
推荐语
社区获得性MRSA感染正逐步引起临床医生广泛关注,CA-MRSA是一种社区来源、毒性较强的「超级细菌」,由于它对多种抗菌素天然耐药,CA-MRSA可引起全身各处感染,其发病特点以皮肤软组织感染多见,累及肺部时多以化脓性肺炎为主要表现,多伴有感染性休克表现。
本例患者血液/痰液均培养出MRSA,根据药敏试验使用「敏感」万古霉素1周无效,临床医生怎样选择抗生素,达到有效血药浓度和MIC?在抗MRSA感染的同时,如何兼顾全身脏器支持、改善微循环,在危重症病人的治疗中都值得进行深入的分析和探讨。
病例/Case
患者刘阿姨,62岁,62kg,2017年6月30日入院。主诉:左膝关节疼痛伴胸痛、发热及呼吸困难1周。
现病史:
6天前,患者晨锻炼后出现左侧膝关节酸痛、肿胀,就近中医诊所行针灸及左膝火罐治疗。
次日出现胸痛,呈钝痛,阵发性发作,深呼吸后加重,以右侧胸痛为主。伴呼吸困难、自觉发热(体温未测),伴头昏、四肢乏力。无咯血,无腹痛、腹胀,不伴双下肢水肿。
外院(6.27)胸部CT提示双肺感染,先后予「阿奇霉素、头孢哌酮/舒巴坦」抗感染等治疗,患者胸痛、呼吸困难无缓解。
1天前来我院急诊,测血气分析提示低氧血症,予无创呼吸机辅助通气,「泰能」+「拜复乐」抗感染等治疗。
入院动脉血气分析:pH 7.48;PaO2 92.8mmHg;PaCO2 33.2mmHg;FiO260%;氧合指数 154;
患者仍发热,血压/氧合进行性下降,行气管插管+有创呼吸机通气转入RICU。
既往史:原发性高血压(II级,中危),口服ACEI类药物控制;否认肝炎、结核病史;否认药物/食物过敏史;否认吸烟、饮酒、疫水疫区接触史;否认近期外出旅游。
辅助检查
胸部CT(6月27日)提示双肺多发实变、斑片影、结节影。

查体:T:37.8℃,P:114次/分,R:21次/分,BP:84/46mmHg。
口插管接呼吸机辅助通气,镇静状态,皮肤巩膜无黄染,全身浅表淋巴结未扪及肿大。颈静脉无充盈。胸廓未见异常,双肺叩诊呈清音,双肺呼吸音粗,双肺闻及湿啰音。心界不大,心律齐,各瓣膜区未闻及杂音。腹部外形正常,全腹软,无压痛及反跳痛,腹部未触及包块。肝脾肋下未触及。左下肢肿胀,以左侧膝关节以上为甚,局部皮肤温度稍高,四肢关节活动可。

动脉血气分析:pH 7.48;PaO2 92.8mmHg;PaCO2 33.2mmHg;FiO2 60%

DIC:APTT/PT 正常;Fg 4.2g/L;D-dimer 3.52mg/L;
AST 71IU/L,肾功、电解质未见明显异常;
心肌蛋白:肌红蛋白1043ng/ml;CK-MB 3.55ng/ml;肌钙蛋白 0.11ng/L;ProBNP 1032 pg/ml;
输血前检查:乙肝表面抗体和乙肝核心抗体阳性,余为阴性;
呼吸道病毒和特殊病原体检测均为阴性、免疫全套阴性;
心脏彩超、下肢静脉彩超、左膝关节摄片未见明显异常。
诊断倾向
病史特点:

临床诊断标准(三项)及诊治思路(六步)[1]
社区发病 肺炎相关表现:
新近出现的咳嗽、咳痰或原有呼吸道疾病症状加重,伴或不伴浓痰/胸痛/呼吸困难/咯血,发热。
肺实变体征和(或)闻及湿性啰音。
外周白细胞>10x10^9/L或<4x10^9/L,伴或不伴细胞核左移。胸部影像学检查显示新出现的斑片状浸润影、叶/段实变影、磨玻璃影或间质性改变,伴或不伴胸腔积液。
诊断标准:
符合1、3及2中任何一项
除外肺结核、肺部肿瘤、非感染性肺间质性疾病、肺水肿、肺不张、肺栓塞、肺嗜酸性粒细胞浸润症及肺血管炎等。

*重症CAP诊断标准:
符合下列1项主要标准或≥3项次要标准者可诊断为重症肺炎,需密切观察,积极救治,有条件时建议收住ICU治疗(IIA)
主要标准(符合1项):
- 需要气管插管行机械通气治疗
- 脓毒症休克经积极液体复苏后仍需要血管活*药性**物治疗
次要标准(符合3项):
- 呼吸频率 ≥ 30次/分;
- PaO2/FiO2 ≤ 250mmHg;
- 多肺叶浸润;
- 意识障碍和/或定向障碍;
- 血尿素氮 ≥ 20mg/dL;
- 收缩压<90mmHg需要积极的液体复苏

初始经验性治疗抗生素选择
需入住ICU(推荐静脉给药)

*入院诊断与治疗
诊断:
① 重症社区获得性肺炎
② 脓毒症休克
③ 血流感染?
④ 低蛋白血症
治疗:
① 有创呼吸机辅助通气
② 扩容:大量补液 + 血管活*药性**物(多巴胺+去甲肾上腺素)+ 乌司他丁改善微循环
③ 全身积极支持治疗
④ 初始抗生素选择:泰能+莫西沙星
⑤ 低分子肝素常规1支 预防性抗凝
*病原学检查(入院第3天)
血培养:MRSA

*病原学检查(入院第4天)
痰培养:MRSA

*治疗策略调整

有创呼吸机支持呼吸
全身支持治疗
扩容+去甲肾维持血压+纠正微循环
莫西沙星(0.4g qd ivgtt)
万古霉素(1.0g q12h ivgtt)
*入院后(D1-D10)临床指标转归

*体温持续波动

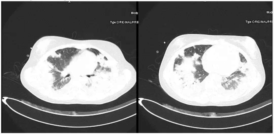
*影像学显著进展
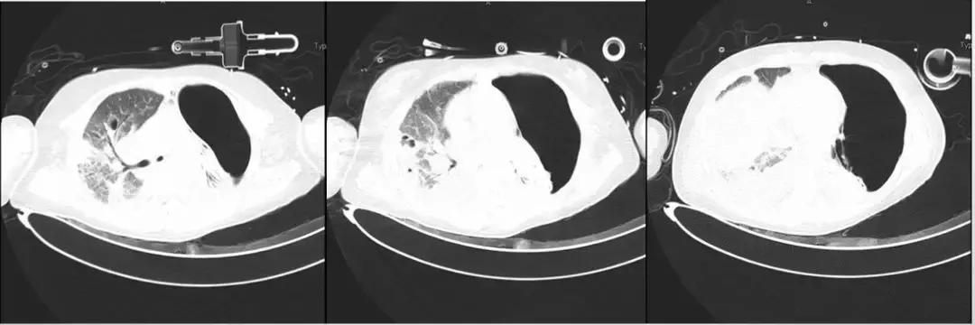
7月3日:

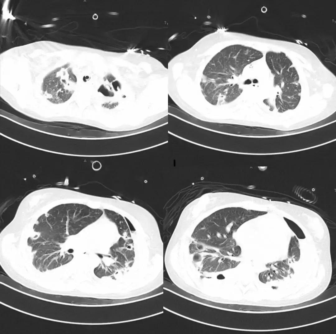
7月10日:


发热持续、肺部病变加重,问题何在?如何解决?
*再次鉴别诊断:
感染?非感染?
① 血药浓度?
② 痰液引流?药物选择?
③ 合并感染?迁徙病灶?
3 / but

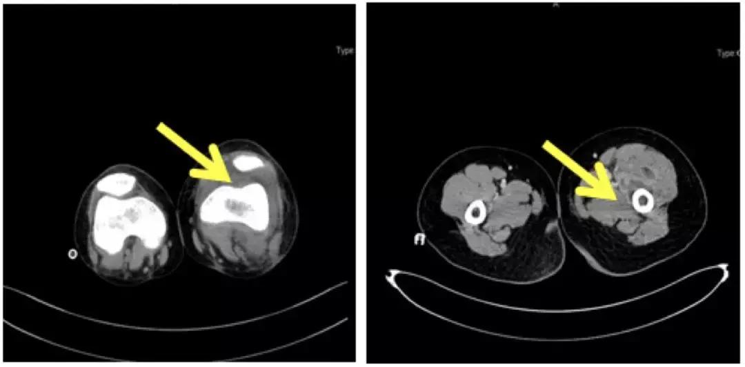
*左侧膝关节 髋关节CT

多学科MDT(呼吸科+骨科+放射科):左侧膝关节软组织肿胀,关节囊及髌上囊积液,关节腔积脓?左侧股骨上段周围软组织肿胀,骨干周围软组织内见多个囊片状低密度影,考虑脓肿可能;
*临床策略更改(D10)
反复纤支镜检查:改善气道引流;
骨科干预:予以局部脓肿切开引流,冲洗;
MDT会诊:万古霉素血药浓度:10.5ug/ml;更换为利奈唑胺 600mg q12h ivgtt
*抗生素使用情况:

*患者体温变化:

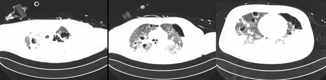
*影像学仍持续变化:

*病原学新发现:

体温出现波动,最高39℃;
白细胞23.48*10^9/L, 降钙素原0.61ng/ml;
痰培养提示鲍曼不动杆菌;
[2]



左侧胸腔病变为肺大泡?气胸?如何处理?药物是否需要调整?

*调整抗菌药物治疗:

*局部气胸引流

- 行左侧胸腔穿刺共两次,共抽出气体约2000ml;
- 患者呼吸困难缓解;
- 患者体温高峰逐渐下移;
- 复查血常规:白细胞9.79*10^9/L;降钙素原0.18ng/ml;血培养阴性
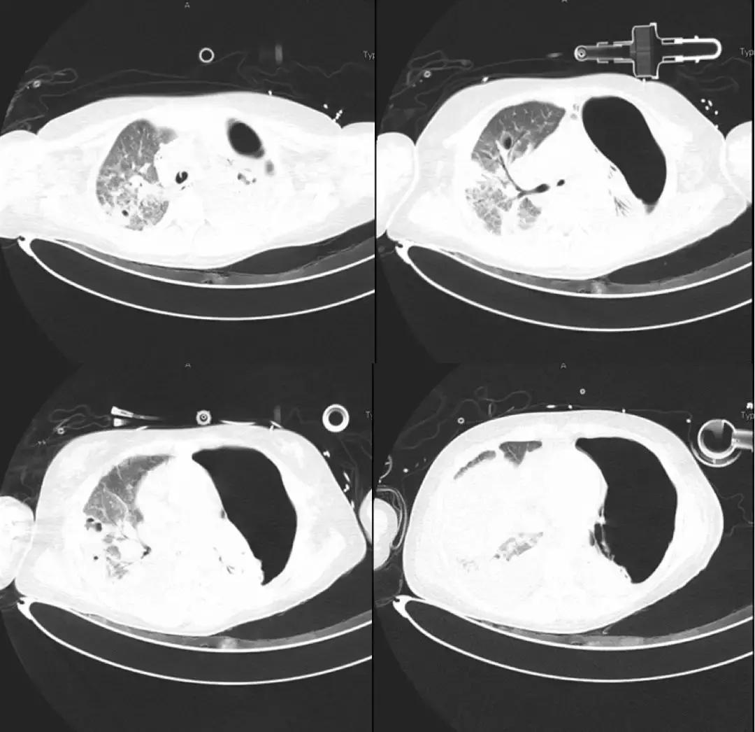
*疾病转归

7月27日胸部CT
7月27日成功拔除气切插管;口服利奈唑胺序贯治疗;
8月1日好转出院,转回中心医院继续康复治疗。

出院诊断
CA-MRSA左下肢蜂窝织炎,化脓性肌炎,化脓性关节炎;重症CA-MRSA肺炎(血源播散性);医院获得性鲍曼不动杆菌肺炎;脓毒血症休克;低蛋白血症;中度贫血。
CA-MRSA
[3]

CA-MRSA 定义:[4] [5]

我国 CA-MRSA:[6] [7] [8] [9]

我国CA-MRSA肺炎仅仅见于儿童及青少年的少量病例报道;
2009~2010年进行的中国成人社区获得性呼吸道感染病原菌耐药性监测未发现CA-MRSA
CA-MRSA 临床表现:

- CA-MRSA可产生杀白细胞毒素(pvl),a-溶血素、β-溶血素、剥脱毒素A、剥脱毒素B;
- 疖病是CA-MRSA感染最常见的临床综合征,其次是脓肿或蜂窝组织炎,疱疹性皮炎和脓疱疮较少见。
CA-MRSA 坏死性肺炎:

- 高热、咯血、低血压;
- 白细胞减少,血培养阳性;
- 多小叶肺浸润可伴有空洞形成,出现弥漫性肺出血;
- 感染性休克和急性呼吸窘迫综合征,甚至死亡。
抗生素治疗: [10]


病例小结
CA-MRSA离我们不遥远,有坏死空洞性肺浸润的患者,合并皮肤软组织感染,需考虑CA-MRSA可能性;
危重病例疑难比例不低;
疑难病例界定相对而言;
循规蹈矩诊治着实必要;
多学科协作诊治至关重要;
重症疑难患者救治诚惶诚恐。
参考文献:
[1] 中国成人社区获得性肺炎诊断和治疗指南(2016年版) 中华结核和呼吸杂志.2016,39(4):241-242.
[2] 中华结核和呼吸杂志.2018.41(4):255-280.
[3] Scaglione F et al. Rational of antibiotics anti-MRSA in pneumonia. 2014.
[4] Pharmacotherapy, 2005,23(1):74-85.
[5] J Hospi Infect, 2007, 67(2): 109-1113.
[6] Chen J, Luo Y, Zhang S, et al. Int J Infect Dis, 2014, 26: 17-21.
[7] Qu T, Feng Y, Jiang Y, et al.PLoS One, 2014, 9(2): e89235.
[8] 包婺平, 郭海英, 陈宇清, et al.中国呼吸与危重监护杂志, 2013, 12(1): 89-91.
[9] 王辉, 刘亚丽, 陈民钧, et al.中华结核和呼吸杂志, 2012, 35(2): 113-119.
[10] Crit Care Med 2010.
