6月内4家医院双颞巨大蛛网膜囊肿术后变硬脑膜下积液,反复引流又成脑积水,其分流术再又分流感染致昏迷,经李小勇脑脊液科治成正常儿童
患儿男,1岁2月,陕西省西康市人。
一、李小勇脑脊液科入院前病史
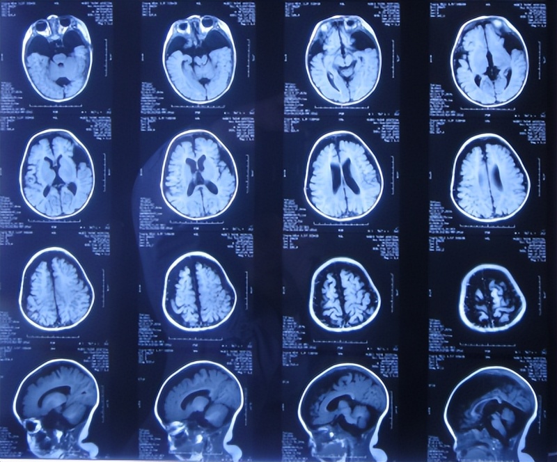
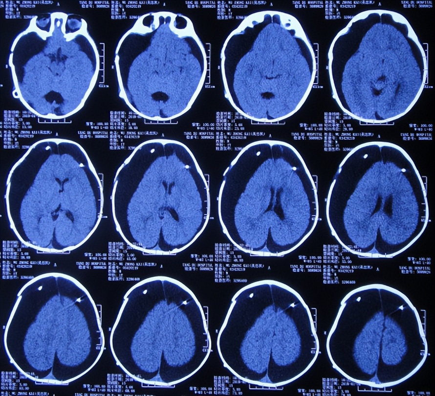
患儿2018年2月份,早产1月,剖宫产出生,出生后未见异常;患儿3个月大起,家属发现患儿头围较同龄幼儿大点,未给予重视;直到7个月大时,因发育迟缓自己不能坐,且头围进行性增大,于2018年9月11日,至当地第1家医院陕西省西康市白河县某医院,检查头颅CT发现双颞叶蛛网膜囊肿、脑积水( 图-1 )。

图-1: 2018年9月11日头颅CT
为治疗蛛网膜囊肿、脑积水,于2018年9月13日(发现蛛网膜囊肿后2天),家属带患儿住入第2家医院,湖北省十堰市某三甲医院,查头颅核磁示双颞叶蛛网膜囊肿、脑积水( 图-2 )。

图-2: 2018年9月13日头颅核磁
入院后5天即2018年9月18日,进行了双侧颞叶蛛网膜囊肿脑池沟通术。但术后次日,患儿出现恶心呕吐,复查头颅CT示双侧硬膜下积液( 图-3 )。

图-3: 2018年9月19日头颅CT
2018年9月27日(蛛网膜囊肿脑池沟通术后9天),查头颅CT示硬膜下积液反增多( 图-4 )。

图-4: 2018年9月27日头颅CT
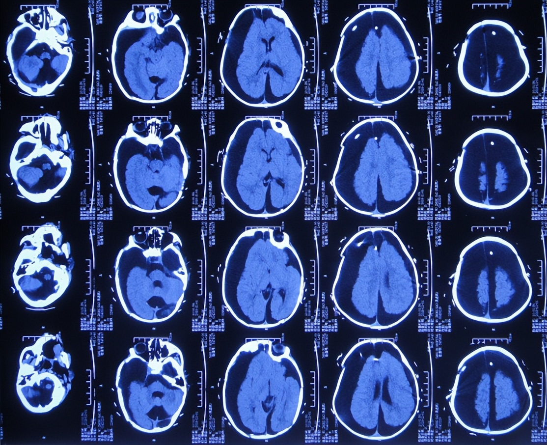
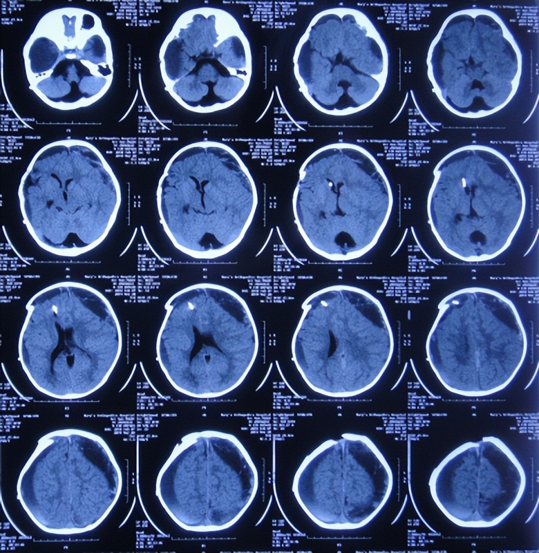
2018年10月20日(蛛网膜囊肿脑池沟通术后32天),查头颅影像示硬膜下积液持续进一步增多( 图-5、图-6 )。

图-5: 2018年10月20日头颅CT

图-6: 2018年10月20日头颅影像
为治疗硬膜下积液,转回当地的第3家医院,陕西省西安市某中医院保守治疗1周左右,2018年10月29日(蛛网膜囊肿脑池沟通术后41天),查头颅CT示硬膜下积液仍进一步增多( 图-7 )。

图-7: 2018年10月29日头颅CT
2018年10月30日(蛛网膜囊肿脑池沟通术后42天)转院至第4家医院,陕西省西安市某著名三甲医院,入院次日即2018年10月31日,进行了双侧硬膜下积液外引流术;术后第2天即2018年11月1日查头颅CT示引流术后状态( 图-8 )。

图-8: 2018年11月1日头颅CT
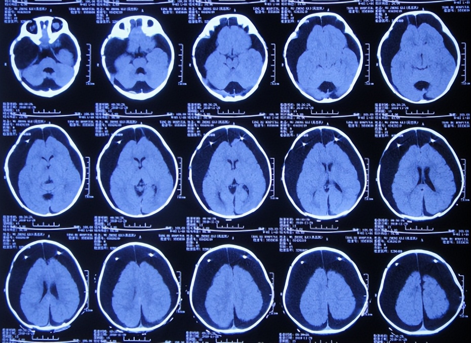
双侧硬膜下积液外引流术后15天时间内,期间2次查头颅CT( 图-9、图-10 )均显示硬膜下积液没有明显减少。

图-9: 2018年11月5日头颅CT

图-10: 2018年11月12日头颅CT
双侧硬膜下积液外引流术后16天即2018年11月15日,给予拔除了双侧硬膜下积液外引流管。
拔除引流管后4天即2018年11月19日,查头颅CT示双侧硬膜下积液仍在不断增多( 图-11 )

图-11: 2018年11月19日头颅CT
拔除双侧硬膜下外引流管后13天即2018年11月28日,因患儿意识变差,进行了右顶部ommaya囊置入术,术后间断抽吸双侧硬膜下积液。术后次日查头颅CT( 图-12 )后认为积液有减少。

图-12: 2018年11月29日头颅CT
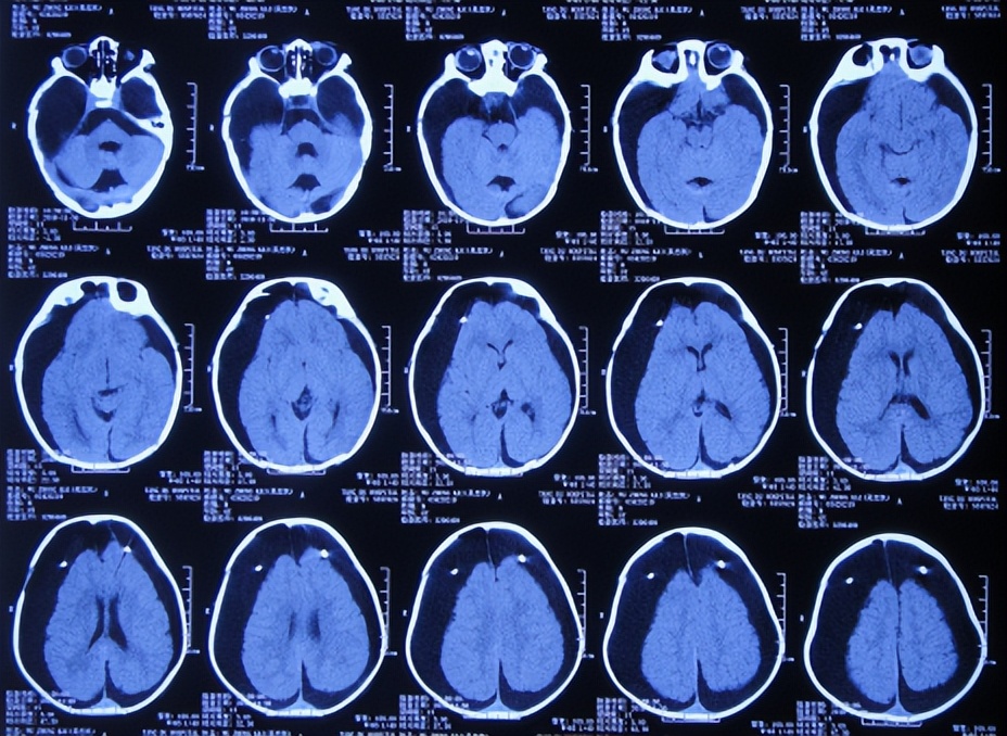
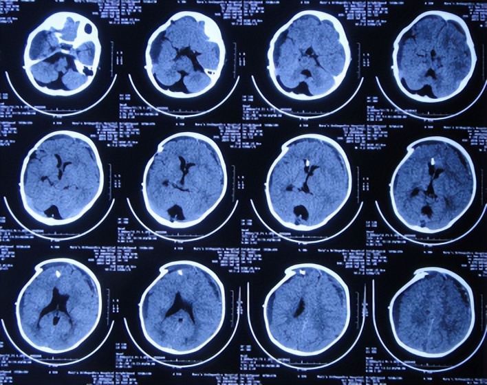
ommaya囊置入术后43天时间内,多次化验脑脊液指标显示有所好转,但期间3次查头颅影像( 图-13、图-14、图-15 )均显示硬膜下积液一直没有减少。

图-13: 2018年11月30日头颅CT

图-14: 2018年12月14日头颅核磁

图-15: 2018年12月18日头颅核磁增强
此时家属经网上咨询联系过李小勇脑脊液科,李小勇医生建议家属不要给孩子做分流术,会失败的,不仅白花钱,还让孩子多受一次罪,但家属认为当地是三甲医院,对在民营医院的李小勇脑脊液科存在一定的“怀疑”,还是固执的认为三甲医院“治的好”。
ommaya囊置入术后43天即2019年1年11日,在第4家医院进行了双侧硬膜下积液腹腔分流术,术后头颅CT示分流术后状态( 图-16 )。

图-16: 2019年1月11日头颅CT
分流术后7天即2019年1月18日,查头颅CT示硬膜下积液有所减少( 图-17 )。

图-17: 2019年1月18日头颅CT
分流术后34天即2019年2月21日,查头颅CT示硬膜下积液又有减少( 图-18 ),患儿基本正常,随后出院。

图-18: 2019年2月21日头颅CT
但出院后17天即2019年3月10日,患儿开始出现反应迟钝,嗜睡,易激惹,哭闹增多,发热,2019年3月16日因嗜睡明显加重,在当地的第1家医院查头颅CT示脑室扩张,硬膜下仍有积液( 图-19 ),家属联系给予手术的第4家医院的医生,医生建议调分流泵压。

图-19: 2019年3月16日头颅CT
但调压3天后即2019年3月19日,因仍未见改善,且患儿病情加重致变得不能哭,家属带着患儿第2次住入第4家医院,头颅CT示硬膜下积液,脑积水( 图-20 );给予甘露醇对症脱水降颅压治疗。

图-20: 2019年3月19日头颅CT
治疗2天后即2019年3月21日,仍未见改善,查头颅CT示脑室重度扩张( 图-21 ),且仍持续发热38.5度。

图-21: 2019年3月21日头颅CT
家属此时终于意识到该院已治不好自己的孩子,于是再次联系后当即转住入北京的李小勇脑脊液科。
二、在李小勇脑脊液科治疗过程和结果
2019年3月22日(蛛网膜囊肿术后近6个月持续硬膜下积液:外院4家医院先后4次手术均失败,且加重脑积水颅内感染,间断发热12天),入院时:头围52cm,体温高热38.5度,浅昏迷,前卤门触摸坚硬,皮肤苍白,四肢刺痛后能动,不能哭,半个身体不能动,头上多处手术疤痕( 图-22 );入院时头颅影像示蛛网膜囊肿术后,硬膜下积液腹腔分流术后,脑积水( 图-23 );右肺肺炎(片子丢失)。


图-22: 2019年3月22日入院时

图-23: 2019年3月22日入院时头颅影像
入院当天拔除了原硬膜下积液腹腔分流管+脑室外引流术,留取脑脊液化验。
入院次日即2019年3月23日,查头颅CT示脑室外引流术后,引流管位置良好( 图-24 ),引流出清亮脑脊液( 图-25 )。

图-24: 2019年3月23日头颅CT

图-25: 2019年3月23日
治疗3天即2019年3月25日,留取的脑脊液培养出头状葡萄球菌,查头颅CT示脑室明显缩小( 图-26 );患儿入院时浅昏迷改善为自主动作变多,变得能哭了,哭闹变多( 图-27 )。

图-26: 2019年3月25日头颅CT

图-27: 2019年3月25日
治疗10天即2019年4月1日,查头颅CT示脑室进一步缩小,硬膜下积液变多( 图-28 )。

图-28: 2019年4月1日头颅CT
治疗14天即2019年4月4日,意识变完全清醒,精神变好,时常自己坐床上玩耍,体温变完全正常( 图-29 );脑脊液细菌也被完全消灭。

图-29: 2019年4月4日
治疗19天2019年4月9日,情绪变得愉悦,肢体变得能遵指令拍手( 图-30 );头颅CT示硬膜下积液也明显减少( 图-31 ),肺部感染也变好(片子丢失)。

图-30: 2019年4月9日

图-31: 头颅CT
治疗49天即2019年5月28日,进行了脑室腹壁外引流术( 图-32 )。

图-32: 2019年5月28日头颅CT
因脑脊液化验蛋白高,家属要求继续治疗,继续治疗2个月期间脑室变基本正常,硬膜下积液基本消失( 图-33 ),头皮变得下陷,拉着手能自己走路,孩子现在越来越好了,但看到头上(外院)好几次失败的手术疤痕( 图-34 ),孩子的妈妈还是很懊悔,应该更早一些来到李小勇脑脊液科的,孩子就能少受点罪。

图-33: 2019年7月10日头颅CT

图-34: 2019年7月10日
治疗2月后脑脊液各项化验均变正常后于2019年7月30日进行了脑室腹腔分流术( 图-35 )。

图-35: 2019年7月30日头颅CT
2019年8月12日(李小勇脑脊液治疗4月余)出院,出院时:由入院时的浅昏迷,四肢刺痛后能动,不能哭,半个身体不能动变得精神好有活力,四肢活动正常,家属拉着他的一只手能快速走路,情绪愉悦( 图-36、图-37 );出院时头颅CT示无异常( 图-38 )。

图-36: 入院时与出院时对比

图-37: 2019年8月12日出院时

图-38: 出院时头颅CT
三、出院后随访
出院后1月余即2019年9月24日,家属发来视频:变得能自己走路但不稳( 图-39 )。

图-39: 2019年9月24日
出院后三个月即2019年11月,走路明显变稳( 图-40 );当地医院查头颅CT示未见异常( 图-41 )。

图-40: 2019年11月走路变稳

图-41: 2019年11月头颅CT
出院后1年零5个月即2020年1月28日,近3岁,走路完全正常,言语交流基本正常( 图-42 )。

图-42: 2020年1月28日
出院后2年零10个月即2022年6月,家属再次发来视频:孩子4岁多,身体、智力、言语方面均正常,六一儿童节在幼儿园还表演了节目,仅平衡力稍差( 图-43 )。

图-43: 2022年6月
出院后3年即2022年8月3日,孩子的妈妈看到孩子从病重到变得健康正常的经过后,在李小勇脑脊液病友群里的发表了自己的感受( 图-44 ),现在孩子一切都挺好,即将上幼儿园中班,孩子还经常给她讲故事( 图-45 )。

图-44:2022年8月3日微信截图

图-45:2022年8月3日