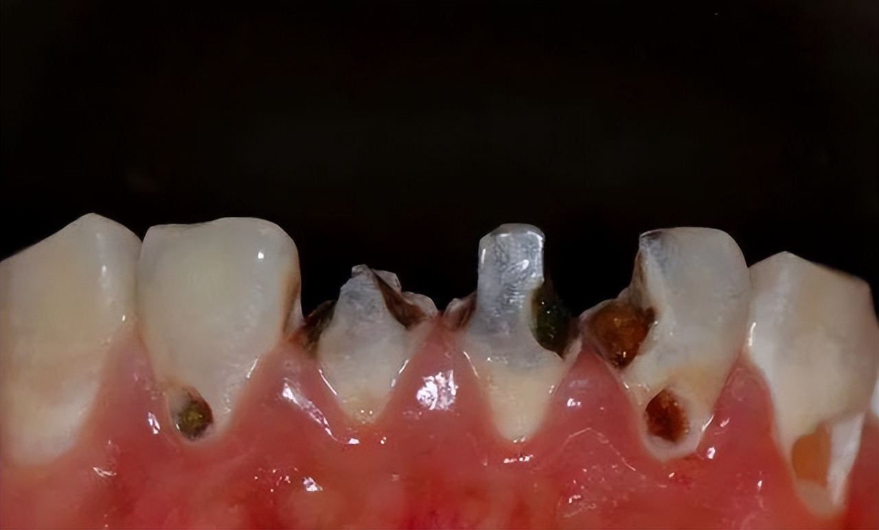
先给大家看一些非常可怕的图片:



这并不是重症癌症晚期患者的症状,而是可乐牙。
什么是可乐牙?为什么这些可乐牙看起来这么可怕?
可乐牙,就是长期饮用碳酸饮料,牙齿被软化而形成的蛀牙。相对于一般蛀牙而言,可乐牙更常见于12岁左右的青少年。因为这个年龄阶段的少男少女们更喜欢喝碳酸饮料,并且 牙齿尚未发育完全,牙釉质还比较薄,非常容易受到碳酸侵蚀 。
大多数有重度可乐牙的患者的经历,都会像下面这位13岁的小女孩一样。
小乐从5、6岁就开始喜欢上碳酸饮料。她尤其喜欢口渴的时候来上一罐,尽情享受着糖水混合这大量碳酸气泡肆意在干渴喉咙奔流的感受,这一喝就是7年。

▲小乐喝得很快乐
这7年时间, 家长没少阻止喝碳酸,但是小乐都是偷偷喝,发现了蛀牙也死活不肯看牙医 。到了准备上初中才知道爱美,要去看医生做治疗。

▲相信大部分小朋友都不爱看牙医
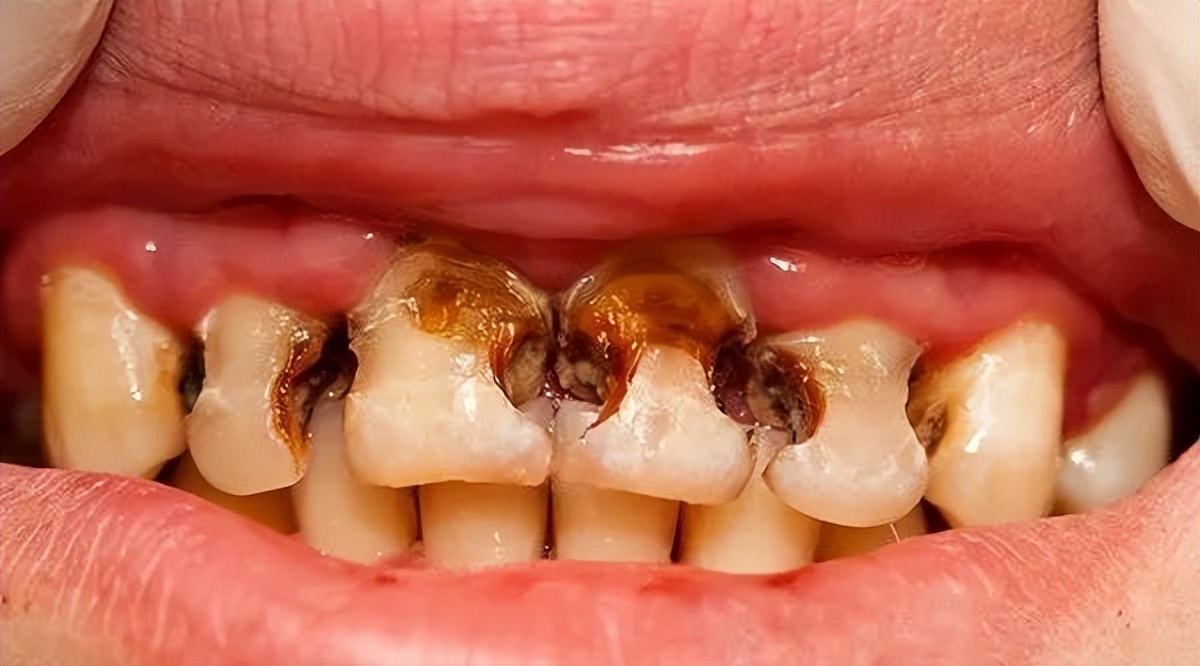
然而, 医生检查的时候发现,小乐嘴巴里已经没有一颗完整的大白牙,全都是黑色的蛀牙,而且只要用镊子一捏,牙齿就会像饼干一样碎掉。

医生眉头紧皱,说从未见过这么严重的蛀牙:
·28颗牙齿,上门牙6颗和下磨牙2颗彻底烂掉,只能拔除;
·8颗牙齿被严重腐蚀,齐根折断与牙龈齐平;
·剩下的6颗下门牙,牙体被腐蚀得变透明,咬硬物就会断掉
医生看到这口牙,只能先做残冠残根的根管治疗,尽可能保持真牙。然而其它的牙齿残余部位过少,只能拔掉。由于牙质受到碳酸侵蚀变软,剩余牙体组织极少,因此 无法利用牙根打桩修复。
除此之外,小乐年龄过小,颌骨尚未发育完毕。并且由于 蛀牙过多,颌骨在发育的过程中并没有得到充分锻炼,骨量严重不足,种植手术的失败率极大。

为了尽可能恢复小乐的正常口腔咀嚼功能, 只能先使用合垫式过渡性活动义齿,半年之后固定修复后牙,门牙需要植骨之后才能制定后续治疗方案,还不一定能种植。整个治疗过程需要十多万,完成之后小乐就会满口假牙。

▲活动义齿
医生还说, 随着小乐年龄逐渐增长,还会出现牙槽骨退缩,受酸蚀过的牙根使用寿命有限,牙根碎裂,假牙修复也就失效了 。到那时候还要选择其它的治疗方法。
然而,实际上跟小乐年纪差不多的小朋友,可乐牙出现的概率高达20%。因为很多小朋友都特别喜欢喝果汁和碳酸饮料,还没有喝完之后漱口的习惯。
“除了 喝完要漱口,喝的时候尽量要用吸管,减少与牙齿的接触。 ”医生建议说,“如果出现下面几个症状,就一定要停止喝碳酸饮料,及时去看牙医。”
要引起注意的几个症状
·牙齿上出现小黑洞
·牙齿上出现白色斑块
·牙齿上出现成片小黑点,或者色素沉着。
各位家长一定要留意孩子饮食,保护好孩子的牙齿。 能否拥有一副健康的牙齿很大程度上影响了孩子能否拥有健康成长的童年。 蛀牙、牙齿畸形,都会对孩子的身心发育产生重大影响。因此, 如果发现孩子出现了以上症状,就赶紧带去正规门诊做口腔检查吧!
来源:健康体检科