《红楼梦》写王熙凤的出场,“未见其人、先闻其声”。其实,一些季节性疾病也是这样。天气还没有完全转凉,有些朋友就又开始嗓子痒、嗓子疼、“咳咳咳”了……

(图片来源于网络)
咽部不适,通常是因为咽炎。

正常的咽部(图片来源:en.wikipedia.org)
所谓咽炎,就是咽部的炎症。从病因上来说,可以分为细菌感染、病毒感染、不良刺激(如接触粉尘、烟酒过度、嗜食辛辣等)等;从疾病的类型上,则可以分为急性和慢性两种。[1]
急性咽炎起病较急,常常有全身性症状。患者先是觉得咽部干燥、灼热,接着咽部疼痛,偶尔出现耳部疼痛;同时,可有发热、头痛、食欲不振、四肢酸痛等症状。
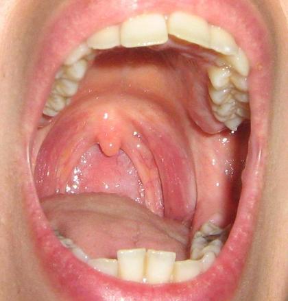
急性咽炎一般一周内可以痊愈;倘若不注意饮食起居,好了又犯、反复发作,就有可能引起咽部黏膜、粘膜下及淋巴组织的弥漫性炎症,也就是常说的慢性咽炎。

因炎症而红肿的咽部(图片来源:en.wikipedia.org)
慢性咽炎的症状局限于咽部,极少出现全身性不适。患者老觉得自己嗓子里有异物,疼痛或者发痒,早晨起来时可出现频繁的刺激性咳嗽,不过,不会吐痰,或者仅仅咳出颗粒状的分泌物。
慢性咽炎虽然可以治愈,但是很容易复发。甚至,每年秋天都如期而来。所以,每年一到这个时候,各种治疗咽炎的偏方就满天飞。
第一类偏方,突出杀菌。比如,通过口含大蒜,消除炎症……

(图片来源于网络)
这个是绝对不可取的。
首先,大蒜杀菌靠的是大蒜素;其次,大蒜素具有很强的腐蚀性,换句话说,对于咽部黏膜,这是一种很强的不良刺激;最后,大蒜本身并不含有大蒜素,只有在机械破碎的作用下,令大蒜中的蒜氨酸和蒜酶相互接触、发生化学反应,才能产生大蒜素,把大蒜整颗含下,又怎么会杀菌呢?
第二类偏方,以某种中草药为核心。最常见的,是胖大海。

(图片来源于网络)
笔者不是学中医出身,对于这类疗法,只能用常理进行推断。一方面,中医方剂确实对慢性咽炎显示出了一定的疗效;[2]另一方面,这些治疗方案,通常是联合用药,或者使用中成药。如胖大海清凉润喉泡剂,就是用胖大海、木蝴蝶、参叶、桔梗、菊花等多种药材制备的。单取其中一味,效果恐怕要大打折扣。[3]
此外,胖大海具有一定的毒性。其果仁,可以引起动物呼吸苦难、运动失调;少数患者对胖大海过敏,严重时可以危及生命。[4,5]
第三类偏方,打着食物、药物皆宜的幌子。
什么绿豆汤、蜂蜜水,等等等等。平心而论,这些东西对缓解咽炎的症状有一定的效果。然而,这个效果,到底是因为绿豆,还是因为水呢?
说到底,食物毕竟只是食物,不能替代药品。

假如咽部反复出现症状,首先要做的,是去医院接受专业诊断;一旦确诊为咽炎,既要谨遵医嘱、积极治疗,更要改变生活方式,戒烟戒烟、饮食清淡,祛除不良刺激。只有这样,才能避免每年秋天都嗓子疼、“咳咳咳”。
参考文献:
[1] 陈再英, 钟南山. 内科学[M]. 人民卫生出版社, 2008.
[2] 张兆芳. 胖大海清凉润喉泡剂治疗慢性咽喉炎 112 例[J]. 中医药学刊, 2003, 21(10): 1649–1649.
[3] 古大松, 张兆芳. 胖大海清凉润喉泡剂的制备[J]. 甘肃科技, 1999(5): 29–29.
[4] 李娜等. 胖大海药学研究概况[J]. 安徽农业科学, 2011, 39(16): 9609–9609.
[5] 董正华. 中药的肾毒性及对策[J]. 现代中医药, 2004, 4: 61–63.
本文为蝌蚪五线谱原创,版权归蝌蚪五线谱所有,任何媒体、网站或个人未经授权不得转载,否则追究相关法律责任。如需转载请访问http://rightknights.com/pub/pub_author?greatAuthor=CIHHF&type=0获得合法授权。