盛夏的到来,让很多人啤酒撸串配了起来,花生毛豆吃了起来,爽爽的夜宵市场更是一派火热。
不过,一起火热上升的,莫过于导致人们恶心呕吐、腹痛腹泻的——肠炎 。这个困扰众多人类的季节性高发疾病,每个人应该重视预防,更要注意各个方面的卫生。

图|网络
不然…就会中「肠炎」中招,就连猫咪也不例外!
猫咪由于 天气原因、饲喂不当、突然换粮、着凉受寒、惊吓应激、中毒过敏 等多种原因都有可能患有肠炎。
不少铲屎官在为猫咪治疗的过程中采用的方法会不得当,不但没能缓解治疗猫咪的疾病,反而造成延误甚至加重。
那么应该如何护理与治疗猫咪肠炎呢?
最近,宠爱国际 宠物专家「贾朋帅」医生接诊的一则「猫肠炎」病例, 一起来了解下。

〖 宠 爱 国 际 病 例 本 〗

- 名字:绒绒
- 性别:男孩
- 年龄:5月龄
- 品种:布偶猫
- 体重:2.7kg
主诉病史
猫咪打过疫苗一针驱虫未完成, 今天白天有稀便一次, 初始打疫苗后时候开始有软便情况,医嘱有回家让口服益生菌,没见好转,因此转入我院进行治疗, 在家一直吃的是冠能粮食,驱虫正常,无病史,过敏史不详 。
来医院等待治疗的绒绒,
稀便情况很严重⬇️

医院检查
临床检查:
精神状态尚可,鼻头湿润,粘膜粉红 ,心肺音正常,腹部触诊正常。肛周有黄色大便粘连。BCS5/9,CRT<2S,无潜在疼痛。
实验室检查:
血常规saa升高

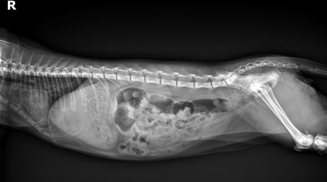
DR未显示高密度不透明征象
肠道积气严重
胃部有大量未消化食物


平时在家的大便

初步诊断
饮食不规律导致的肠炎
治疗方案
❗️宠乐肠肽一天一次,一次3-5cm
❗️更换肠道处方粮
开始猫咪经过治疗拉稀软便的情况 尚未发生根本性改变 , 吃药期间有缓解,停药就会反复 。铲屎官自行网上购买止泻产品,使用后依然没有效果,持续反复拉稀一个月后来院住院治疗。
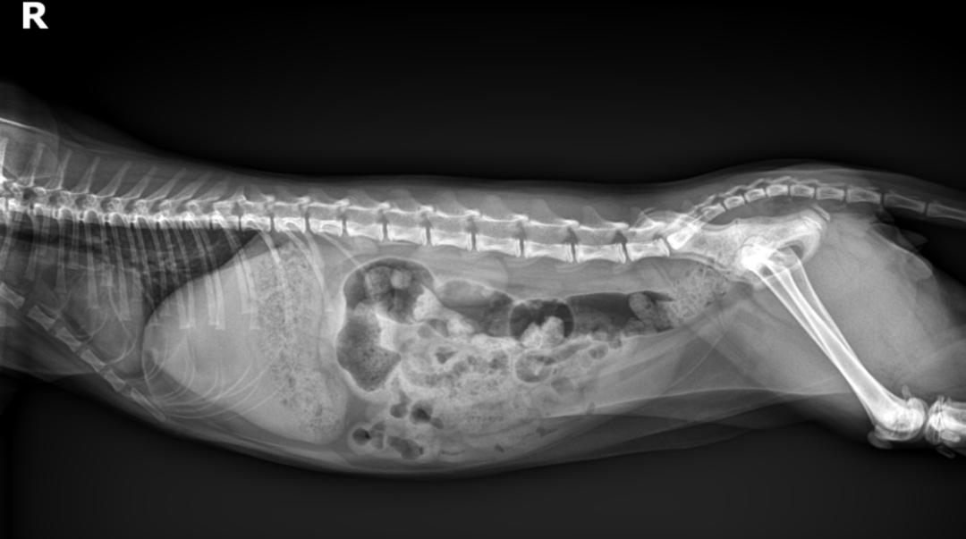
DR显示肠道胀气情况比上次有好转,
但是症状还是没有改善。


腹部彩超显示无异物,
肠道反应性淋巴结肿大。
胰腺钙化灶。


生化胰腺指标轻微升高

便检未发现寄生虫

综上治疗和一系列检查,
初步诊断:
猫咪肠炎和自身消化系统功能不全有关 。
大量未被消化的大分子
食物到大肠后引起炎症反应 ,
造成稀便脱水情况。
❗️强力止泻片一天两次,一次1/4片,连用三天
❗️胃溃宁一天两次,一次半片,连用一周
❗️迈微舒一次一片,一天两次
❗️胰宝一天两次,随餐吃
❗️使用猫低过敏处方粮
经过一周的治疗,
大便情况慢慢恢复正常

猫咪已经恢复了健康,回到家中。

病例讨论
猫咪肠炎
猫咪肠炎是胃黏膜和肠黏膜发炎,猫发生较多,可能由多种原因引起。分急性和慢性两大类。
患有肠炎的猫咪通常会表现:
01
呕吐、精神沉郁、腹泻 。这是猫咪感染肠炎的主要表现症状。其中 腹泻腥臭难闻 ,且粪便呈液状,有腥臭难闻的气味,有时混有血丝和黑血块。
02
不让触摸腹部 。部分猫咪常因腹部疼痛而拒绝让人类触摸。
03
出现脱水。 病猫后期可见肠鼓气表现,容易出现脱水、酸中毒等症状。
医生更多治疗实例
日常生活中,关爱猫咪小心脏,定期检查必不可少 ,只有关注猫咪的心脏,守护每一次心跳 ,做好未雨绸缪才能陪伴长长久久, 这只小猫咪最近一周瘦的比较快,呼吸急促,一周后彻底不吃粮食。患有「心脏衰竭」由贾朋帅医生进行治疗恢复健康。
戳链接了解更多➡️猫咪莫名其妙的心衰了…怎么办?这则有关「心脏衰竭」的诊治方法可得收好

宠爱国际猫科
该科室得益于医院专业的猫病诊断及照护能力,包括猫的慢性口炎及慢性肾衰竭、异物手术、血球血液及气体分析、预防医学及老年猫医学等,给爱猫提供完善的医疗照顾, 致力于猫科医疗质量与福利,并针对猫咪特质来教育猫咪家长对于看诊流程的配合,让猫咪能快乐上医院并将紧迫性降至更低 。
预防方案及康复后保健措施
猫咪患有肠炎都有哪些肠炎导致呢?
①幼猫肠胃较浅
幼猫胃很浅,不太会控制食量,若喂食不当,相对成猫更容易出现肠胃炎。
②猫咪有乳糖不耐症
大多数猫咪患有乳糖不耐症,是因为它们没有乳糖酵素无法消化牛奶中的乳糖,因此喝牛奶后通常会发生软便或腹泻的情形,情况严重时甚至造成死亡。
③猫咪误食腐败食物
这是引发猫咪肠胃炎的主要原因。
④喂食、饮食不当
如突然更换猫粮品牌,且没有逐次减量合理方式更换,或猫咪过度饥饿、狼吞虎咽、暴饮暴食、食物消化不畅引起猫咪的肠胃炎。
⑤猫咪食物中毒
如误食有毒性的花草,意外舔舐到消毒液/护肤品/化妆品,或吃了人用的药品等引起的中毒反应。
患有肠炎的猫咪,生病期间都有哪些注意事项呢?
①用药治疗
猫咪肠胃炎病因复杂, 轻症肠炎 可以选择活菌类功能药, 帮助猫咪调节消化道菌群 ,调节消化系统。
②短期禁食必要
治疗早期需禁食, 否则肠胃被反复刺激会加重病症 。禁食可以让胃肠道好好地安静休息,帮助胃肠道粘膜慢慢修复。
如不了解喵咪症状,最好及时送医院就诊。
好的,谢谢医生。
主治医师

最后,宠小爱提醒各位铲屎官:猫咪出现频繁呕吐腹泻,及时用药后猫咪也没有好转, 最好及时送医院就诊,切不可耽误最佳治疗时机 。