
李玉萍副主任医师
同济大学附属上海市肺科医院,胸外科ICU,博士。
病例类型:常规病例
患者基本资料
年龄:67岁
性别:女
主诉:心包内右肺中下叶切除和右胸腔肿块切除术后1天,自觉胸闷气促 。
既往史:否认高血压、糖尿病、肿瘤等病史,否认手术外伤史。
现病史:患者入院前体检发现右下肺占位28天,院外右下肺穿刺活检提示孤立性纤维性肿瘤,转入本院全麻下行心包内右肺中下叶切除和右胸腔肿块切除术,手术时间2.5h,术中失血100ml,无输血,术后病理显示梭形细胞肉瘤,倾向恶性孤立性纤维瘤,术后安返胸外科ICU,术后第一日胸引量350ml,无殊转回普通病房。次日凌晨患者下床如厕后突发胸闷气促,脸色苍白,四肢湿冷,无晕厥。面罩吸氧后仍诉胸闷气促无法缓解。心电监护:SPO2 70%,HR 100-120bpm,BP 110/80mmHg。实验室检查:血气分析:pH 7.16↓, PaCO2 56.5mmHg, PaO2 43mmHg↓, SpO2 62.2%↓。
临床评估
临床可能性评估:
Wells评分:7分,临床高度可能
改良Genava评分:10分,临床中度可能
初始危险分层:
肺栓塞严重指数( PESI ):90分
sPESI:3分(sPESI>1分提示30天死亡率高)
辅助检查
实验室检查:
D-D二聚体:2747 ng/ml
NT-proBNP:894 ng/l
肌钙蛋白I:0.2200 ug/l

描述:心电图及床旁心超提示右心功能不全,Ⅰ导联深S波、Ⅲ导联Q波并有T波倒置,新发的右束支阻滞及胸前导联T波倒置。

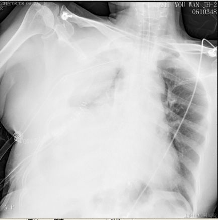
描述:溶栓2h后,胸引量:400ml

描述:溶栓18h后,胸引量:1700ml

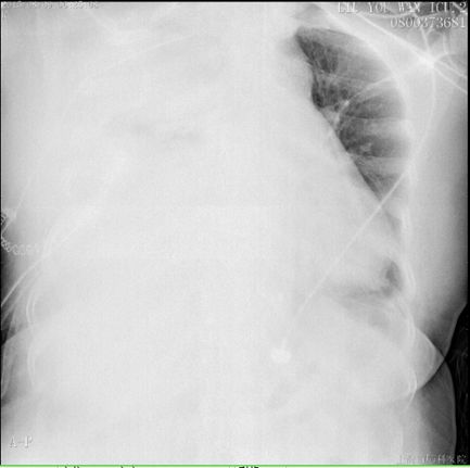
描述:溶栓2d后,胸引量:150ml

描述:溶栓3d后,胸引量:100ml
初步诊断
初诊内容:急性肺栓塞
诊疗经过
危险分层:急性肺栓塞(中高危)。手术相关出血危险因素:(1)急性肺栓塞发病时间:术后第二日;(2)手术创面(由术者直接评估):心包内右肺中下叶切除+右胸腔肿块切除术;(3)术后引流量(间接评估):术后第一日胸引量350ml。
治疗过程:
初步治疗:吸氧;经鼻气管插管,机械通气;低分子肝素6000IU皮下注射;患者神志清,自诉症状未缓解,术后第二日予以转入ICU。转入ICU后予机械通气,Vt 480ml,FiO2 100%,HR 128bpm,SPO2和血压进行性下降,需血管活*药性**维持。
此时患者由中高危逐渐转为高危,则予以个体化剂量溶栓治疗:阿替普酶(爱通立)10mg 2min静推,20mg 2h静脉泵入。溶栓2小时后,患者血氧饱和度明显上升,生命体征趋于平稳。后续抗凝维持方案:克赛6000 IU 皮下注射 Q12H。
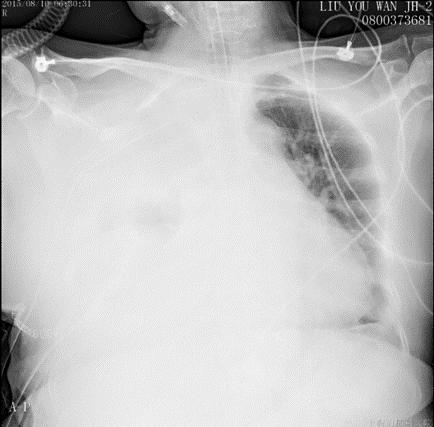
溶栓18h后,胸引量明显增多,同时提醒胸腔内大量血肿,因此于术后第五日,予以全麻下行VATS剖胸止血术,手术时间1.5h,术中失血600ml,输血球2单位,术后带气管插管入ICU。止血术后第一日胸引量450ml,复查血气正常,予以拔除气管插管,SPO2 96%,HR 81bpm,BP 135/88mmHg。
之后转入肺循环科继续抗凝治疗,住院总天数33天。
出院用药及随访
出院时情况:CTPA未见充盈缺损,下肢静脉彩超提示无血栓。血常规、凝血功能、肝、肾功能等无变化,患者一般情况可予以出院。
出院用药:出院后给予利伐沙班20mg po QD,抗凝治疗3月。
门诊随访:患者无出血、未复发VTE。
临床思辨
概括:该例患者为急性肺栓塞,为心包内右肺中下叶切除+右胸腔肿块切除术后,出血风险较高,因此给予其个体化溶栓治疗。患者溶栓18h后胸引量明显增多,同时提示胸腔内大量血肿,遂于术后第5日予以全麻下行VATS剖胸止血术,术后生命体征趋于平稳,恢复良好。
治疗依据:
1. 《2014 ESC急性肺栓塞诊断和管理指南》:

2. 《2012 ACCP 抗栓治疗与血栓预防临床实践指南(第9版)》:全肺切除或扩大切除为严重出血并发症的危险因素之一。
3. 《胸部恶性肿瘤围术期静脉血栓栓塞症预防中国专家共识(2018版)》推荐意见:对因胸部恶性肿瘤住院的患者应进行危险因素分层,锁定高危人群,推荐使用改良Caprini风险评估表进行动态评估。风险分级简化为三个级别:低风险(0-4分)、中等风险( 5-8分)、高风险(≥9分)。
诊疗小结:
1. 现有的VTE风险评估模型的变量较多,在实际操作中难度较大,我们可尝试着将量表电子化,自动计算风险评分,实现动态监测。
2. 在抗凝药物选择方面,虽然目前新型口服抗凝药的说明书中并未指出其可以应用于胸外科的一级预防,但我们也可以在患者同意的情况下进行该治疗。另外,目前对于抗凝预防的启动和持续时间尚未达成共识,我们希望在国内可以进行一些多中心临床研究去明确这一情况。
3. 本例中,阿替普酶说明书的剂量是100毫克,对于我国胸外科患者来说,50毫克时病人就可能会发生大出血以致死亡,因此我们给予个体化剂量:10毫克2分钟内静推,剩下20毫克于两个小时静脉泵入,期间密切观察患者胸引量变化。不过即使采用了极低剂量的溶栓,患者依然出现了大出血并发症。因此在评估病情轻重的基础上,我们必须结合当时的出血风险来进行治疗,给患者应用全身*药性**物溶栓治疗时,要实行个体化溶栓剂量。
