
编者按:疑难病例是临床医生相互交流、教学相长的重点内容,将重点病例与专家总结有机结合将有助于临床医生的经验积累,特别是对帮助基层医生成长具有重要的现实意义。
患者:男,66岁
主诉:双眼视力下降5月余
现病史:
5月前出现视力下降,于当地医院就诊,视力:OD 0.4,OS 0.5;眼压:OD 15mmHg,OS 14mmHg;眼底照相(-);OCT:双眼黄斑区未见形态异常;ERG(-);VEP(-)
PE:双眼结膜充血水肿,角膜明,前房清,晶状体透明,双眼网膜平伏。
突眼度:17.5>——101——<17 mm
MRD1:OD 6,OS 5 mm
既往史:既往体健,否认糖尿病,高血压等慢性病,否认甲亢病史
眼科检查:
视力:OD 0.4,OS 0.5
眼压:OD 16 mmHg,OS 10 mmHg
眼肌检查:双眼各方向运动受限,垂直复视
眼底照相(-)
OCT:双眼黄斑区未见形态异常
ERG(-);VEP(-)
实验室检查:
甲状腺功能:
FT3 3.43(2.5-3.9 pg/ml)
FT4 1.09 (0.58-1.64 ng/dl)
TSH 0.02↓(0.34-5.6 uIU/ml)
TRAb 1.44(0-1.75 IU/L)
TPOAb 6.6 (0-9 IU/ml)
TgAb 11.89 (0-115 IU/ml)
免疫球蛋白:
IgG 10.20 (7-16 g/L)
IgA 3.90 (0.7-4 g/L)
IgM 0.56 (0.5-2.3 g/L)
IgE 231.0↑ (0-100 IU/ml)
IgG4 0.7 (0.04-2.01 g/L)
自身抗体:未见明显异常
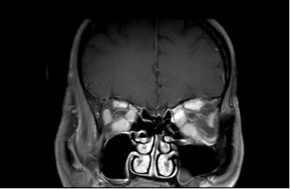
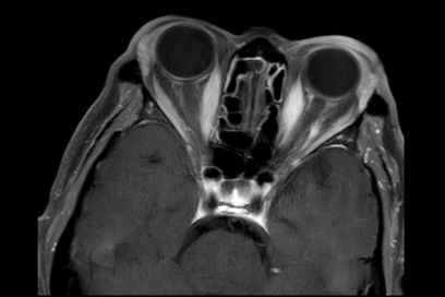
影像学检查:MRI

甲状腺相关眼病(TAO)的诊断标准
眼睑退缩合并以下三项中任一项:
A. 眼球突出
B. 甲状腺功能异常(FT3、FT4、TSH任一项异常)
C. 眼外肌受累(任意一条或多条眼外肌肥大)
如无上睑退缩则必须具备:
A. 甲状腺功能异常(FT3、FT4、TSH任一项异常)
B. 合并有眼球突出、眼外肌受累或视功能障碍之一
C. 排除其他类似的眼病
Bartley GB and Gorman CA, Diagnostic Criteria for Graves' Ophthalmopathy, American Journal Of Ophthalmology;119:792-795
诊断与治疗
-
诊断:双眼甲状腺相关性眼病
-
治疗:甲强龙冲击12w方案(500mg qw*6w+250mg qw*6w)
-
疗效(4w后):突眼度:14>——101——<14 mm,视力:OD 0.9,OS 0.7
总结
1.具有典型眼部体征的甲状腺相关眼病,结合实验室检查以及影像学检查,诊断并不困难。
2.眼部体征不明显的病例需密切关注影像学变化,有时CAS评分与影像学表现不相符。
3.本病例以视力下降为主诉,当眼前节及眼底未见明显异常时,需考虑眼眶疾病。
4.本病例甲功虽然大体正常,但TSH下降,符合亚临床甲亢的诊断,因此甲功正常不能排除甲状腺相关性眼病。
5.TAO还需与其他以眼外肌增粗,或泪腺增大为影像学表现的疾病鉴别,如眼眶肌炎,IgG4眼眶病等。
专家简介

周慧芳,主任医师,研究员,博士生导师,上海交通大学医学院附属第九人民医院眼科副主任。担任中国女医师协会眼科专委会青年副主委,中华医学会眼科学分会眼免疫学组委员,上海医学会眼科学分会青年委员。致力于复杂眼眶病的临床和基础研究,在复合性眼眶骨折修复重建、甲状腺相关眼病精准手术治疗和发病机制研究、眼眶骨再生和修复材料开发等方面攻克了一系列临床难题,并组建九院甲状腺眼病(TAO)多学科诊疗团队,建立国内规模最大的TAO临床和研究中心,创新手术方式,制定标准化治疗方案,推动学科发展。以第二完成人获得国家科技进步二等奖、上海市科技进步一等奖等8项奖项。主持国家自然科学基金(3项)、上海市基础研究重点项目等13项课题,入选上海杰出青年医学人才等7项人才培养计划。共发表中英文文章70余篇,其中第一作者(通讯作者)发表论文31篇,SCI收录23篇,总IF 96.7分,单篇最高IF 12.14分。获得上海市卫生系统第十六届“银蛇奖”一等奖、上海市巾帼创新新秀奖和上药杏林育才奖等奖项;并获得上海市三八红旗手、上海市最美女医师、上海市巾帼建功标兵等荣誉称号。
(来源:《国际眼科时讯》编辑部)
版
权
声
明
版权属《国际眼科时讯》所有。欢迎个人转发分享。其他任何媒体、网站如需转载或引用本网版权所有之内容,须经本网同意并在文章顶部注明“转自《国际眼科时讯》”