失独妈妈,本已皈依我佛,原以为生活已经平静下来,岂料还是有子宫肌瘤找上头。
何女士是一位坚强的女性,23岁结婚后,夫妻和睦,很快又迎来了家庭的新生命:儿子。可以说生活幸福美满,不知道是否是上苍都嫉妒了,在她40岁那年,年仅16岁的儿子却猝死于心源性疾病,整个家庭可以说是遭遇晴天霹雳,家塌了,同年,夫妻也离婚了。
独立生活后,儿子仍然不时的在她脑海中回现,无法释怀,为了尽快从这种糟糕的状态中走出来,她选择皈依我佛(未剃度出家,算是俗家弟子吧),每天都会磕长头至少100个,生活逐渐恢复平静,开始交上了新的朋友,开始了新的生活,都以为生活又要这样逐渐好起来,一次检查,却发现子宫上生长了一个肌瘤。
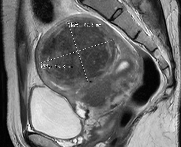
肌瘤开始还不大,就2cm,蚕豆大小,完全不用理会,可是每年的检查提示这个肌瘤实在是顽强,由2cm逐渐增大到了8cm,得有石榴这么大了,不但肌瘤在增大,还逐渐出现了月经量也开始增多,经期也更长了,小便次数也多了起来,夜尿增多让她是不胜其烦,到了该和这个肌瘤做一个了断的时候了。但是医生的建议:子宫切除,真是何女士无法接受的,失去孩子已经够痛苦,难道还要失去孩子的老房子吗?

盆腔MRI检查提示肌瘤明显
偶然间打听到有个朋友曾经做过一种不开刀的肌瘤治疗方法,赶紧联系朋友,问到底是什么东西?朋友告诉她,好像叫做海扶刀,可以不开刀。还把当初的主治医生联系方式给了她。她拿到这个信息后还不放心,又在网上好好查了这个技术,发现还真不是“新技术”,都用了10多年了,关键是这个技术完全符合:中国制造,世界领先。
接下来的步骤就是联系医生,完成检查评估,直到医生告诉她,符合治疗的条件,而且效果应该不算差之后,才总算是放下了悬着的心,按部就班的住院,抽血,手术准备,手术治疗,复查放心后就出院了,关键是这一整套下来,时间也才3天不到,还可以周末治疗,太贴心了,关键是:子宫留住了,还没有开刀。

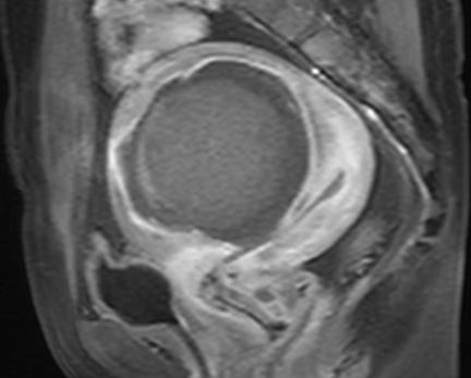
黑色部分就是被灭活的肌瘤,在增强MRI上显示为无灌注。
生活又逐渐恢复了平静,每个人都会面临生活的各种磨难,但没有*倒打**我们的,终将让我们更强大吧。心向阳光,春暖花开。这是我们医生对所有患者的美好祝福!