据报道,目前肿瘤已经成为儿童健康的第二大“杀手”。广东三九脑科医院神经外三科副主任杨宝应介绍,在他收治的众多肿瘤患儿中,不少是意外检查发现并确诊的。
去年,6岁大的女童头痛半年之久,家长一直以为孩子是普通感冒。直到一次摔倒后,才检查出孩子罹患了脑肿瘤。
去年11月初,小秋(化名)在玩耍时不小心摔倒了,当时脑袋磕到地面,她随即大哭起来。林女士赶来时,女儿一边哭一边说自己头好痛。林女士摸到孩子脑袋肿了一个“包”,但想着小孩子磕磕碰碰是常有的事,过一两天就好了。
随后几天,小秋脑袋上的“包”慢慢变小了,但她吃什么就吐什么,经常哭闹说头痛。看着女儿的精神状态越来越差,林女士担心孩子摔坏了脑袋,于是连夜带着孩子来到广东三九脑科医院神经外三科就诊。

▲术前影像检查
我院头颅CT检查结果出来后,林女士吓坏了。小秋撞到的地方并无大碍,却查出她颅内鞍区三脑室存在占位性病变。杨宝应告诉林女士,初步怀疑是肿瘤。
在追问病史时,林女士说道:“孩子的身体不是特别好,尤其是近半年来,就经常感冒头痛。”原来近半年来,小秋就经常说自己头痛,但林女士见女儿并没有出现其他明显的症状,就以为是小孩体质差,感冒导致的头痛。所以当小秋说头痛不舒服时,林女士会给她吃一些感冒药。小秋每次吃过感冒药再睡上一觉,都会说没那么头痛了,因此林女士并未重视。
结合影像资料及临床病症,杨宝应认为患儿颅内病变是颅咽管瘤,由于肿瘤已有出血迹象,建议尽快手术。
目前在临床上主要通过神经内镜进行显微手术治疗颅咽管瘤,但考虑到患儿蝶窦发育较差,内镜手术操作空间较小,最终杨宝应决定为患儿实施右侧额外侧入路鞍区肿瘤切除术。

▲手术体位

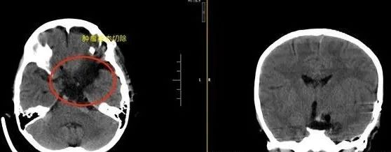
▲术后影像检查
术后病理结果为颅咽管瘤,证实了杨宝应术前的诊断。经过一段时间的住院治疗,患儿恢复良好,已经出院回家。
杨宝应介绍,颅咽管瘤是一种好发于儿童的良性肿瘤,因其具有侵袭性生长的特点,目前仍是治愈难度极大的颅内肿瘤。另外,颅咽管瘤生长的位置深、毗邻的结构复杂,治疗过程中很容易造成视交叉、下丘脑等重要结构的损伤。
儿童颅咽管瘤的早期症状并不明显,容易被忽略。对于儿童来说,患上颅咽管瘤,通常会有多饮、多尿的症状;也会导致视力下降、经常摔倒;除此之外,颅咽管瘤会造成垂体的破坏,影响小孩正常生长发育,所以罹患颅咽管瘤的小孩身高都偏矮。
另外,脑肿瘤最显著的症状就是颅内压增高,即出现头痛、呕吐、视力下降等。而感冒也常会导致头痛、发烧、呕吐。加上孩子表达能力有限,所以儿童肿瘤常会被误诊。杨宝应提醒家长:“要重视儿童体检,争取做到肿瘤早发现、早治疗,以提高患儿治愈率、降低死亡率,提升儿童生命质量。”
专家介绍

陆永建
广东三九脑科医院大外科首席专家兼神经外二科、神经外三科主任导师、主任医师、教授
社会任职:曾任广州医科大学神经科学研究所副所长、广州医科大学附属第二医院首席教授,曾任中国医师学会神经外科分会颅底专业委员会副主任、中华医学会神经外科分会全国委员、中国医师协会神经外科分会委员、广州市神经外科学会主任委员、广东省医师协会神经外科分会副主任委员。
学习与进修:1977年毕业于*疆新**医科大学。1982年毕业于天津医科大学研究生院,师从于著名神经外科专家薛庆澄教授并获医学硕士学位。1989年由国家卫生部选派赴日本国东京慈惠会医科大学研修脑神经外科学一年。1995年到广州医科大学第二附属医院工作。2001年到美国匹兹堡大学神经外科学习半年。
专业与专长:从事神经外科工作40余年,具有扎实的理论基础和丰富的临床经验。擅长脑肿瘤、脑血管病、脊髓和颅神经疾病的显微手术治疗。
科研与学术论著:曾承担多项国家级和省级科研课题,在国内外杂志发表文章70多篇。担任《中华神经医学杂志》、《中国临床神经外科杂志》编委。

杨宝应
广东三九脑科医院神经外三科(小儿神经外科)副主任、医学硕士、主治医师
社会任职:中华医学会广东省神经外科分会青年委员会委员,广东省小儿神经外科学组委员。
学习进修:毕业于广西中医药大学神经外科专业,在解放军总医院神经外科研究所进修学习一年,在上海交通大学附属新华医院小儿神经外科学习半年。
专业与专长:从事小儿神经外科十年,擅长小儿颅咽管瘤、髓母细胞瘤、室管膜瘤、小儿脑积水、狭颅症、脊髓栓系等小儿神经系统先天性疾病的外科手术治疗;尤其在神经内镜技术治疗颅咽管瘤、狭颅症等儿童常见病积累了丰富的临床经验;在小儿血管病、颅脑外伤的神经功能恢复做了基础和临床研究。
科研与学术论著:参与完成广西自治区自然基金课题一项,在国内核心期刊发表论文十余篇。