吸道症状,无需吸氧,监测外周氧饱和度95%以上,复查胸部CT双肺炎症已基本吸收【图2】。

【图2】出院前的胸部CT
随访(出院后4周)
已基本恢复日常生活状态,可从事一般体力活动,肺功能:通气功能正常,弥漫功能减低(DLCO占预计值48.7%)胸部CT如下【图3】:

【图3】


这例危重患者救治成功的关键因素有啥?治疗进退两难时进行了哪些处理?看看国内外治疗情况回顾与分析
这是一例典型的重症甲型H1N1流感病毒肺炎所致重度ARDS。从以往的研究报道来看,病死率高达37~46.7%,而ECMO治疗与传统机械通气治疗相比可降低此类患者的病死率,因此,目前国内指南建议给予新型甲型H1N1流感所致重度ARDS患者机械通气联合ECMO治疗 [1]。
该患者为既往无基础疾病的年轻患者,ARDS的病因具有可恢复性;入急诊抢救室时,吸纯氧状态下氧合指数<100mmHg,Murray评分高达14分(≥2.5分为严重肺损伤),提示严重肺损伤,该患者预测死亡风险在80%以上,无论是国内的指南 [2] 还是国外的指南 [3],该患者均具备ECMO治疗的适应证。但是,该患者病情的严重程度及复杂程度又远远超出了指南的适应证范围。
首先,ECMO需要适当的肝素抗凝以保证血液不在体外凝固,因此,无抗凝禁忌是ECMO的适应证之一。
该患者疾病早期合并活动性上消化道出血,为肝素抗凝的禁忌,因此ECMO对该患者为相对禁忌,但患者已处于生命垂危状态,除了ECMO以外已无其他有效的救治手段,所以在上消化道出血活动期,给予无肝素抗凝的ECMO。
所幸该患者在第3天左右消化道出血已停止,此后给予肝素抗凝并逐渐调整剂量。抗凝效果的监测指标包括活化凝血时间(ACT)、活化部分凝血酶时间(APTT)及血栓弹力图 [2]。ACT及APTT为目前临床的常用指标,抗凝的目标为APTT 60~80秒或ACT 160~200秒。在我们以往的临床经验中,APTT与ACT存在不一致性,如果以ACT为主要的抗凝效果监测指标,APTT往往会延长超过2倍,患者的出血风险增加。
该患者为消化道出血的高危人群,我们以APTT 60~80秒为主要的抗凝效果监测指标,ACT为辅助,并适当降低ACT目标水平,控制在140~160秒,尽可能减少致命性出血的风险,同时也保证了ECMO的正常工作。
其二,在该患者疾病的最严重阶段,单独ECMO进行氧合支持是不够的。
在此阶段患者动脉PaO2仅55~60mmHg,仍处在缺氧状态。在纵隔气肿吸收后,调整机械通气的设置及参数,以更好的改善氧合。机械通气遵循保护性肺通气策略、最佳PEEP、肺复张等治疗原则 [1]。保护性肺通气策略已证实可显著降低ARDS患者的病死率;高PEEP(≥12cmH2O)、肺复张手法可用于中、重度ARDS患者并改善预后。在PEEP的设置原则中,采用递减法的方式,目标PEEP的原则是使气道平台压在25cmH2O以下、肺顺应性相对最佳,并且每日监测患者呼吸力学指标,逐渐下调压力支持水平及吸氧浓度。
此外,采用保护性隔离的措施,所有医护人员注意手部卫生,避免呼吸机相关肺炎的发生。在机械通气治疗期间,患者未再发生呼吸机相关肺损伤,为肺部感染的控制及ARDS的治疗赢得了宝贵的时机。
其三,确诊感染的病原体是重症肺炎救治成功的关键因素之一。
该患者在流感季节起病,通过胶体金法快速检测流感病毒抗原为阴性,但该方法存在一定概率的假阳性及假阴性,而下呼吸道标本的病毒分离培养或核酸检测是诊断病毒性肺炎的金标准 [4]。该患者收入监护病房后,医务人员警惕性高,迅速留取了支气管肺泡灌洗液并检测出新甲型H1N1流感病毒核酸阳性,不仅明确诊断,更重要的是总体的治疗方向明了,做到心中有数、知己知彼。
最后,患者合并多系统的并发症,除了纵隔气肿、消化道出血,比较突出的是重症病毒性肺炎继发的横纹肌溶解症以及后续出现的急性肾损伤。
重症肺炎与横纹肌溶解
横纹肌溶解症是横纹肌细胞受损或死亡导致细胞内物质释放入血而引起的一种临床综合征,重症肺炎可引起横纹肌溶解症,严重病例可出现急性肾损伤(发生率约24%)。
引起横纹肌溶解的常见病原体有军团菌、流感病毒、葡萄球菌,其诊断标准有CK升高达正常上限5倍以上或大于等于1000U/L,血或尿肌红蛋白阳性。
根据以往的文献报道,如果为少尿型的急性肾损伤,需要血液净化治疗,而且此型患者死亡风险极高;如果为非少尿型的急性肾损伤,血液净化治疗不是必须,但可能会缩短肾功能恢复时间 [5]。
病情严重需同时接受机械通气+血液净化治疗的患者死亡风险大,但存活患者绝大多数肾功能可恢复。该患者为非少尿型急性肾损伤,采用严格的液体管理办法,保证肾脏血流灌注,密切监测尿量、酸碱度、电解质等指标,尽量避免肾毒*药性**物,患者最终肾功能恢复正常,也避免了床旁血液净化治疗所带来的相关风险及经济负担。
参考文献:
[1] 中华医学会呼吸病学分会呼吸危重症医学学组. 急性呼吸窘迫综合征患者机械通气指南(试行). 中华医学杂志. 2016. 96(6): 404-424.
[2] 中华医学会呼吸病学分会危重症医学学组. 体外膜氧合治疗成人重症呼吸衰竭临床操作推荐意见. 中华结核和呼吸杂志. 2014. 37(8): 572-578.
[3] ELSO Guidelines for Cardiopulmonary Extracorporeal Life Support. Extracorporeal Life Support Organization, Version 1.4 August 2017 Ann Arbor, MI, USA. www.elso.org.
[4] 中华医学会呼吸病学分会. 中国成人社区获得性肺炎诊断和治疗指南(2016年版). 中华结核和呼吸杂志. 2016. 39(4): 253-279.
[5] 周庆涛, 沈宁, 孙丽娜, 王蒙, 贺蓓. 重症肺炎并发横纹肌溶解症与急性肾衰竭的诊断治疗并文献复习. 中华医院感染学杂志. 2015. (1): 134-136.
专家介绍
