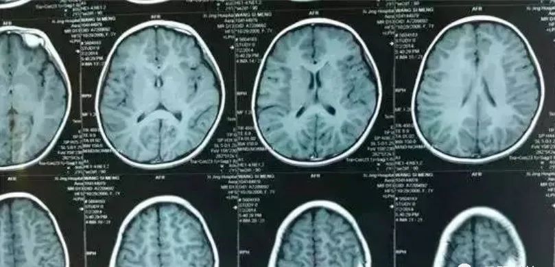
7个月大的俊俊成了额头突出、眼睛凹陷的大头娃娃,并且根据检查发现颅骨骨缝被血肿撑开约1厘米!

孩子4个月大的时候,被检查出头围已经比同龄的婴儿偏大。当时家人并不是很在意。
然而三个月之后,孩子的头越变越大,,并且额头突出,眼睛凹陷,这时家人带孩子到医院检查发现发现孩子的颅骨骨缝被撑开约1厘米,并且专家发现孩子的大脑两侧均有大面积的慢性硬膜下血肿,分别约100毫升,正是这不断增大的血肿将孩子的头撑大。
究其原因发现, 在孩子长大的过程中都是被不断地摇大的,家人平时就把孩子抱在怀里晃,有时候为了逗宝宝就把宝宝抛到空中后接住。但是家长忽略了, 婴幼儿的大脑发育还不是很完全,脑组织和颅骨间并无连接,一旦长时间受到摇晃,头盖骨和大脑之间的静脉被挤压,血流受阻,很容易引起慢性硬膜下血肿。
专家视频
之前被万人唾骂的黑心保姆摇孩子视频

幸好家长及时发现!
但是下面这个孩子就没那么幸运了
10个月大的婴儿 Chloe Murphy

因为被保姆剧烈摇晃
导致 脑出血、视网膜脱落、眼角出血
抢救两天不幸身亡
保姆被控过失杀人!
千万不要剧烈摇晃孩子!
令人痛心的是,
很多家长并不知道这件事情,
导致了一个又一个悲剧



这些可都是亲生的
亲生的!
亲生的!
还有宝妈在网上求助
说老人喜欢边摇晃边抖
劝都劝不住

如果你的家人也喜欢用用力摇晃、颠抱的方式哄宝宝、请告诉他们: 这样可能造成孩子脑损伤,视神经损伤,视网膜脱落,严重的可能终身残疾甚至死亡!
如果家人不听劝,请给他们看看这个视频:
摇晃宝宝的危害
1、颈部易受伤
婴儿头部全靠颈部的肌肉和韧带支撑,而宝宝颈部的肌肉力量较弱,韧带弹性较差,颈椎也未完全骨化,所以如果有较大幅度的摇晃和高抛的震荡,颈部就容易受伤。
2、造成脑部损伤
婴儿颅底及内面较平滑,脑组织固定不是很结实。如果宝宝被高高抛起,会使宝宝体内的血液不时地冲击大脑,导致脑部暂时性充血。
如果不停地摇晃宝宝,或是将宝宝来回抛接,易使宝宝头颅内的果冻状的脑髓组织随摇晃或高抛的晃动,与较硬的头颅相撞,从而引起脑损伤。
3、造成局部性贫血
当宝宝被摇晃时,身体是无法承受巨大的离心力的,血液流向一边,容易造成局部性贫血,宝宝因此会出现脸色苍白、呼吸困难、站立不稳,甚至出现晕厥、呕吐等症状。
严重的,有可能造成宝宝的智力明显下降、严重的运动障碍、失明和大脑实质性的损伤,如脑萎缩、脑软化、脑囊肿等。
如何预防“摇晃婴儿综合症”?
1、不将宝宝抱在怀里晃;
2、不玩空中抛接宝宝;
3、不抱着宝宝旋转;
4、不要让宝宝坐在大人膝盖上,往后用力翻躺;
5、不要过度依赖摇篮,控制使用的时间与摇晃的程度;
6、乘坐汽车外出时,请正确使用安全座椅。9公斤以下的宝宝一定要购买可反向安装的座椅,这样才可保护好宝宝的头颈,避免刹车时对小宝宝的强大冲力。
另外提醒大家, 摇晃的伤害是一个积累的过程,有可能一次两次没有肉眼可见的伤害,但是时间久了会造成明显的伤害。比如本文开头俊俊的例子。
(当然,以上的积累是指一段时间内的积累,不是说小时候晃过了就会积累一辈子)
虽然大多数情况下轻柔的摇晃(如摇篮)影响比较轻微,但是并不能保证完全没有这种伤害。总之,请轻拿轻放,越小的宝宝越应该如此,如果要实在要摇着哄,那么至少不要剧烈摇晃。
请告诉大家:
抱小宝宝时不要剧烈摇晃,也要盯紧其他人,别让他们剧烈摇晃宝宝,特别是3个月内的小宝宝!