👆点 击 邵 逸 夫 医 院 星 标 我 们

40岁的杜先生(化名),是甘肃省一位普通农民。十几年前,杜先生患上了肺结核,经过当地医院两年多的抗结核药物治疗后,被查出右肺没有功能,需要手术把右肺切除。
杜先生在当地医院做了右上肺叶切除术。然而手术后,他的右侧胸腔不断地积液,引流管里的脓液怎么也引流不完,医生诊断考虑“慢性脓胸;支气管胸膜瘘”。
杜先生从专家口中知晓了“脓胸”是术后严重的并发症,这是个非常难治的毛病。一家人原本就不轻松的心情更沉重了。
几经辗转,杜先生又去了河南一家医院。医生给他做了支气管镜下支架置入封堵术,手术一开始非常顺利。但是,术后复查拍片发现,右侧胸腔还是有很多积液,每天引流管仍然有几十毫升的脓液流出。

杜先生忐忑不安地等待了4个月,主治医生对他说,肺上的瘘口愈合不良,原来放进去的支架没用了,必须取出来。
这一次,杜先生瞬间感觉没有了希望。
“医生,我到底该怎么办?我也不能一次次手术,人吃不消的啊。”杜先生抓住主治医生的手。
医生安抚了他,并建议他去浙江大学医学院附属邵逸夫医院看看。杜先生抱着最后一线希望,离开故乡,第一次来到了浙江杭州。他怀着忐忑的心情,挂了呼吸与危重症医学科陈恩国主任医师的专家号。陈医师和蔼可亲的态度让杜先生放松了一些,医生在详细询问病史后把杜先生收入院。
入院后,胸部CT检查提示“右上胸腔见团状包裹积气积液,局部与支气管相通,引流管留置。”随后呼吸科胡蕙蕙副主任医师又给杜先生进行了支气管镜检查,发现“右上叶尖段可见瘘口,透过瘘口甚至可见胸腔的两条引流管。”

检查结果出来后,陈医师踟躇了一下,封堵支气管瘘口不难,但如何防止瘘口复发和彻底消灭脓腔是一个难点。
他请了胸外科会诊,希望找到更有效果的方法。
果然,这次会诊让治疗有了新思路:“脓胸清创后,肌肉瓣填塞才可以彻底消灭脓胸。骨科的沈立锋副主任医师在这方面有非常丰富的经验,是做肌肉瓣手术的最佳人选。”
随着沈医师的加入,医院对这名患者启动了多学科共同会诊(MDT),围绕杜先生的每一分钟都是几个科室的“英雄联盟”。每次都是几大科室的几位专家一起,共同查看患者,反复商讨治疗方案。
是的,当骨科医生加入肺部手术的那一刻,也让患者的治疗方向有了新的突破。
最终,专家们决定进行多学科联合手术。由呼吸科先进行支气管镜下瘘口封堵;然后,胸外科胸腔镜下清创;最后,由沈立锋副主任医师进行肌肉瓣覆盖瘘口、完全填塞胸腔彻底消灭脓腔。

于是,一位呼吸科的患者,被安排转入了骨科病房。
经过一次胸腔镜脓胸清创引流术后,杜先生的胸部感染得到控制,引流管的引流液逐渐由脓性变得澄清起来。
一周后,令人紧张激动的多学科联合手术开始了。
手术按部就班地进行着,顺利地进行支气管瘘口封堵,然后是胸腔镜清创,就差沈医师的肌肉瓣手术了。

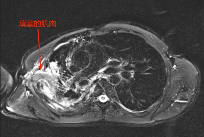
起初,沈医师决定用体积大、血运又非常丰富的背阔肌来填塞胸腔。
然而,手术总是存在各种变化。沈医师发现,多年的肺部疾病使杜先生丧失了大部分劳动能力,肌肉严重萎缩,单独用这块肌肉填塞胸腔,远远不够。
医生的智慧显得尤为关键,经验丰富的他当机立断,马上调整手术方案,选择增加背阔肌和胸大肌两组肌瓣联合填塞关闭胸腔。

幸运的是,手术非常顺利。“我真的是非常感谢邵逸夫医院的顶级医生,他们在一起是真厉害!”杜先生质朴的话语里满是康复出院的喜悦。
这场长达2年多,跨越半个中国,3个省份、3家大医院的寻医之路终于在杭州迎来了胜利。

背景知识
Points
脓胸是什么?
脓胸,是指脓性渗出液积聚在胸膜腔内的化脓性感染。
按照病理发展过程可分为急性和慢性。
按致病菌可分为化脓性、结核性和特异病原性脓胸。
按波及范围可分为全脓胸和局限性脓胸。
大多数急性脓胸以内科保守治疗为主,保守治疗无效的慢性难治性脓胸则多需要联合外科手术治疗。
Points
哪些原因会 导致急性脓胸?
NO.1 肺部感染
约50%的急性脓胸继发于肺部炎症病变之后,肺部表面的脓肿破裂或化脓性病变直接侵及胸膜造成。
NO.2 邻近部位的化脓性感染
肝脓肿、膈下脓肿、化脓性心包炎、肾周脓肿、淋巴结脓肿等可直接侵蚀或通过淋巴引流途径造成脓胸。
NO.3 医源性脓性
开胸手术、肺切除术、胸腔穿刺、胸腔镜检查、镜纤维支气管镜肺活检造成的支气管胸膜瘘等皆可造成胸膜腔感染,引起脓胸。
NO.4 创伤性脓肿
胸壁开放性外伤、胸部闭合伤的血胸、血肿感染所致。
NO.5 血源性感染
婴幼儿、年老体弱及免疫低下人群患败血症、脓毒血症时,经血液循环达胸膜腔引起。
Points
哪些原因会 导致慢性脓胸?
NO.1
急性脓胸治疗不及时或治疗不当,这是慢性脓胸的主要原因。
NO.2
胸腔内异物残留,如弹片、骨碎片和胸腔引流管。
NO.3
特异性感染,如结核性脓胸、真菌性脓肿等。
NO.4
其他原因,如放线菌、阿米巴、耐药菌感染等,均可导致病程迁延。
Points
脓胸会有什么症状?
患者可为持续性高热、咯血、咯脓痰,刺激性干咳,部分患者可有皮下气肿。
由于脓性分泌物积聚可反流入对侧肺内导致吸入性肺炎、呼吸衰竭、败血症等。
Points
脓胸为什么可怕?
肺切除术后脓胸是一种严重术后的并发症,一项研究统计1023例接受肺部分切除术的患者中,术后脓胸发生率为1.1%。相关死亡率可能超过10%,即使患者存活,感染复发率也高达38%。
重要的是,高达80%的手术相关脓胸病例与支气管胸膜瘘(BPF)相关,其中不到20%的病例可以自动闭合,所以大多数患者需要外科手术治疗。
Points
脓胸有哪些外科治疗方法?
NO.1 胸腔置管引流术
早在2000多年前的古希腊,希波克拉底就首次提出此种方法。可在肋间穿刺引流或切除肋骨后冲洗引流,亦可用抗生素溶液冲洗。但脓胸患者需长期带管引流,常因坏死物质引流不畅或死腔形成,而导致感染复发。
NO.2 前胸壁开窗术
切除部分肋骨,充分暴露脓腔,胸壁开放引流,需终生换药,生活质量低下,且少数患者切口皮肤会出现癌变。
NO.3 胸廓成形术
适用于慢性脓胸晚期患者,切除部分肋骨,塌陷胸壁缩小脓腔,缝合残留胸壁软组织与内侧壁黏连愈合。常造成严重胸廓畸形、脊柱侧弯、躯干变形等,且常不能彻底消灭脓腔。
NO.4 支气管镜下支气管瘘口封堵器置入术
镜支气管镜检查确定瘘口后,选择合适大小的金属封堵器置入封闭瘘口。但是单纯做封堵的失败率高,瘘口周围血运较差,没有软组织覆盖,内植物与周围组织愈合不良,加之脓腔未消灭,脓液刺激,导致瘘口扩大,封堵器松动失败。
NO.5 脓腔填塞
运用肌瓣、大网膜等自体组织对脓腔进行填塞,可彻底治愈脓胸。临床上最常用的为背阔肌、胸大肌、腹直肌瓣或肌皮瓣。肌皮瓣不仅有足够的体积和面积填补胸腔、修补皮肤溃疡,并且其丰富的血供可以有效地进行局部抗炎。带有丰富血运的肌肉组织覆盖内置封堵器并与周围组织愈合,亦可以辅助关闭瘘口,防止再发。所以肌皮瓣是消灭脓腔的最佳选择。肌皮瓣的选择要根据脓腔的大小、形状以及位置而定,常可多块联合应用治疗。

陈恩国
主任医师
专长:呼吸系统疾病诊治,尤以少见病罕见病的诊治有较深造诣。致力于肺癌的早期诊断和晚期的综合治疗。对支气管镜检查和介入治疗具有丰富经验。
门诊时间:
庆春院区:
周五上午(名医)
周一上午(专家)
下沙院区:
周四下午(名医)

胡蕙蕙
副主任医师
专长:气管镜介入诊治技术。肺癌早期诊断及晚期综合治疗。
门诊时间:
下沙院区:
周一上午、周四上午(专家)

沈立锋
副主任医师
专长:肢体严重创伤的保肢,骨髓炎和复杂软组织缺损的修复重建,肢体畸形矫正,手外伤诊治。
门诊时间:
庆春院区:
周一下午(专家)
下沙院区:
周二上午(专家)
来源:邵逸夫医院
作者:骨科 王海涛
原创作品,转载请注明来源及出处

欢迎分享

在看扩散